| UNIPROT | P51654 |
| Иммуноген | RPA971Hu01-Recombinant Glypican 3 (GPC3) |
Monoclonal Antibody to Glypican 3 (GPC3) (MAA971Hu25)
Реактивность подтвержденная:
человек
Источник (хозяин):
мышь
Валидировано для:
IHC
Характеристики
Техническое описание
| Русское название | MAA971Hu25 Моноклональное антитело к GPC3 (человек) <Cloud-Clone,Китай> |
| Каталожный номер | MAA971Hu25 |
| Название антигена | Glypican 3 (GPC3) |
| UNIPROT | P51654 |
| Иммуноген | RPA971Hu01-Recombinant Glypican 3 (GPC3) |
| Английские синонимы | DGSX, OCI5, SDYS, SGB, SGBS1, MXR7, Glypican Proteoglycan 3, GTR2-2, Intestinal protein OCI-5, Secreted glypican-3 |
Реактивность подтвержденная Нужна другая реактивность? |
человек |
| Реактивность предсказываемая | свинья |
| Источник (хозяин) | мышь |
| Изотип | IgG2b Kappa |
| Клональность | моноклональное |
| Клон | C11 |
| Рекомбинантное | нет |
| Готовое к использованию | нет |
| Концентрация | 1 мг/мл |
| Конъюгат | По запросу: HRP, biotin, PerCP, PE, Cy3, FITC, Cy7, Cy5.5, PE-Cy5, PE-Cy7, PerCp-Cy5.5, APC, Cy5, PE-Cy3, PE-Cy5.5, APC-Cy7, Biotin-APC, FITC-Biotin, TRITC, APC-Cy5, AF488, AF594, AF405, AF555, AF700, AF647, AF750 |
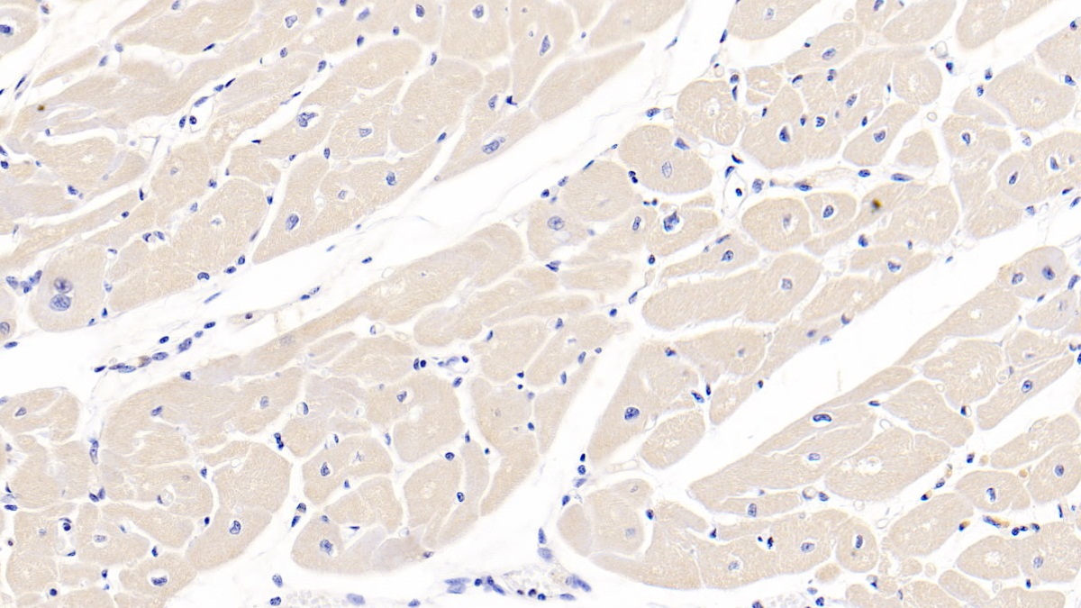
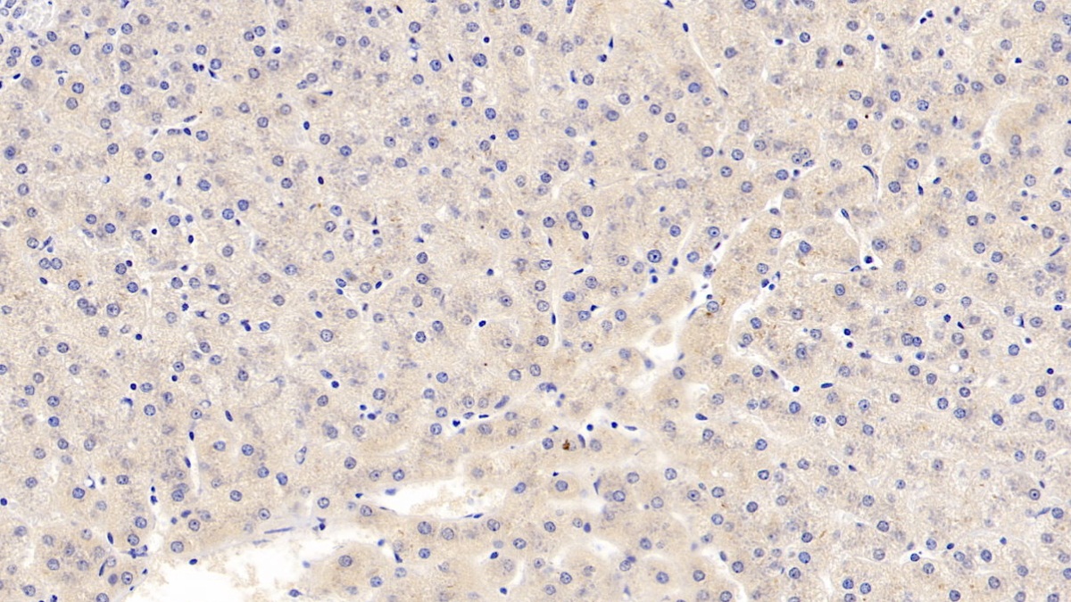
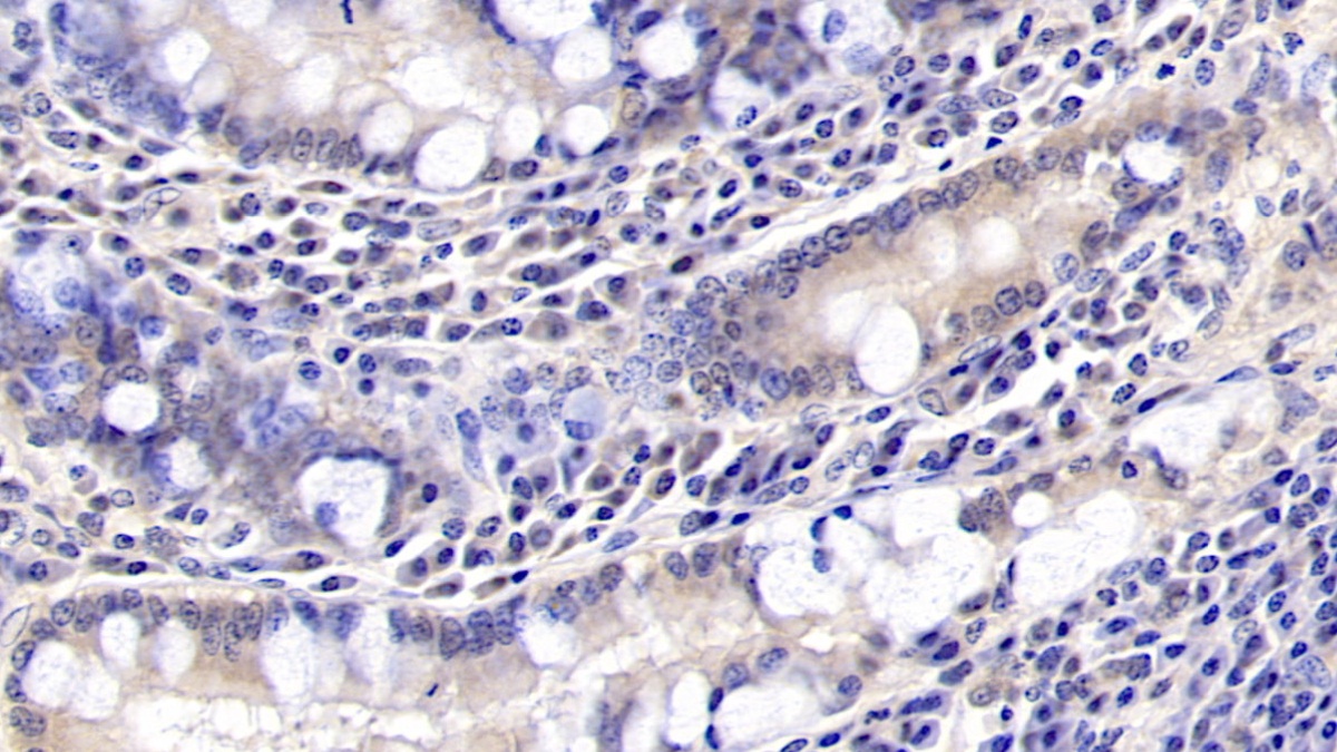
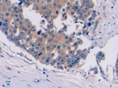
| Валидировано для | IHC Иммуногистохимия |
| Рекомендуемые разведения | WB: 0.5-2 мкг/мл; IHC: 5-20 мкг/мл; ICC: 5-20 мкг/мл; Оптимальное разведение определяется конечным потребителем |
| Метод очистки | Аффинная хроматография с белком А и белком G |
| Состав буфера | 0.01M PBS, pH7.4, 0.05% Proclin-300, 50% глицерин |
| Условия доставки | термобокс с аккумуляторами холода |
| Условия хранения | Сразу после получения аликвотировать и хранить при -20ºС до 24 месяцев. Для частого использования хранить при +4ºС не более 2 недель. Избегать повторения циклов замерзания/оттаивания |
| Срок хранения | 24 месяца |
| Производитель | Cloud-Clone Corp. |
| Ссылка на страницу товара на сайте производителя | http://www.cloud-clone.com/products/MAA971Hu25.html |
|
Артикул
|
Наименование |
Производитель
|
|---|
|
Артикул
|
Наименование |
Производитель
|
|---|
|
Артикул
|
Наименование |
Производитель
|
|---|
|
Артикул
|
Наименование |
Производитель
|
|---|
|
Артикул
|
Наименование |
Производитель
|
|---|
|
Артикул
|
Наименование |
Производитель
|
|---|
Акции и предложения
Популярные продукты:
Anti-HPIV3 F/Fusion glycoprotein F0 Nanobody (Fs0337) (RVV33701)
Реактивность подтвержденная: вирусы
Валидировано для: ELISA, NEUT
Валидировано для: ELISA, NEUT
Anti-HPIV3 F/Fusion glycoprotein F0 Antibody (Fs0343) (RVV33705)
Источник (хозяин): человек
Реактивность подтвержденная: вирусы
Валидировано для: ELISA, NEUT
Реактивность подтвержденная: вирусы
Валидировано для: ELISA, NEUT
Anti-Tumor Necrosis Factor Alpha (TNFa) Monoclonal Antibody (FAA133Bo02)
Источник (хозяин): мышь
Реактивность подтвержденная: корова
Валидировано для: FCM
Реактивность подтвержденная: корова
Валидировано для: FCM
Guinea Pig Anamorsin(CIAPIN1) ELISA kit (E05A1813)
Организм: морская свинка

