| UNIPROT | P47712 |
| Иммуноген | RPB624Hu02-Recombinant Cytosolic Phospholipase A2 (PLA2G4) |
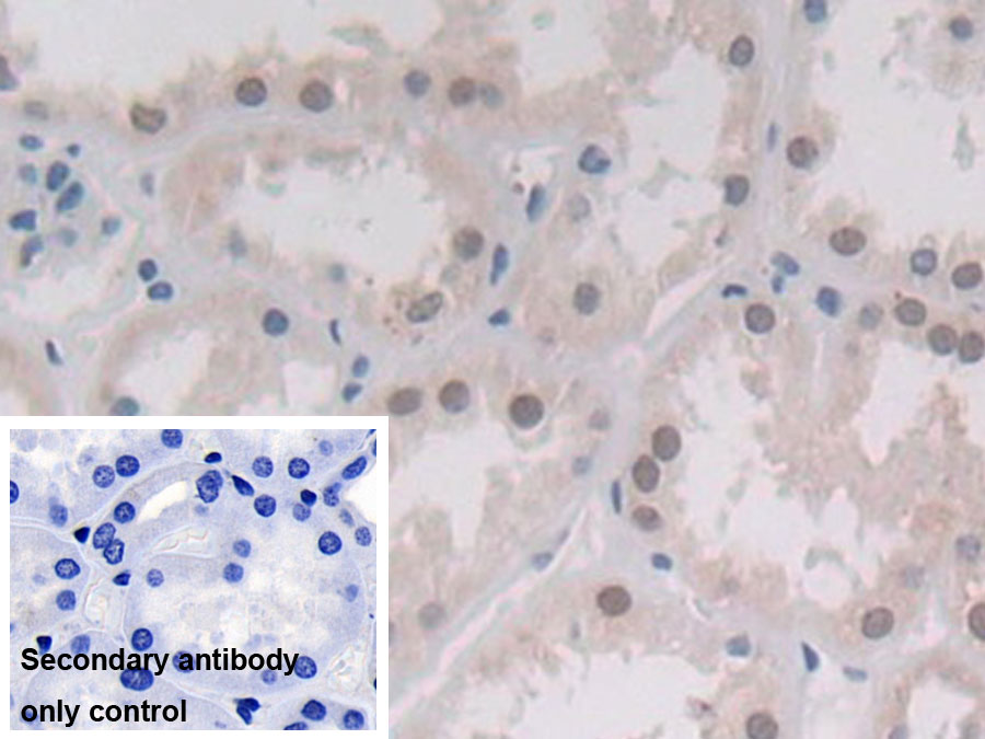
Monoclonal Antibody to Cytosolic Phospholipase A2 (PLA2G4) (MAB624Hu22)
Реактивность подтвержденная:
человек
Источник (хозяин):
мышь
Валидировано для:
IHC
Характеристики
Техническое описание
| Русское название | MAB624Hu22 Моноклональное антитело к PLA2G4 (человек) <Cloud-Clone,Китай> |
| Каталожный номер | MAB624Hu22 |
| Название антигена | Phospholipase A2, Cytosolic (cPLA2) |
| UNIPROT | P47712 |
| Иммуноген | RPB624Hu02-Recombinant Cytosolic Phospholipase A2 (PLA2G4) |
| Английские синонимы | c-PLA2, PLA2G4, PLA2G4A, Phospholipase A2,Group IV(Cytosolic,Calcium-Dependent), Phosphatidylcholine 2-acylhydrolase, Lysophospholipase |
Реактивность подтвержденная Нужна другая реактивность? |
человек |
| Источник (хозяин) | мышь |
| Изотип | IgG2a Kappa |
| Клональность | моноклональное |
| Клон | C10 |
| Рекомбинантное | нет |
| Готовое к использованию | нет |
| Концентрация | 1 мг/мл |
| Конъюгат | По запросу: HRP, biotin, PerCP, PE, Cy3, FITC, Cy7, Cy5.5, PE-Cy5, PE-Cy7, PerCp-Cy5.5, APC, Cy5, PE-Cy3, PE-Cy5.5, APC-Cy7, Biotin-APC, FITC-Biotin, TRITC, APC-Cy5, AF488, AF594, AF405, AF555, AF700, AF647, AF750 |
| Валидировано для | IHC Иммуногистохимия |
| Рекомендуемые разведения | WB: 0.01-2 мкг/мл; IHC: 5-20 мкг/мл; ICC: 5-20 мкг/мл; Оптимальное разведение определяется конечным потребителем |
| Метод очистки | Аффинная хроматография с белком А и белком G |
| Состав буфера | 0.01M PBS, pH7.4, 0.05% Proclin-300, 50% глицерин |
| Условия доставки | термобокс с аккумуляторами холода |
| Условия хранения | Сразу после получения аликвотировать и хранить при -20ºС до 24 месяцев. Для частого использования хранить при +4ºС не более 2 недель. Избегать повторения циклов замерзания/оттаивания |
| Срок хранения | 24 месяца |
| Производитель | Cloud-Clone Corp. |
| Ссылка на страницу товара на сайте производителя | http://www.cloud-clone.com/products/MAB624Hu22.html |
|
Артикул
|
Наименование |
Производитель
|
|---|
|
Артикул
|
Наименование |
Производитель
|
|---|
|
Артикул
|
Наименование |
Производитель
|
|---|
|
Артикул
|
Наименование |
Производитель
|
|---|
Акции и предложения
Популярные продукты:
Anti-Cytosolic Phospholipase A2 (PLA2G4) Monoclonal Antibody (FAB624Hu04)
Источник (хозяин): мышь
Реактивность подтвержденная: человек
Валидировано для: FCM
Реактивность подтвержденная: человек
Валидировано для: FCM
Bovine Transforming Growth Factor β 3 ELISA kit (E11T0168)
Организм: корова
Monkey Transforming Growth Factor β 3 ELISA kit (E09T0168)
Организм: обезьяна
Goat Transforming Growth Factor β 3 ELISA kit (E06T0168)
Организм: коза
Rabbit Transforming Growth Factor β 3 ELISA kit (E04T0168)
Организм: кролик
Rat Transforming Growth Factor β 3 ELISA kit (E02T0168)
Организм: крыса

