| UNIPROT | P19235 |
| Иммуноген | RPA027Hu03-Recombinant Erythropoietin Receptor (EPOR) |
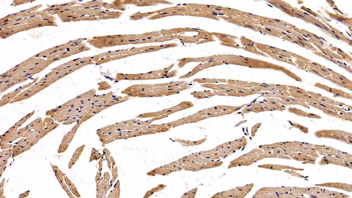
Monoclonal Antibody to Erythropoietin Receptor (EPOR) (MAA027Hu22)
Реактивность подтвержденная:
человек
Источник (хозяин):
мышь
Валидировано для:
IHC
Характеристики
Техническое описание
| Русское название | MAA027Hu22 Моноклональное антитело к EPOR (человек) <Cloud-Clone,Китай> |
| Каталожный номер | MAA027Hu22 |
| Название антигена | Erythropoietin Receptor (EPOR) |
| UNIPROT | P19235 |
| Иммуноген | RPA027Hu03-Recombinant Erythropoietin Receptor (EPOR) |
| Английские синонимы | EPO-R |
Реактивность подтвержденная Нужна другая реактивность? |
человек |
| Реактивность предсказываемая | мышь |
| Источник (хозяин) | мышь |
| Изотип | IgG1 Kappa |
| Клональность | моноклональное |
| Клон | C2 |
| Рекомбинантное | нет |
| Готовое к использованию | нет |
| Концентрация | 1 мг/мл |
| Конъюгат | По запросу: HRP, biotin, PerCP, PE, Cy3, FITC, Cy7, Cy5.5, PE-Cy5, PE-Cy7, PerCp-Cy5.5, APC, Cy5, PE-Cy3, PE-Cy5.5, APC-Cy7, Biotin-APC, FITC-Biotin, TRITC, APC-Cy5, AF488, AF594, AF405, AF555, AF700, AF647, AF750 |
| Валидировано для | IHC Иммуногистохимия |
| Рекомендуемые разведения | WB: 0.01-2 мкг/мл; IHC: 5-20 мкг/мл; IF: 5-20 мкг/мл; Оптимальное разведение определяется конечным потребителем |
| Метод очистки | Аффинная хроматография с белком А и белком G |
| Состав буфера | 0.01M PBS, pH7.4, 0.05% Proclin-300, 50% глицерин |
| Условия доставки | термобокс с аккумуляторами холода |
| Условия хранения | Сразу после получения аликвотировать и хранить при -20ºС до 24 месяцев. Для частого использования хранить при +4ºС не более 2 недель. Избегать повторения циклов замерзания/оттаивания |
| Срок хранения | 24 месяца |
| Производитель | Cloud-Clone Corp. |
| Ссылка на страницу товара на сайте производителя | http://www.cloud-clone.com/products/MAA027Hu22.html |
|
Артикул
|
Наименование |
Производитель
|
|---|
|
Артикул
|
Наименование |
Производитель
|
|---|
|
Артикул
|
Наименование |
Производитель
|
|---|
|
Артикул
|
Наименование |
Производитель
|
|---|
|
Артикул
|
Наименование |
Производитель
|
|---|
Акции и предложения
Популярные продукты:
Canine Catenin delta 1(CTNND1) ELISA kit (E08E0197)
Организм: собака
Canine Catenin delta 1(CTNND1) ELISA kit (E08C2153)
Организм: собака
Goat Catenin delta 1(CTNND1) ELISA kit (E06C2153)
Организм: коза
Rabbit Centromere Protein A ELISA kit (E04C0646)
Организм: кролик
Bovine Erythropoietin Receptor ELISA kit (E11E0057)
Организм: корова
FKBP1A Antibody (DF6599)
Источник (хозяин): кролик
Реактивность подтвержденная: человек, мышь, крыса
Валидировано для: IHC, WB
Реактивность подтвержденная: человек, мышь, крыса
Валидировано для: IHC, WB

