| UNIPROT | P12277 |
| Иммуноген | RPC030Hu01-Recombinant Creatine Kinase B (CK-BB) |
Monoclonal Antibody to Creatine Kinase B (CK-BB) (MAC030Hu27)
Реактивность подтвержденная:
человек
Источник (хозяин):
мышь
Валидировано для:
IHC
WB
Характеристики
Техническое описание
| Русское название | MAC030Hu27 Моноклональное антитело к CK-BB (человек) <Cloud-Clone,Китай> |
| Каталожный номер | MAC030Hu27 |
| Название антигена | Creatine Kinase, Brain (CKB) |
| UNIPROT | P12277 |
| Иммуноген | RPC030Hu01-Recombinant Creatine Kinase B (CK-BB) |
| Английские синонимы | CK-BB, CKBB, CK-B, CK-1 |
Реактивность подтвержденная Нужна другая реактивность? |
человек |
| Реактивность предсказываемая | свинья |
| Источник (хозяин) | мышь |
| Изотип | IgG1 Kappa |
| Клональность | моноклональное |
| Клон | D14 |
| Рекомбинантное | нет |
| Готовое к использованию | нет |
| Концентрация | 1 мг/мл |
| Конъюгат | По запросу: HRP, biotin, PerCP, PE, Cy3, FITC, Cy7, Cy5.5, PE-Cy5, PE-Cy7, PerCp-Cy5.5, APC, Cy5, PE-Cy3, PE-Cy5.5, APC-Cy7, Biotin-APC, FITC-Biotin, TRITC, APC-Cy5, AF488, AF594, AF405, AF555, AF700, AF647, AF750 |
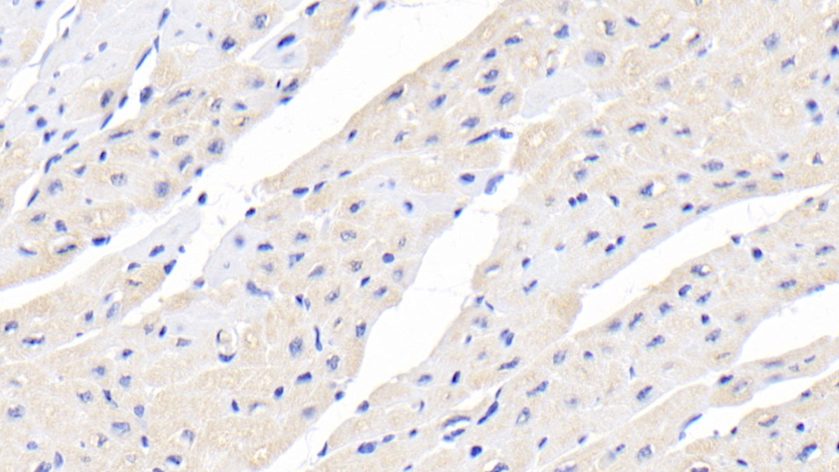
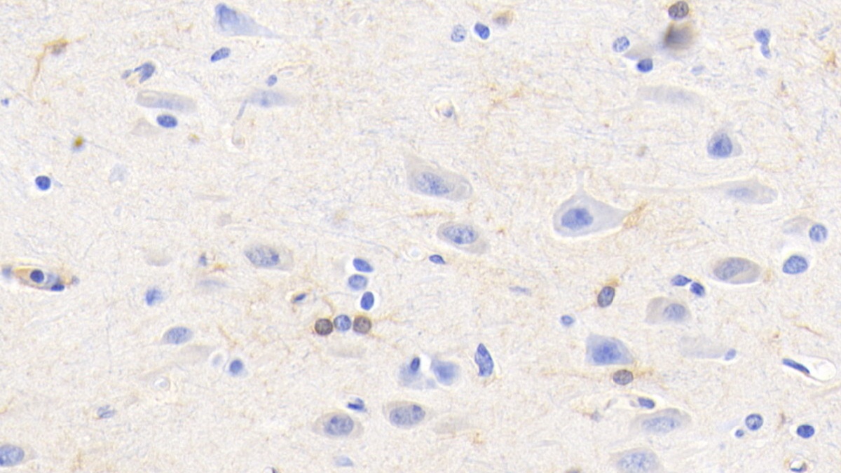
| Валидировано для | IHC WB Иммуногистохимия; Вестерн-блоттинг |
| Рекомендуемые разведения | WB: 0.5-2 мкг/мл; IHC: 5-20 мкг/мл; ICC: 5-20 мкг/мл; Оптимальное разведение определяется конечным потребителем |
| Метод очистки | Аффинная хроматография с белком А и белком G |
| Состав буфера | 0.01M PBS, pH7.4, 0.05% Proclin-300, 50% глицерин |
| Условия доставки | термобокс с аккумуляторами холода |
| Условия хранения | Сразу после получения аликвотировать и хранить при -20ºС до 24 месяцев. Для частого использования хранить при +4ºС не более 2 недель. Избегать повторения циклов замерзания/оттаивания |
| Срок хранения | 24 месяца |
| Производитель | Cloud-Clone Corp. |
| Ссылка на страницу товара на сайте производителя | http://www.cloud-clone.com/products/MAC030Hu27.html |
|
Артикул
|
Наименование |
Производитель
|
|---|
|
Артикул
|
Наименование |
Производитель
|
|---|
|
Артикул
|
Наименование |
Производитель
|
|---|
|
Артикул
|
Наименование |
Производитель
|
|---|
|
Артикул
|
Наименование |
Производитель
|
|---|
|
Артикул
|
Наименование |
Производитель
|
|---|
Акции и предложения
Популярные продукты:
PLPP1 Polyclonal Antibody (E-AB-15817)
Источник (хозяин): кролик
Реактивность подтвержденная: человек, мышь, крыса
Валидировано для: IHC, WB
Реактивность подтвержденная: человек, мышь, крыса
Валидировано для: IHC, WB
ELISA Kit DIY Materials for Integrin Alpha 4 (ITGa4) (KSB315Hu01)
Организм: человек
Диапазон определения: 0.312-20 нг/мл
Чувствительность: 0.114 нг/мл
Диапазон определения: 0.312-20 нг/мл
Чувствительность: 0.114 нг/мл
Mini Samples ELISA Kit for Nitric Oxide Synthase 2, Inducible (NOS2) (MEA837Mu)
Организм: мышь
Диапазон определения: 0.312-20 нг/мл
Чувствительность: 0.28 нг/мл
Диапазон определения: 0.312-20 нг/мл
Чувствительность: 0.28 нг/мл
Native Hemoglobin (HB) (NPB409Ha01)
Источник (хозяин): хомяк
Организм: хомяк
Биоактивность: да
Организм: хомяк
Биоактивность: да
ELISA Kit for Transforming Growth Factor Beta 1 (TGFb1) (RA124S-Ra)
Организм: крыса
Диапазон определения: 15.6-1000 пг/мл
Чувствительность: 6.0 пг/мл
Диапазон определения: 15.6-1000 пг/мл
Чувствительность: 6.0 пг/мл
Recombinant N-Terminal Pro-Brain Natriuretic Peptide (NT-ProBNP) (RPA485Ca01)
Источник (хозяин): E.coli
Организм: собака
Фрагмент: His18-Arg106
Теги: N-концевые His-Tag и GST-Tag
Биоактивность: нет
Организм: собака
Фрагмент: His18-Arg106
Теги: N-концевые His-Tag и GST-Tag
Биоактивность: нет

