| UNIPROT | P17742 |
| Иммуноген | RPA979Mu01-Recombinant Cyclophilin A (CYPA) |
Monoclonal Antibody to Cyclophilin A (CYPA) (MAA979Mu22)
Реактивность подтвержденная:
мышь
Источник (хозяин):
мышь
Валидировано для:
IHC
WB
Характеристики
Техническое описание
| Русское название | MAA979Mu22 Моноклональное антитело к CYPA (мышь) <Cloud-Clone,Китай> |
| Каталожный номер | MAA979Mu22 |
| Название антигена | Cyclophilin A (CYPA) |
| UNIPROT | P17742 |
| Иммуноген | RPA979Mu01-Recombinant Cyclophilin A (CYPA) |
| Английские синонимы | PPIA, CyP-A, CYPH, Peptidylprolyl Isomerase A, Peptidyl-Prolyl Isomerase A, Peptidyl-prolyl cis-trans isomerase A, Cyclosporin A-binding protein |
Реактивность подтвержденная Нужна другая реактивность? |
мышь |
| Реактивность предсказываемая | человек, крыса, свинья |
| Источник (хозяин) | мышь |
| Изотип | IgG2a Kappa |
| Клональность | моноклональное |
| Клон | C1 |
| Рекомбинантное | нет |
| Готовое к использованию | нет |
| Концентрация | 1 мг/мл |
| Конъюгат | По запросу: HRP, biotin, PerCP, PE, Cy3, FITC, Cy7, Cy5.5, PE-Cy5, PE-Cy7, PerCp-Cy5.5, APC, Cy5, PE-Cy3, PE-Cy5.5, APC-Cy7, Biotin-APC, FITC-Biotin, TRITC, APC-Cy5, AF488, AF594, AF405, AF555, AF700, AF647, AF750 |
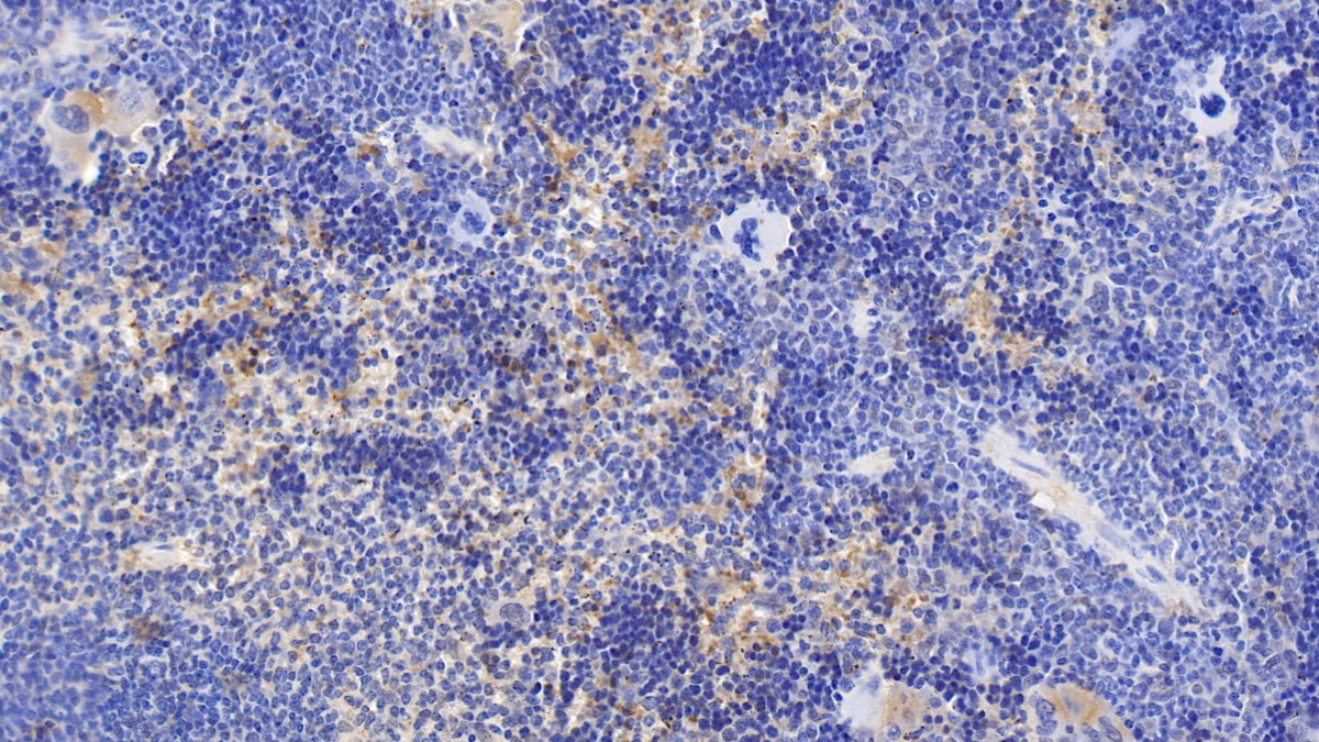
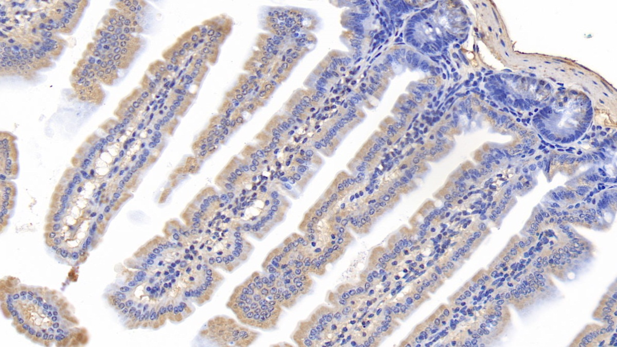
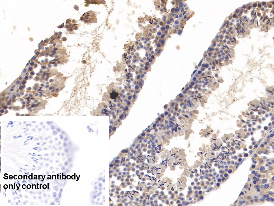
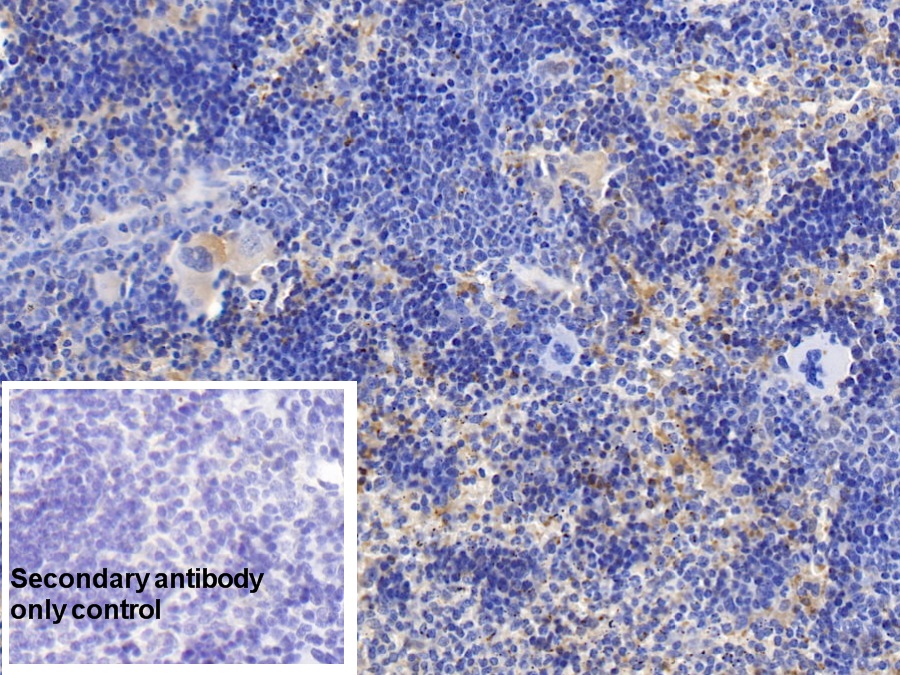
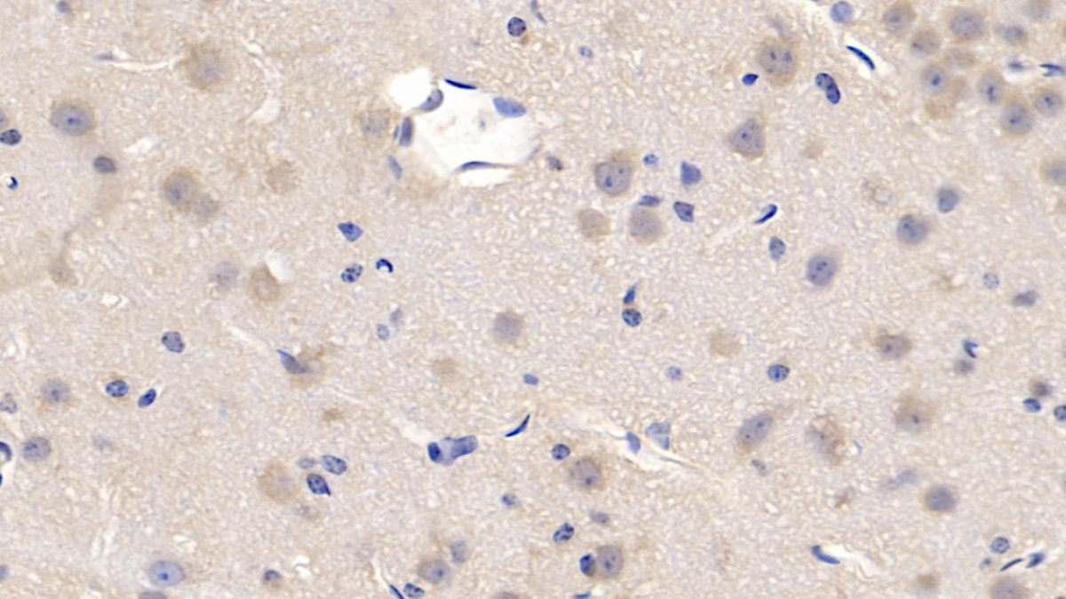
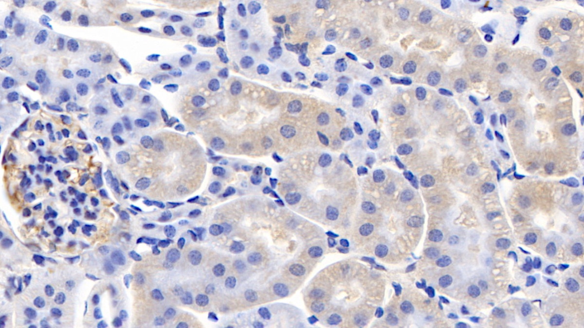
| Валидировано для | IHC WB Иммуногистохимия; Вестерн-блоттинг |
| Рекомендуемые разведения | WB: 0.01-2 мкг/мл; IHC: 5-20 мкг/мл; Оптимальное разведение определяется конечным потребителем |
| Метод очистки | Аффинная хроматография с белком А и белком G |
| Состав буфера | 0.01M PBS, pH7.4, 0.05% Proclin-300, 50% глицерин |
| Условия доставки | термобокс с аккумуляторами холода |
| Условия хранения | Сразу после получения аликвотировать и хранить при -20ºС до 24 месяцев. Для частого использования хранить при +4ºС не более 2 недель. Избегать повторения циклов замерзания/оттаивания |
| Срок хранения | 24 месяца |
| Производитель | Cloud-Clone Corp. |
| Ссылка на страницу товара на сайте производителя | http://www.cloud-clone.com/products/MAA979Mu22.html |
|
Артикул
|
Наименование |
Производитель
|
|---|
|
Артикул
|
Наименование |
Производитель
|
|---|
|
Артикул
|
Наименование |
Производитель
|
|---|
|
Артикул
|
Наименование |
Производитель
|
|---|
|
Артикул
|
Наименование |
Производитель
|
|---|
|
Артикул
|
Наименование |
Производитель
|
|---|
|
Артикул
|
Наименование |
Производитель
|
|---|
|
Артикул
|
Наименование |
Производитель
|
|---|
|
Артикул
|
Наименование |
Производитель
|
|---|
Акции и предложения
Популярные продукты:
Monoclonal Antibody to Immunoglobulin E (IgE) (MAA545Hu21)
Источник (хозяин): мышь
Реактивность подтвержденная: человек
Валидировано для: WB
Реактивность подтвержденная: человек
Валидировано для: WB
Anti-Albumin/Alb Antibody (R4E22) (RHC01411)
Источник (хозяин): кролик
Реактивность подтвержденная: человек, мышь, крыса
Валидировано для: ELISA, IF, IHC, IP, WB
Реактивность подтвержденная: человек, мышь, крыса
Валидировано для: ELISA, IF, IHC, IP, WB
ELISA Kit DIY Materials for Lysyl Oxidase Like Protein 4 (LOXL4) (KSF554Hu01)
Организм: человек
Диапазон определения: 0.156-10 нг/мл
Чувствительность: 0.063 нг/мл
Диапазон определения: 0.156-10 нг/мл
Чувствительность: 0.063 нг/мл
ELISA Kit DIY Materials for Fatty Acid Synthase (FASN) (KSC470Ra01)
Организм: крыса
Диапазон определения: 0.312-20 нг/мл
Чувствительность: 0.125 нг/мл
Диапазон определения: 0.312-20 нг/мл
Чувствительность: 0.125 нг/мл
Chicken D 3 phosphoglycee dehydrogenase(PHGDH) ELISA kit (E12D0303)
Организм: курица
Monkey Ubiquitin-specific protease 14 ELISA kit (E09U0092)
Организм: обезьяна

