| UNIPROT | P08727 |
| Иммуноген | RPB239Hu02-Recombinant Cytokeratin 19 (CK19) |
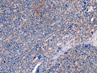
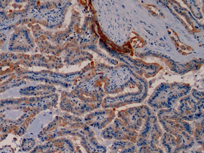
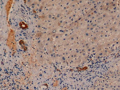
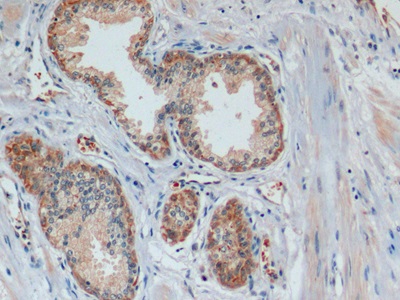
Monoclonal Antibody to Cytokeratin 19 (CK19) (MAB239Hu21)
Реактивность подтвержденная:
человек
Источник (хозяин):
мышь
Валидировано для:
IHC
WB
Характеристики
Техническое описание
| Русское название | MAB239Hu21 Моноклональное антитело к CK19 (человек) <Cloud-Clone,Китай> |
| Каталожный номер | MAB239Hu21 |
| Название антигена | Keratin 19 (KRT19) |
| UNIPROT | P08727 |
| Иммуноген | RPB239Hu02-Recombinant Cytokeratin 19 (CK19) |
| Английские синонимы | K19, CK19, K1CS, Cytokeratin 19, 40-kDa Keratin Intermediate Filament, Keratin, type I cytoskeletal 19 |
Реактивность подтвержденная Нужна другая реактивность? |
человек |
| Источник (хозяин) | мышь |
| Изотип | IgG1 Kappa |
| Клональность | моноклональное |
| Клон | D1 |
| Рекомбинантное | нет |
| Готовое к использованию | нет |
| Концентрация | 1 мг/мл |
| Конъюгат | По запросу: HRP, biotin, PerCP, PE, Cy3, FITC, Cy7, Cy5.5, PE-Cy5, PE-Cy7, PerCp-Cy5.5, APC, Cy5, PE-Cy3, PE-Cy5.5, APC-Cy7, Biotin-APC, FITC-Biotin, TRITC, APC-Cy5, AF488, AF594, AF405, AF555, AF700, AF647, AF750 |
| Валидировано для | IHC WB Иммуногистохимия; Вестерн-блоттинг |
| Рекомендуемые разведения | WB: 0.5-2 мкг/мл; IHC: 5-20 мкг/мл; ICC: 5-20 мкг/мл; Оптимальное разведение определяется конечным потребителем |
| Метод очистки | Аффинная хроматография с белком А и белком G |
| Состав буфера | 0.01M PBS, pH7.4, 0.05% Proclin-300, 50% глицерин |
| Условия доставки | термобокс с аккумуляторами холода |
| Условия хранения | Сразу после получения аликвотировать и хранить при -20ºС до 24 месяцев. Для частого использования хранить при +4ºС не более 2 недель. Избегать повторения циклов замерзания/оттаивания |
| Срок хранения | 24 месяца |
| Производитель | Cloud-Clone Corp. |
| Ссылка на страницу товара на сайте производителя | http://www.cloud-clone.com/products/MAB239Hu21.html |
|
Артикул
|
Наименование |
Производитель
|
|---|
|
Артикул
|
Наименование |
Производитель
|
|---|
|
Артикул
|
Наименование |
Производитель
|
|---|
|
Артикул
|
Наименование |
Производитель
|
|---|
|
Артикул
|
Наименование |
Производитель
|
|---|
|
Артикул
|
Наименование |
Производитель
|
|---|
|
Артикул
|
Наименование |
Производитель
|
|---|
Акции и предложения
Популярные продукты:
Anti-HPV16 E6/Protein E6 Antibody (R4D93) (RVV09004)
Источник (хозяин): мышь
Реактивность подтвержденная: вирусы
Валидировано для: ELISA
Реактивность подтвержденная: вирусы
Валидировано для: ELISA
cAMP/Cyclic Adenosine Monophosphate ELISA Kit (KGK29801)
Организм: для всех
Диапазон определения: IC50 (50% B/B0)=12 пмоль/мл
Чувствительность: 0.15 пмоль/мл
Диапазон определения: IC50 (50% B/B0)=12 пмоль/мл
Чувствительность: 0.15 пмоль/мл
ELISA Kit DIY Materials for Acid Phosphatase 5, Tartrate Resistant (ACP5) (KSA902Mu01)
Организм: мышь
Диапазон определения: 78-5000 пг/мл
Чувствительность: 32 пг/мл
Диапазон определения: 78-5000 пг/мл
Чувствительность: 32 пг/мл
Guinea Pig UMP CMP kinase(CMPK1) ELISA kit (E05U0036)
Организм: морская свинка
Monkey Heparan sulfate 6 O sulfotransferase 3(HS6ST3) ELISA kit (E09H0370)
Организм: обезьяна

