| UNIPROT | Q04695 |
| Иммуноген | RPB822Hu01-Recombinant Cytokeratin 17 (CK17) |
Monoclonal Antibody to Cytokeratin 17 (CK17) (MAB822Hu23)
Реактивность подтвержденная:
человек
Источник (хозяин):
мышь
Валидировано для:
IHC
WB
Характеристики
Техническое описание
| Русское название | MAB822Hu23 Моноклональное антитело к CK17 (человек) <Cloud-Clone,Китай> |
| Каталожный номер | MAB822Hu23 |
| Название антигена | Keratin 17 (KRT17) |
| UNIPROT | Q04695 |
| Иммуноген | RPB822Hu01-Recombinant Cytokeratin 17 (CK17) |
| Английские синонимы | PC2, CK17, K17, PC, PCHC1, Cytokeratin 17, Keratin, type I cytoskeletal 17 |
Реактивность подтвержденная Нужна другая реактивность? |
человек |
| Реактивность предсказываемая | мышь, крыса |
| Источник (хозяин) | мышь |
| Изотип | IgG2b Kappa |
| Клональность | моноклональное |
| Клон | C4 |
| Рекомбинантное | нет |
| Готовое к использованию | нет |
| Концентрация | 1 мг/мл |
| Конъюгат | По запросу: HRP, biotin, PerCP, PE, Cy3, FITC, Cy7, Cy5.5, PE-Cy5, PE-Cy7, PerCp-Cy5.5, APC, Cy5, PE-Cy3, PE-Cy5.5, APC-Cy7, Biotin-APC, FITC-Biotin, TRITC, APC-Cy5, AF488, AF594, AF405, AF555, AF700, AF647, AF750 |
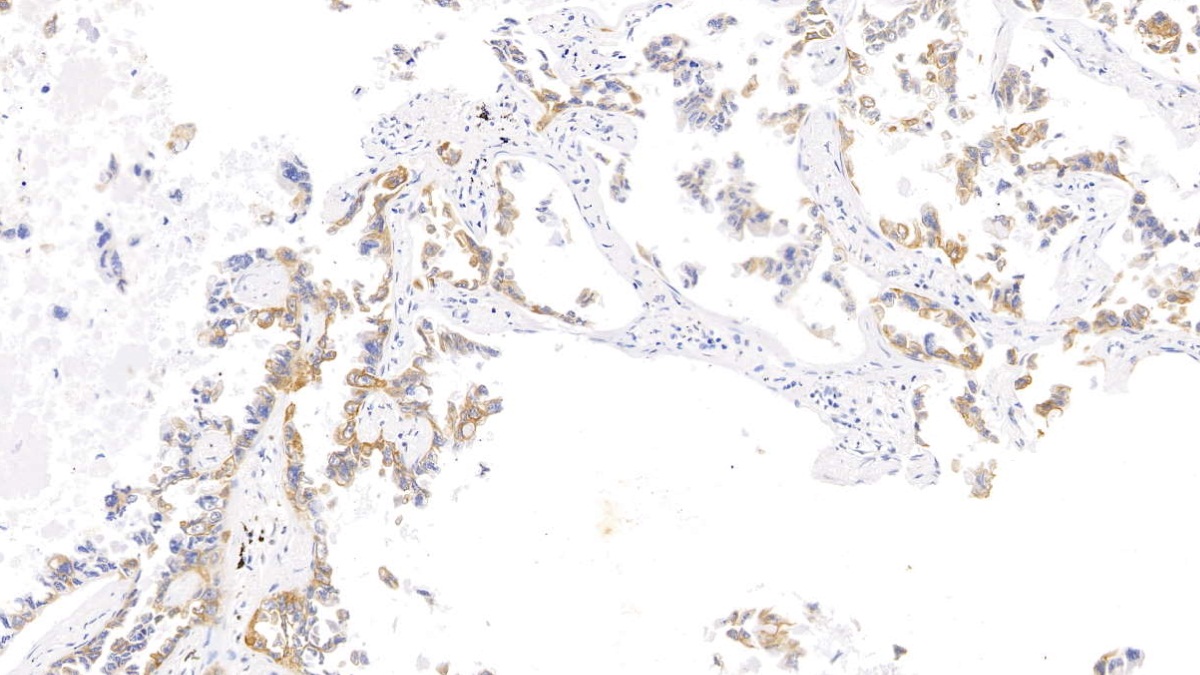
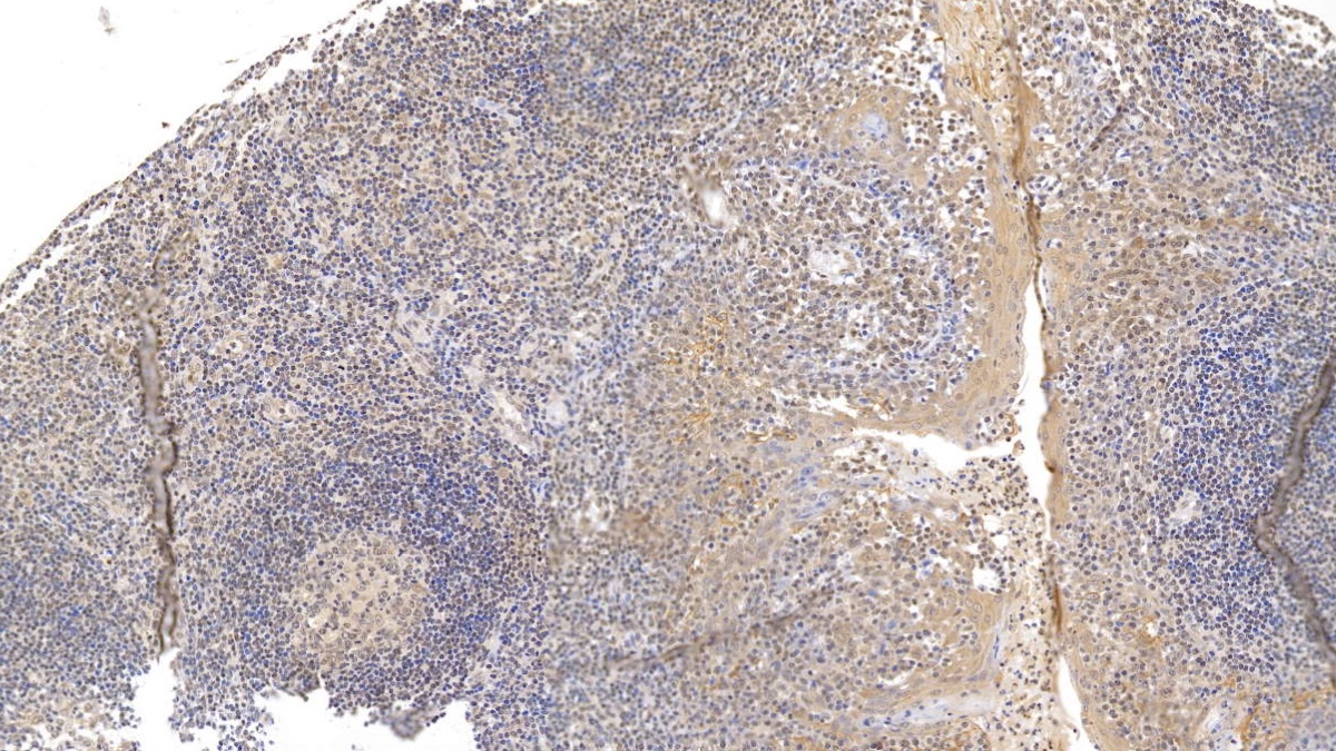
| Валидировано для | IHC WB Иммуногистохимия; Вестерн-блоттинг |
| Рекомендуемые разведения | WB: 0.5-2 мкг/мл; IHC: 5-20 мкг/мл; ICC: 5-20 мкг/мл; Оптимальное разведение определяется конечным потребителем |
| Метод очистки | Аффинная хроматография с белком А и белком G |
| Состав буфера | 0.01M PBS, pH7.4, 0.05% Proclin-300, 50% глицерин |
| Условия доставки | термобокс с аккумуляторами холода |
| Условия хранения | Сразу после получения аликвотировать и хранить при -20ºС до 24 месяцев. Для частого использования хранить при +4ºС не более 2 недель. Избегать повторения циклов замерзания/оттаивания |
| Срок хранения | 24 месяца |
| Производитель | Cloud-Clone Corp. |
| Ссылка на страницу товара на сайте производителя | http://www.cloud-clone.com/products/MAB822Hu23.html |
|
Артикул
|
Наименование |
Производитель
|
|---|
|
Артикул
|
Наименование |
Производитель
|
|---|
|
Артикул
|
Наименование |
Производитель
|
|---|
Акции и предложения
Популярные продукты:
Porcine Alpha actinin 4(ACTN 4) ELISA kit (E07A1227)
Организм: свинья
Human Vascular Endothelial Growth Factor ELISA kit (E01V0010)
Организм: человек
Диапазон определения: 50-1000 пг/мл
Чувствительность: 1 пг/мл
Диапазон определения: 50-1000 пг/мл
Чувствительность: 1 пг/мл
Anti-P2X purinoceptor 4 Antibody (N368/12) (RHK38101)
Источник (хозяин): мышь
Реактивность подтвержденная: для всех
Валидировано для: IHC, WB
Реактивность подтвержденная: для всех
Валидировано для: IHC, WB
Biotin Anti-Mouse CD80 Antibody[16-10A1] (FCE1400)
Источник (хозяин): хомяк
Реактивность подтвержденная: мышь
Валидировано для: FCM
Реактивность подтвержденная: мышь
Валидировано для: FCM
Anti-RAB1B Antibody (R3Z29) (RHK69201)
Источник (хозяин): мышь
Реактивность подтвержденная: человек
Валидировано для: ELISA, FCM, IHC
Реактивность подтвержденная: человек
Валидировано для: ELISA, FCM, IHC
Recombinant Human F9/Factor IX Protein, C-hFc-His (Active) (AHB87801)
Источник (хозяин): клетки млекопитающих
Организм: человек
Фрагмент: Thr29-Thr461
Теги: C-hFc-His
Биоактивность: да
Организм: человек
Фрагмент: Thr29-Thr461
Теги: C-hFc-His
Биоактивность: да

