| UNIPROT | P06396 |
| Иммуноген | RPA372Hu04-Recombinant Gelsolin (GSN) |
Monoclonal Antibody to Gelsolin (GSN) (MAA372Hu24)
Реактивность подтвержденная:
человек
Источник (хозяин):
мышь
Валидировано для:
IHC
WB
Характеристики
Техническое описание
| Русское название | MAA372Hu24 Моноклональное антитело к GSN (человек) <Cloud-Clone,Китай> |
| Каталожный номер | MAA372Hu24 |
| Название антигена | Gelsolin (GS) |
| UNIPROT | P06396 |
| Иммуноген | RPA372Hu04-Recombinant Gelsolin (GSN) |
| Английские синонимы | GSN, AGEL, ADF, Brevin, Gelsolin Amyloidosis,Finnish Type, Actin-depolymerizing factor |
Реактивность подтвержденная Нужна другая реактивность? |
человек |
| Реактивность предсказываемая | свинья |
| Источник (хозяин) | мышь |
| Изотип | IgG1 Kappa |
| Клональность | моноклональное |
| Клон | D1 |
| Рекомбинантное | нет |
| Готовое к использованию | нет |
| Концентрация | 1 мг/мл |
| Конъюгат | По запросу: HRP, biotin, PerCP, PE, Cy3, FITC, Cy7, Cy5.5, PE-Cy5, PE-Cy7, PerCp-Cy5.5, APC, Cy5, PE-Cy3, PE-Cy5.5, APC-Cy7, Biotin-APC, FITC-Biotin, TRITC, APC-Cy5, AF488, AF594, AF405, AF555, AF700, AF647, AF750 |
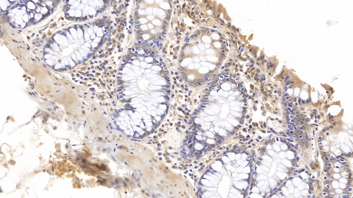
| Валидировано для | IHC WB Иммуногистохимия; Вестерн-блоттинг |
| Рекомендуемые разведения | WB: 0.01-3 мкг/мл; IHC: 5-20 мкг/мл; Оптимальное разведение определяется конечным потребителем |
| Метод очистки | Аффинная хроматография с белком А и белком G |
| Состав буфера | PBS, pH7.4, 0.02% NaN3, 50% глицерин |
| Условия доставки | термобокс с аккумуляторами холода |
| Условия хранения | Сразу после получения аликвотировать и хранить при -20ºС до 24 месяцев. Для частого использования хранить при +4ºС не более 2 недель. Избегать повторения циклов замерзания/оттаивания |
| Срок хранения | 24 месяца |
| Производитель | Cloud-Clone Corp. |
| Ссылка на страницу товара на сайте производителя | http://www.cloud-clone.com/products/MAA372Hu24.html |
|
Артикул
|
Наименование |
Производитель
|
|---|
|
Артикул
|
Наименование |
Производитель
|
|---|
|
Артикул
|
Наименование |
Производитель
|
|---|
|
Артикул
|
Наименование |
Производитель
|
|---|
|
Артикул
|
Наименование |
Производитель
|
|---|
|
Артикул
|
Наименование |
Производитель
|
|---|
|
Артикул
|
Наименование |
Производитель
|
|---|
|
Артикул
|
Наименование |
Производитель
|
|---|
|
Артикул
|
Наименование |
Производитель
|
|---|
Акции и предложения
Популярные продукты:
Anti-Gelsolin (GSN) Monoclonal Antibody (FAA372Hu02)
Источник (хозяин): мышь
Реактивность подтвержденная: человек
Валидировано для: FCM
Реактивность подтвержденная: человек
Валидировано для: FCM
Porcine Amidophosphoribosyltransferase(PPAT) ELISA kit (E07A1945)
Организм: свинья
Monkey Chromosome associated kinesin KIF4B(KIF4B) ELISA kit (E09C2325)
Организм: обезьяна
Porcine Myosin 4(MYH4) ELISA kit (E07M0416)
Организм: свинья
Porcine Neurotrophin 4 ELISA kit (E07N0107)
Организм: свинья
InVivoMAb Anti-Human CD120b/TNFRSF1B/TNFR2 Antibody (SAA0309) (VHD38901)
Источник (хозяин): мышь
Реактивность подтвержденная: человек
Валидировано для: NEUT
Реактивность подтвержденная: человек
Валидировано для: NEUT

