| UNIPROT | P09104 |
| Иммуноген | RPA537Hu02-Recombinant Enolase, Neuron Specific (NSE) |
Monoclonal Antibody to Enolase, Neuron Specific (NSE) (MAA537Hu22)
Реактивность подтвержденная:
человек
Источник (хозяин):
мышь
Валидировано для:
IHC
WB
Характеристики
Техническое описание
| Русское название | MAA537Hu22 Моноклональное антитело к NSE (человек) <Cloud-Clone,Китай> |
| Каталожный номер | MAA537Hu22 |
| Название антигена | Enolase, Neuron Specific (NSE) |
| UNIPROT | P09104 |
| Иммуноген | RPA537Hu02-Recombinant Enolase, Neuron Specific (NSE) |
| Английские синонимы | ENO2, Enolase 2, Gamma Enolase, 2-phospho-D-glycerate hydro-lyase, Neural enolase |
| Русские синонимы | Енолаза-2, Гамма-енолаза, 2-фосфо-D-глицерат гидролаза, энолаза 2, фосфопируват-гидратаза, НСЕ, нейронспецифическая энолаза |
Реактивность подтвержденная Нужна другая реактивность? |
человек |
| Реактивность предсказываемая | мышь, крыса |
| Источник (хозяин) | мышь |
| Изотип | IgG2b Kappa |
| Клональность | моноклональное |
| Клон | C10 |
| Рекомбинантное | нет |
| Готовое к использованию | нет |
| Концентрация | 0.7 мг/мл |
| Конъюгат | По запросу: HRP, biotin, PerCP, PE, Cy3, FITC, Cy7, Cy5.5, PE-Cy5, PE-Cy7, PerCp-Cy5.5, APC, Cy5, PE-Cy3, PE-Cy5.5, APC-Cy7, Biotin-APC, FITC-Biotin, TRITC, APC-Cy5, AF488, AF594, AF405, AF555, AF700, AF647, AF750 |
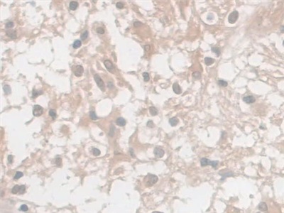
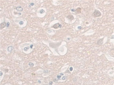
| Валидировано для | IHC WB Иммуногистохимия; Вестерн-блоттинг |
| Рекомендуемые разведения | WB: 0.5-2 мкг/мл; IHC: 5-20 мкг/мл; ICC: 5-20 мкг/мл; Оптимальное разведение определяется конечным потребителем |
| Метод очистки | Аффинная хроматография с белком А и белком G |
| Состав буфера | PBS, pH7.4, 0.02% NaN3, 50% глицерин |
| Условия доставки | термобокс с аккумуляторами холода |
| Условия хранения | Сразу после получения аликвотировать и хранить при -20ºС до 24 месяцев. Для частого использования хранить при +4ºС не более 2 недель. Избегать повторения циклов замерзания/оттаивания |
| Срок хранения | 24 месяца |
| Производитель | Cloud-Clone Corp. |
| Ссылка на страницу товара на сайте производителя | http://www.cloud-clone.com/products/MAA537Hu22.html |
|
Артикул
|
Наименование |
Производитель
|
|---|
|
Артикул
|
Наименование |
Производитель
|
|---|
|
Артикул
|
Наименование |
Производитель
|
|---|
|
Артикул
|
Наименование |
Производитель
|
|---|
|
Артикул
|
Наименование |
Производитель
|
|---|
|
Артикул
|
Наименование |
Производитель
|
|---|
Акции и предложения
Популярные продукты:
Anti-Adiponectin (ADPN) Monoclonal Antibody (FAA605Hu02)
Источник (хозяин): мышь
Реактивность подтвержденная: человек
Валидировано для: FCM
Реактивность подтвержденная: человек
Валидировано для: FCM
ELISA Kit DIY Materials for Cytochrome C Oxidase Subunit II (COX2) (KSD284Ra01)
Организм: крыса
Диапазон определения: 0.312-20 нг/мл
Чувствительность: 0.124 нг/мл
Диапазон определения: 0.312-20 нг/мл
Чувствительность: 0.124 нг/мл
Monoclonal Antibody to Karyopherin Alpha 2 (KPNa2) (MAE748Hu28)
Источник (хозяин): мышь
Реактивность подтвержденная: человек
Валидировано для: ICC, IF
Реактивность подтвержденная: человек
Валидировано для: ICC, IF
Monoclonal Antibody to Ephrin A3 (EFNA3) (MAE109Hu22)
Источник (хозяин): мышь
Реактивность подтвержденная: человек
Валидировано для: WB
Реактивность подтвержденная: человек
Валидировано для: WB
Rat Cyclophosphamide ELISA kit (E02C0842)
Организм: крыса
Bovine Phosphoenolpyruvic acid (PEP) ELISA kit (E11P1086)
Организм: корова

