| UNIPROT | P23771 |
| Иммуноген | RPA410Hu01-Recombinant GATA Binding Protein 3 (GATA3) |
Monoclonal Antibody to GATA Binding Protein 3 (GATA3) (MAA410Hu23)
Реактивность подтвержденная:
человек
Источник (хозяин):
мышь
Валидировано для:
IHC
Характеристики
Техническое описание
| Русское название | MAA410Hu23 Моноклональное антитело к GATA3 (человек) <Cloud-Clone,Китай> |
| Каталожный номер | MAA410Hu23 |
| Название антигена | GATA Binding Protein 3 (GATA3) |
| UNIPROT | P23771 |
| Иммуноген | RPA410Hu01-Recombinant GATA Binding Protein 3 (GATA3) |
| Английские синонимы | HDR, Trans-acting T-cell-specific transcription factor GATA-3 |
Реактивность подтвержденная Нужна другая реактивность? |
человек |
| Реактивность предсказываемая | свинья |
| Источник (хозяин) | мышь |
| Изотип | IgG2a Kappa |
| Клональность | моноклональное |
| Клон | C6 |
| Рекомбинантное | нет |
| Готовое к использованию | нет |
| Концентрация | 1 мг/мл |
| Конъюгат | По запросу: HRP, biotin, PerCP, PE, Cy3, FITC, Cy7, Cy5.5, PE-Cy5, PE-Cy7, PerCp-Cy5.5, APC, Cy5, PE-Cy3, PE-Cy5.5, APC-Cy7, Biotin-APC, FITC-Biotin, TRITC, APC-Cy5, AF488, AF594, AF405, AF555, AF700, AF647, AF750 |
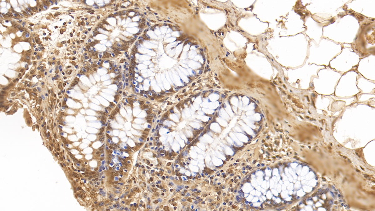
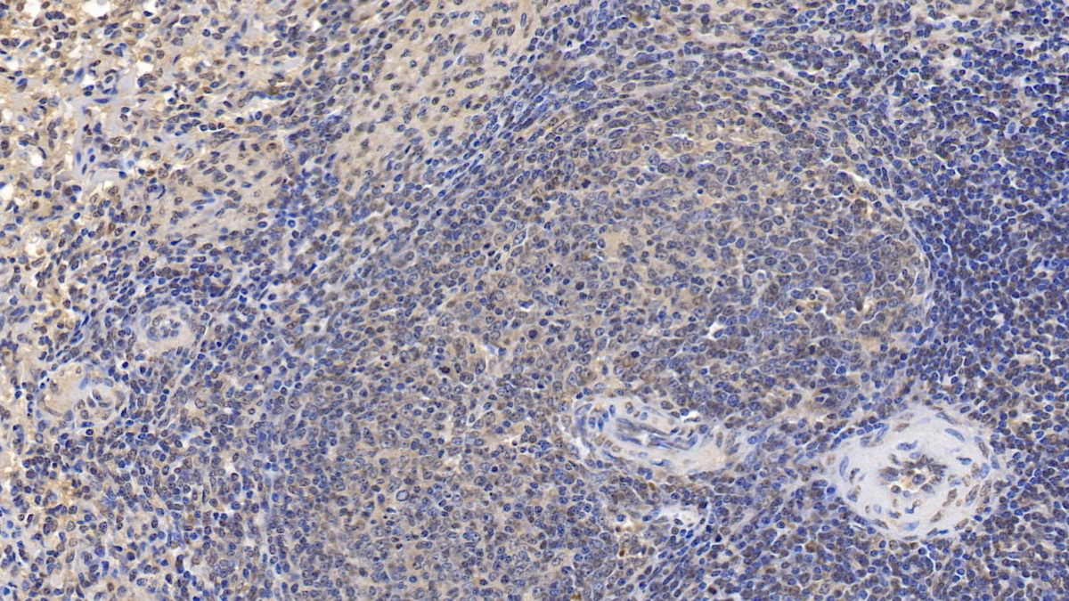
| Валидировано для | IHC Иммуногистохимия |
| Рекомендуемые разведения | WB: 0.5-2 мкг/мл; IHC: 5-20 мкг/мл; ICC: 5-20 мкг/мл; Оптимальное разведение определяется конечным потребителем |
| Метод очистки | Аффинная хроматография с белком А и белком G |
| Состав буфера | 0.01M PBS, pH7.4, 0.05% Proclin-300, 50% глицерин |
| Условия доставки | термобокс с аккумуляторами холода |
| Условия хранения | Сразу после получения аликвотировать и хранить при -20ºС до 24 месяцев. Для частого использования хранить при +4ºС не более 2 недель. Избегать повторения циклов замерзания/оттаивания |
| Срок хранения | 24 месяца |
| Производитель | Cloud-Clone Corp. |
| Ссылка на страницу товара на сайте производителя | http://www.cloud-clone.com/products/MAA410Hu23.html |
|
Артикул
|
Наименование |
Производитель
|
|---|
|
Артикул
|
Наименование |
Производитель
|
|---|
|
Артикул
|
Наименование |
Производитель
|
|---|
Акции и предложения
Популярные продукты:
Anti-Human CD1a Antibody (Fs0327), PE (FHC18723)
Источник (хозяин): мышь
Реактивность подтвержденная: человек
Валидировано для: ELISA, FCM, IP, RIA
Реактивность подтвержденная: человек
Валидировано для: ELISA, FCM, IP, RIA
Rat Artemin ELISA kit (E02A0032)
Организм: крыса
Диапазон определения: 50-1000 пг/мл
Чувствительность: 1 пг/мл
Диапазон определения: 50-1000 пг/мл
Чувствительность: 1 пг/мл
Goat Claspin(CLSPN) ELISA kit (E06C1815)
Организм: коза
Human Alpha 1 syntrophin(SNTA1) ELISA kit (E01A1988)
Организм: человек
Диапазон определения: 2.5-50 нг/мл
Чувствительность: 0.1 нг/мл
Диапазон определения: 2.5-50 нг/мл
Чувствительность: 0.1 нг/мл
Goat Neurofilament, Heavy Polypeptide ELISA kit (E06N0035)
Организм: коза

