| UNIPROT | Q04695 |
| Иммуноген | RPB822Hu01-Recombinant Cytokeratin 17 (CK17) |
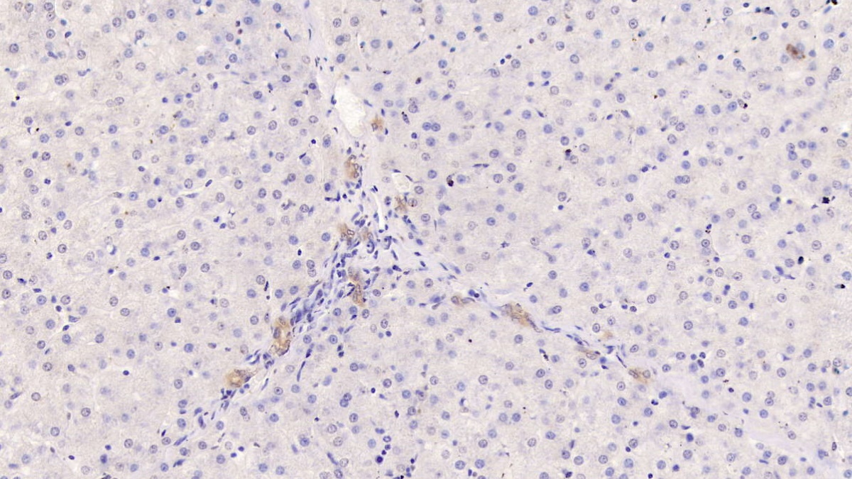
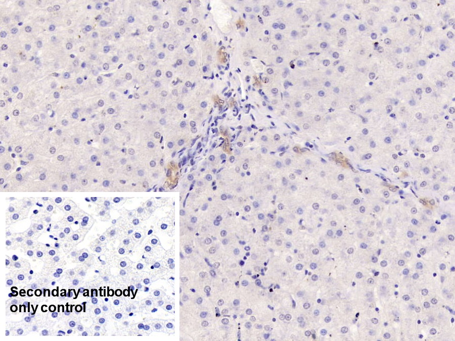
Monoclonal Antibody to Cytokeratin 17 (CK17) (MAB822Hu24)
Реактивность подтвержденная:
человек
Источник (хозяин):
мышь
Валидировано для:
IHC
WB
Характеристики
Техническое описание
| Русское название | MAB822Hu24 Моноклональное антитело к CK17 (человек) <Cloud-Clone,Китай> |
| Каталожный номер | MAB822Hu24 |
| Название антигена | Keratin 17 (KRT17) |
| UNIPROT | Q04695 |
| Иммуноген | RPB822Hu01-Recombinant Cytokeratin 17 (CK17) |
| Английские синонимы | PC2, CK17, K17, PC, PCHC1, Cytokeratin 17, Keratin, type I cytoskeletal 17 |
Реактивность подтвержденная Нужна другая реактивность? |
человек |
| Реактивность предсказываемая | крыса, свинья |
| Источник (хозяин) | мышь |
| Изотип | IgG2a Kappa |
| Клональность | моноклональное |
| Клон | C1 |
| Рекомбинантное | нет |
| Готовое к использованию | нет |
| Концентрация | 1 мг/мл |
| Конъюгат | По запросу: HRP, biotin, PerCP, PE, Cy3, FITC, Cy7, Cy5.5, PE-Cy5, PE-Cy7, PerCp-Cy5.5, APC, Cy5, PE-Cy3, PE-Cy5.5, APC-Cy7, Biotin-APC, FITC-Biotin, TRITC, APC-Cy5, AF488, AF594, AF405, AF555, AF700, AF647, AF750 |
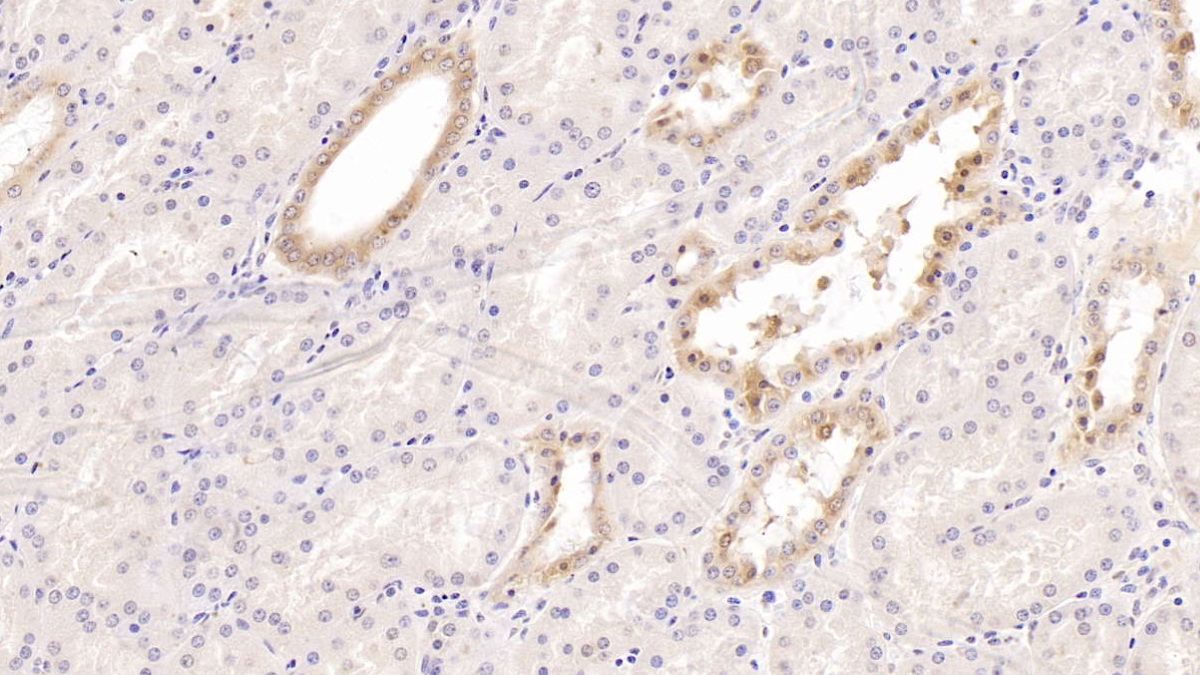
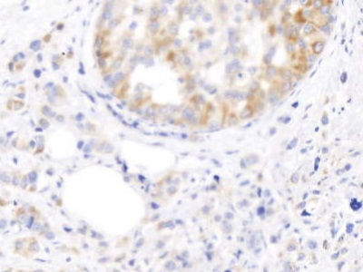
| Валидировано для | IHC WB Иммуногистохимия; Вестерн-блоттинг |
| Рекомендуемые разведения | WB: 0.5-3 мкг/мл; IHC: 5-30 мкг/мл; ICC: 5-30 мкг/мл; Оптимальное разведение определяется конечным потребителем |
| Метод очистки | Аффинная хроматография с белком А и белком G |
| Состав буфера | 0.01M PBS, pH7.4, 0.05% Proclin-300, 50% глицерин |
| Условия доставки | термобокс с аккумуляторами холода |
| Условия хранения | Сразу после получения аликвотировать и хранить при -20ºС до 24 месяцев. Для частого использования хранить при +4ºС не более 2 недель. Избегать повторения циклов замерзания/оттаивания |
| Срок хранения | 24 месяца |
| Производитель | Cloud-Clone Corp. |
| Ссылка на страницу товара на сайте производителя | http://www.cloud-clone.com/products/MAB822Hu24.html |
|
Артикул
|
Наименование |
Производитель
|
|---|
|
Артикул
|
Наименование |
Производитель
|
|---|
|
Артикул
|
Наименование |
Производитель
|
|---|
Акции и предложения
Популярные продукты:
Canine Endothelin 3(EDN3) ELISA kit (E08E0367)
Организм: собака
Anti-TTR/Prealbumin/Transthyretin Antibody (R2Y18) (RHC01305)
Источник (хозяин): мышь
Реактивность подтвержденная: человек
Валидировано для: ELISA, FCM
Реактивность подтвержденная: человек
Валидировано для: ELISA, FCM
HSD3B1 Polyclonal Antibody (E-AB-67940)
Источник (хозяин): кролик
Реактивность подтвержденная: человек, мышь, крыса
Валидировано для: WB
Реактивность подтвержденная: человек, мышь, крыса
Валидировано для: WB
NANOS1 Antibody (DF14614)
Источник (хозяин): кролик
Реактивность подтвержденная: человек, мышь
Валидировано для: IF, ICC
Реактивность подтвержденная: человек, мышь
Валидировано для: IF, ICC
Monoclonal Antibody to Cytokeratin 17 (CK17) (MAB822Hu27)
Источник (хозяин): мышь
Реактивность подтвержденная: человек
Валидировано для: IHC
Реактивность подтвержденная: человек
Валидировано для: IHC
Monoclonal Antibody to Vascular Endothelial Growth Factor Receptor 2 (VEGFR2) (MAB367Hu24)
Источник (хозяин): мышь
Реактивность подтвержденная: человек
Валидировано для: ICC, IHC, IP, WB
Реактивность подтвержденная: человек
Валидировано для: ICC, IHC, IP, WB

