| UNIPROT | P02794 |
| Иммуноген | RPD021Hu01-Recombinant Ferritin, Heavy Polypeptide (FTH) |
Monoclonal Antibody to Ferritin, Heavy Polypeptide (FTH) (MAD021Hu21)
Реактивность подтвержденная:
человек
Источник (хозяин):
мышь
Валидировано для:
IHC
WB
Характеристики
Техническое описание
| Русское название | MAD021Hu21 Моноклональное антитело к FTH (человек) <Cloud-Clone,Китай> |
| Каталожный номер | MAD021Hu21 |
| Название антигена | Ferritin, Heavy Polypeptide (FTH) |
| UNIPROT | P02794 |
| Иммуноген | RPD021Hu01-Recombinant Ferritin, Heavy Polypeptide (FTH) |
| Английские синонимы | FTH1, FTHL6, PIG15, PLIF, Ferritin Heavy Chain, Apoferritin, Placenta Immunoregulatory Factor, Proliferation-Inducing Protein 15, Cell proliferation-inducing gene 15 protein |
| Русские синонимы | Тяжелый полипептид ферритина |
Реактивность подтвержденная Нужна другая реактивность? |
человек |
| Реактивность предсказываемая | крыса |
| Источник (хозяин) | мышь |
| Изотип | IgG2b Kappa |
| Клональность | моноклональное |
| Клон | D4 |
| Рекомбинантное | нет |
| Готовое к использованию | нет |
| Концентрация | 1 мг/мл |
| Конъюгат | По запросу: HRP, biotin, PerCP, PE, Cy3, FITC, Cy7, Cy5.5, PE-Cy5, PE-Cy7, PerCp-Cy5.5, APC, Cy5, PE-Cy3, PE-Cy5.5, APC-Cy7, Biotin-APC, FITC-Biotin, TRITC, APC-Cy5, AF488, AF594, AF405, AF555, AF700, AF647, AF750 |
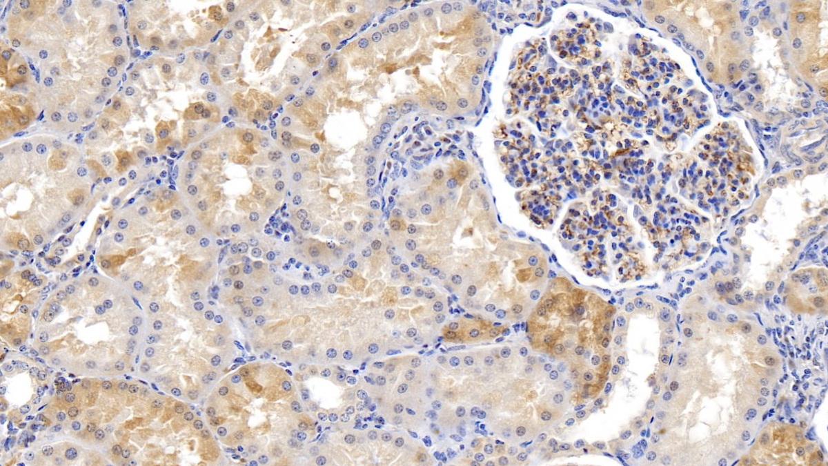
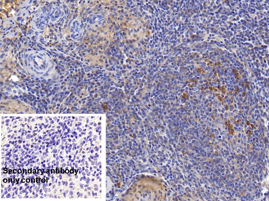
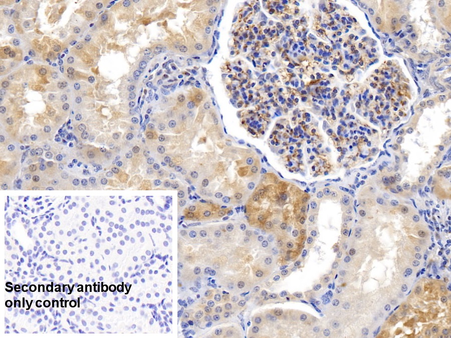
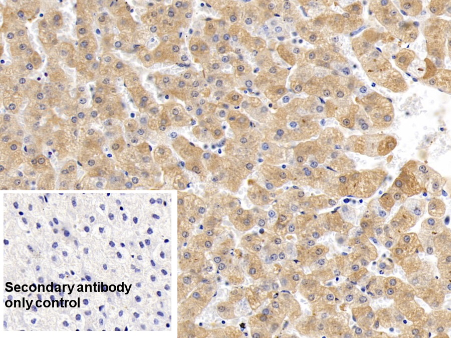
| Валидировано для | IHC WB Иммуногистохимия; Вестерн-блоттинг |
| Рекомендуемые разведения | WB: 0.01-2 мкг/мл; IHC: 5-20 мкг/мл; Оптимальное разведение определяется конечным потребителем |
| Метод очистки | Аффинная хроматография с белком А и белком G |
| Состав буфера | 0.01M PBS, pH7.4, 0.05% Proclin-300, 50% глицерин |
| Условия доставки | термобокс с аккумуляторами холода |
| Условия хранения | Сразу после получения аликвотировать и хранить при -20ºС до 24 месяцев. Для частого использования хранить при +4ºС не более 2 недель. Избегать повторения циклов замерзания/оттаивания |
| Срок хранения | 24 месяца |
| Производитель | Cloud-Clone Corp. |
| Ссылка на страницу товара на сайте производителя | http://www.cloud-clone.com/products/MAD021Hu21.html |
|
Артикул
|
Наименование |
Производитель
|
|---|
|
Артикул
|
Наименование |
Производитель
|
|---|
|
Артикул
|
Наименование |
Производитель
|
|---|
|
Артикул
|
Наименование |
Производитель
|
|---|
|
Артикул
|
Наименование |
Производитель
|
|---|
|
Артикул
|
Наименование |
Производитель
|
|---|
|
Артикул
|
Наименование |
Производитель
|
|---|
|
Артикул
|
Наименование |
Производитель
|
|---|
|
Артикул
|
Наименование |
Производитель
|
|---|
|
Артикул
|
Наименование |
Производитель
|
|---|
Акции и предложения
Популярные продукты:
Rabbit Transmembrane protein 18(TMEM18) ELISA kit (E04T0706)
Организм: кролик
Mouse Transmembrane protein 18(TMEM18) ELISA kit (E03T0706)
Организм: мышь
Rat Transmembrane protein 18(TMEM18) ELISA kit (E02T0706)
Организм: крыса
Human Transmembrane protein 18(TMEM18) ELISA kit (E01T0706)
Организм: человек
Диапазон определения: 0.5-10 нг/мл
Чувствительность: 0.1 нг/мл
Диапазон определения: 0.5-10 нг/мл
Чувствительность: 0.1 нг/мл
Sheep alpha-L-fucosidase,AFU ELISA Kit (E14A1860)
Организм: овца

