| UNIPROT | P05787 |
| Иммуноген | RPC025Hu01-Recombinant Cytokeratin 8 (CK8) |
Monoclonal Antibody to Cytokeratin 8 (CK8) (MAC025Hu22)
Реактивность подтвержденная:
человек
Источник (хозяин):
мышь
Валидировано для:
IHC
Характеристики
Техническое описание
| Русское название | MAC025Hu22 Моноклональное антитело к CK8 (человек) <Cloud-Clone,Китай> |
| Каталожный номер | MAC025Hu22 |
| Название антигена | Keratin 8 (KRT8) |
| UNIPROT | P05787 |
| Иммуноген | RPC025Hu01-Recombinant Cytokeratin 8 (CK8) |
| Английские синонимы | K8, CARD2, CK8, CYK8, K2C8, KO, Cytokeratin 8, Keratin, type II cytoskeletal 8 |
Реактивность подтвержденная Нужна другая реактивность? |
человек |
| Источник (хозяин) | мышь |
| Изотип | IgG1 Kappa |
| Клональность | моноклональное |
| Клон | C7 |
| Рекомбинантное | нет |
| Готовое к использованию | нет |
| Концентрация | 1 мг/мл |
| Конъюгат | По запросу: HRP, biotin, PerCP, PE, Cy3, FITC, Cy7, Cy5.5, PE-Cy5, PE-Cy7, PerCp-Cy5.5, APC, Cy5, PE-Cy3, PE-Cy5.5, APC-Cy7, Biotin-APC, FITC-Biotin, TRITC, APC-Cy5, AF488, AF594, AF405, AF555, AF700, AF647, AF750 |
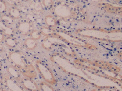
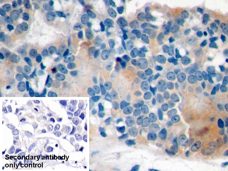
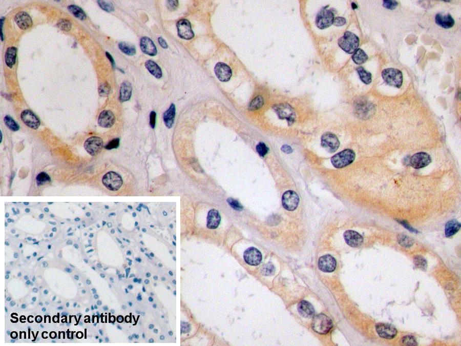
| Валидировано для | IHC Иммуногистохимия |
| Рекомендуемые разведения | WB: 0.01-2 мкг/мл; IHC: 5-20 мкг/мл; ICC: 5-20 мкг/мл; Оптимальное разведение определяется конечным потребителем |
| Метод очистки | Аффинная хроматография с белком А и белком G |
| Состав буфера | 0.01M PBS, pH7.4, 0.05% Proclin-300, 50% глицерин |
| Условия доставки | термобокс с аккумуляторами холода |
| Условия хранения | Сразу после получения аликвотировать и хранить при -20ºС до 24 месяцев. Для частого использования хранить при +4ºС не более 2 недель. Избегать повторения циклов замерзания/оттаивания |
| Срок хранения | 24 месяца |
| Производитель | Cloud-Clone Corp. |
| Ссылка на страницу товара на сайте производителя | http://www.cloud-clone.com/products/MAC025Hu22.html |
|
Артикул
|
Наименование |
Производитель
|
|---|
|
Артикул
|
Наименование |
Производитель
|
|---|
|
Артикул
|
Наименование |
Производитель
|
|---|
Акции и предложения
Популярные продукты:
Anti-Clobetasol Propionate/CBP Monoclonal Antibody (1A488) (MGK61509)
Источник (хозяин): мышь
Реактивность подтвержденная: для всех
Валидировано для: ELISA
Реактивность подтвержденная: для всех
Валидировано для: ELISA
Canine Vitamin B2 ELISA kit (E08V0027)
Организм: собака
Canine Aquaporin-8(AQP8) ELISA kit (E08A1618)
Организм: собака
Porcine Kallikrein 10 ELISA kit (E07K0070)
Организм: свинья
Anti-Mycoplasma pneumoniae P30 adhesin Polyclonal Antibody (PXX17401)
Источник (хозяин): кролик
Реактивность подтвержденная: бактерии
Валидировано для: ELISA, IHC, WB
Реактивность подтвержденная: бактерии
Валидировано для: ELISA, IHC, WB
Anti-PHLPVa/Allergen Phl p Va Antibody (SAA0707) (RZZ02719)
Источник (хозяин): человек
Реактивность подтвержденная: растения
Валидировано для: ELISA
Реактивность подтвержденная: растения
Валидировано для: ELISA

