| UNIPROT | p04792 |
| Иммуноген | RPA693Hu01-Recombinant Heat Shock Protein 27 (Hsp27) |
Monoclonal Antibody to Heat Shock Protein 27 (Hsp27) (MAA693Hu23)
Реактивность подтвержденная:
человек
Источник (хозяин):
мышь
Валидировано для:
FCM
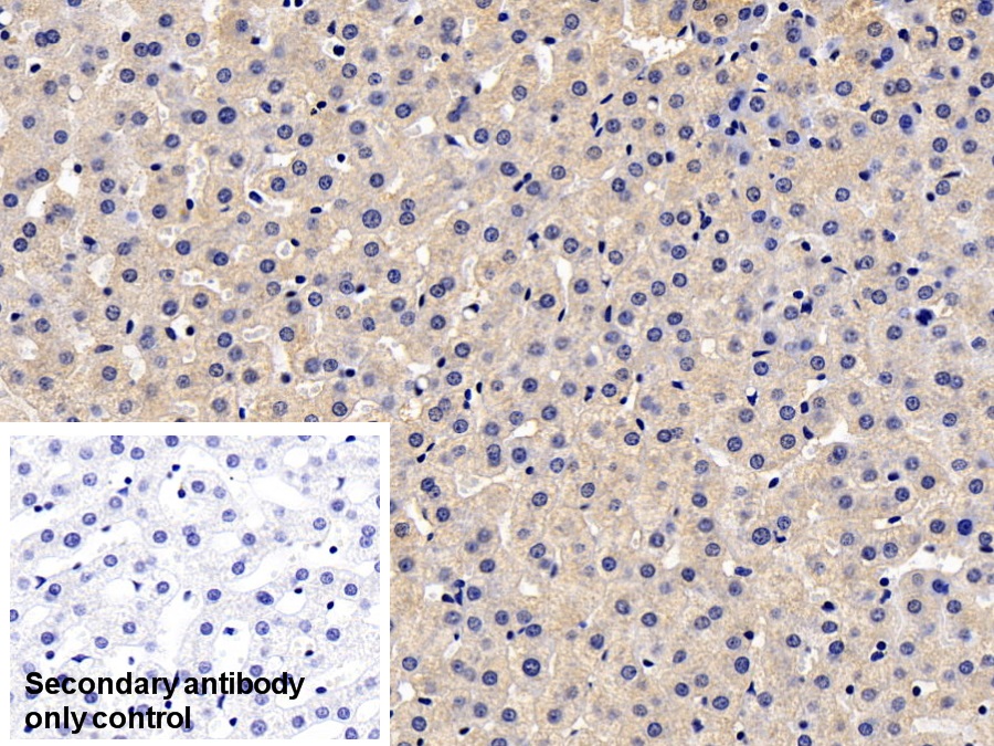
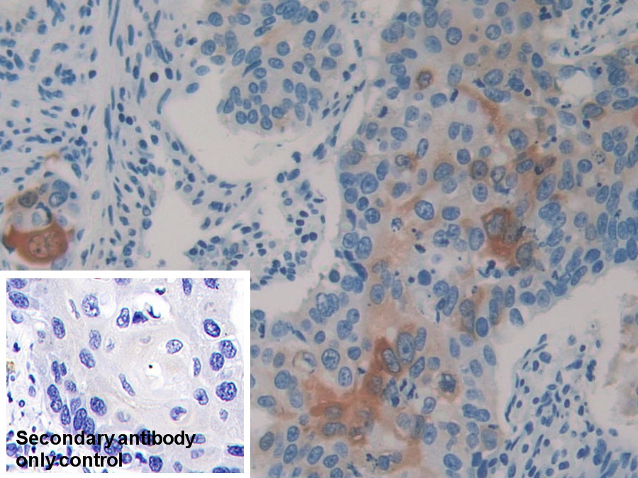
IHC
WB
Характеристики
Техническое описание
| Русское название | MAA693Hu23 Моноклональное антитело к Hsp27 (человек) <Cloud-Clone,Китай> |
| Каталожный номер | MAA693Hu23 |
| Название антигена | Heat Shock 27kDa Protein 1 (HSPB1) |
| UNIPROT | p04792 |
| Иммуноген | RPA693Hu01-Recombinant Heat Shock Protein 27 (Hsp27) |
| Английские синонимы | HSP27, HSP-B1, CMT2F, HSP28, Hsp25, Heat Shock Protein 27, 28 kDa heat shock protein, Heat shock protein beta-1, Estrogen-regulated 24 kDa protein |
Реактивность подтвержденная Нужна другая реактивность? |
человек |
| Реактивность предсказываемая | свинья |
| Источник (хозяин) | мышь |
| Изотип | IgG1 Kappa |
| Клональность | моноклональное |
| Клон | C1 |
| Рекомбинантное | нет |
| Готовое к использованию | нет |
| Концентрация | 1 мг/мл |
| Конъюгат | По запросу: HRP, biotin, PerCP, PE, Cy3, FITC, Cy7, Cy5.5, PE-Cy5, PE-Cy7, PerCp-Cy5.5, APC, Cy5, PE-Cy3, PE-Cy5.5, APC-Cy7, Biotin-APC, FITC-Biotin, TRITC, APC-Cy5, AF488, AF594, AF405, AF555, AF700, AF647, AF750 |
| Валидировано для | FCM IHC WB Проточная цитометрия; Иммуногистохимия; Вестерн-блоттинг |
| Рекомендуемые разведения | WB: 0.01-3 мкг/мл; IHC: 5-30 мкг/мл; FCM: 10 мкг/мл; Оптимальное разведение определяется конечным потребителем |
| Метод очистки | Аффинная хроматография с белком А и белком G |
| Состав буфера | 0.01M PBS, pH7.4, 0.05% Proclin-300, 50% глицерин |
| Условия доставки | термобокс с аккумуляторами холода |
| Условия хранения | Сразу после получения аликвотировать и хранить при -20ºС до 24 месяцев. Для частого использования хранить при +4ºС не более 2 недель. Избегать повторения циклов замерзания/оттаивания |
| Срок хранения | 24 месяца |
| Производитель | Cloud-Clone Corp. |
| Ссылка на страницу товара на сайте производителя | http://www.cloud-clone.com/products/MAA693Hu23.html |
|
Артикул
|
Наименование |
Производитель
|
|---|
|
Артикул
|
Наименование |
Производитель
|
|---|
|
Артикул
|
Наименование |
Производитель
|
|---|
|
Артикул
|
Наименование |
Производитель
|
|---|
|
Артикул
|
Наименование |
Производитель
|
|---|
|
Артикул
|
Наименование |
Производитель
|
|---|
|
Артикул
|
Наименование |
Производитель
|
|---|
Акции и предложения
Популярные продукты:
Rat Filamin B, β ELISA kit (E02F0100)
Организм: крыса
Multiplex Assay Kit for Nitric Oxide Synthase 1, Neuronal (NOS1) (LMA815Hu)
Организм: человек
Диапазон определения: 0.01-10 нг/мл
Чувствительность: 0.003 нг/мл
Диапазон определения: 0.01-10 нг/мл
Чувствительность: 0.003 нг/мл
Monoclonal Antibody to Fatty Acid Binding Protein 4 (FABP4) (MAB693Hu24)
Источник (хозяин): мышь
Реактивность подтвержденная: человек
Валидировано для: IHC, WB
Реактивность подтвержденная: человек
Валидировано для: IHC, WB
Monoclonal Antibody to Heat Shock Protein 27 (Hsp27) (MAA693Hu23)
Источник (хозяин): мышь
Реактивность подтвержденная: человек
Валидировано для: FCM, IHC, WB
Реактивность подтвержденная: человек
Валидировано для: FCM, IHC, WB
Monoclonal Antibody to Fatty Acid Binding Protein 4 (FABP4) (MAB693Hu23)
Источник (хозяин): мышь
Реактивность подтвержденная: человек
Валидировано для: WB
Реактивность подтвержденная: человек
Валидировано для: WB
Polyclonal Antibody to Tumor Necrosis Factor Receptor Superfamily, Member 4 (TNFRSF4) (PAB519Ra01)
Источник (хозяин): кролик
Реактивность подтвержденная: крыса
Валидировано для: ICC, IHC, WB
Реактивность подтвержденная: крыса
Валидировано для: ICC, IHC, WB

