| UNIPROT | Q15465 |
| Иммуноген | RPB831Hu01-Recombinant Hedgehog Homolog, Sonic (SHH) |
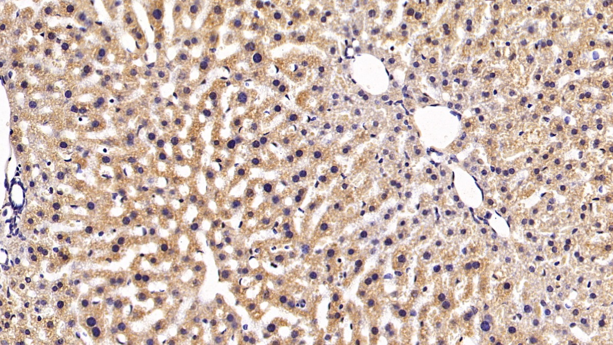
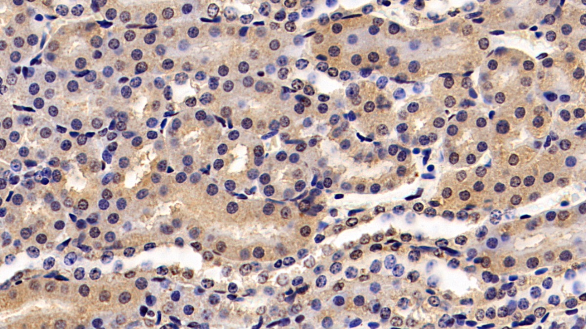
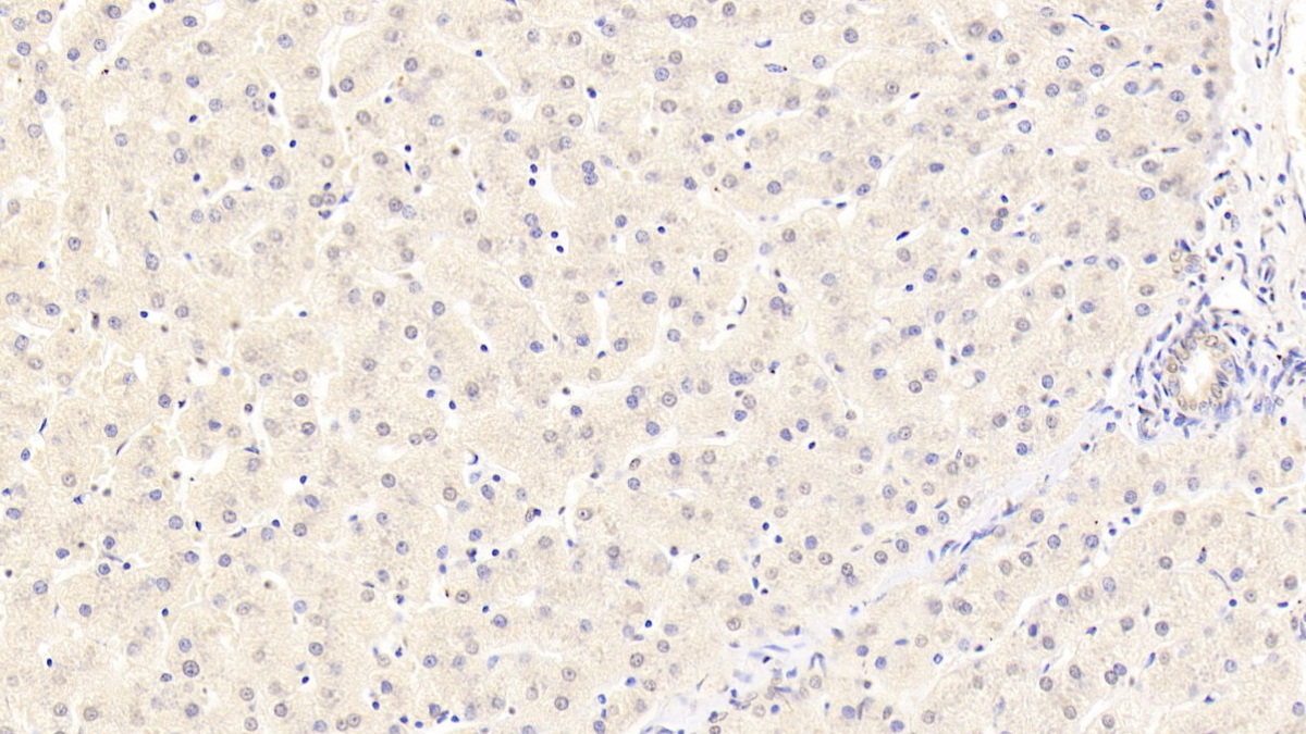
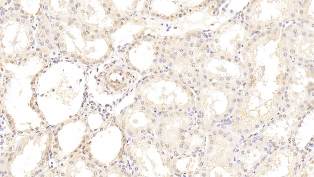
Monoclonal Antibody to Hedgehog Homolog, Sonic (SHH) (MAB831Hu21)
Реактивность подтвержденная:
человек
Источник (хозяин):
мышь
Валидировано для:
IHC
WB
Характеристики
Техническое описание
| Русское название | MAB831Hu21 Моноклональное антитело к SHH (человек) <Cloud-Clone,Китай> |
| Каталожный номер | MAB831Hu21 |
| Название антигена | Hedgehog Homolog, Sonic (SHH) |
| UNIPROT | Q15465 |
| Иммуноген | RPB831Hu01-Recombinant Hedgehog Homolog, Sonic (SHH) |
| Английские синонимы | HHG1, HLP3, HPE3, SMMCI, SHHN, SHH-N |
Реактивность подтвержденная Нужна другая реактивность? |
человек |
| Реактивность предсказываемая | крыса |
| Источник (хозяин) | мышь |
| Изотип | IgG2b Kappa |
| Клональность | моноклональное |
| Клон | D5 |
| Рекомбинантное | нет |
| Готовое к использованию | нет |
| Концентрация | 1 мг/мл |
| Конъюгат | По запросу: HRP, biotin, PerCP, PE, Cy3, FITC, Cy7, Cy5.5, PE-Cy5, PE-Cy7, PerCp-Cy5.5, APC, Cy5, PE-Cy3, PE-Cy5.5, APC-Cy7, Biotin-APC, FITC-Biotin, TRITC, APC-Cy5, AF488, AF594, AF405, AF555, AF700, AF647, AF750 |
| Валидировано для | IHC WB Иммуногистохимия; Вестерн-блоттинг |
| Рекомендуемые разведения | WB: 0.01-2 мкг/мл; IHC: 5-20 мкг/мл; ICC: 5-20 мкг/мл; Оптимальное разведение определяется конечным потребителем |
| Метод очистки | Аффинная хроматография с белком А и белком G |
| Состав буфера | 0.01M PBS, pH7.4, 0.05% Proclin-300, 50% глицерин |
| Условия доставки | термобокс с аккумуляторами холода |
| Условия хранения | Сразу после получения аликвотировать и хранить при -20ºС до 24 месяцев. Для частого использования хранить при +4ºС не более 2 недель. Избегать повторения циклов замерзания/оттаивания |
| Срок хранения | 24 месяца |
| Производитель | Cloud-Clone Corp. |
| Ссылка на страницу товара на сайте производителя | http://www.cloud-clone.com/products/MAB831Hu21.html |
|
Артикул
|
Наименование |
Производитель
|
|---|
|
Артикул
|
Наименование |
Производитель
|
|---|
|
Артикул
|
Наименование |
Производитель
|
|---|
|
Артикул
|
Наименование |
Производитель
|
|---|
|
Артикул
|
Наименование |
Производитель
|
|---|
|
Артикул
|
Наименование |
Производитель
|
|---|
Акции и предложения
Популярные продукты:
Recombinant Human CD16b/FCGR3B Protein, Biotinylated (PKSH030308)
Источник (хозяин): E.coli
Организм: человек
Фрагмент: Met 18-Gly 193
Теги: без тега
Биоактивность: да
Организм: человек
Фрагмент: Met 18-Gly 193
Теги: без тега
Биоактивность: да
Anti-Mouse CCL17/TARC Polyclonal Antibody (PMJ31701)
Источник (хозяин): кролик
Реактивность подтвержденная: мышь
Валидировано для: ELISA, IHC, WB
Реактивность подтвержденная: мышь
Валидировано для: ELISA, IHC, WB
Anti-ESR1/ER-alpha Polyclonal Antibody (PHC03202)
Источник (хозяин): кролик
Реактивность подтвержденная: человек, мышь, крыса
Валидировано для: ELISA, IHC, WB
Реактивность подтвержденная: человек, мышь, крыса
Валидировано для: ELISA, IHC, WB
Recombinant ASFV F778R Protein, C-His (EVV10501)
Источник (хозяин): клетки насекомых
Организм: вирусы
Фрагмент: Met1-Leu778
Теги: C-His
Биоактивность: нет
Организм: вирусы
Фрагмент: Met1-Leu778
Теги: C-His
Биоактивность: нет
Recombinant Glutathione S Transferase Omega 1 (GSTo1) (RPA623Mu02)
Источник (хозяин): E.coli
Организм: мышь
Теги: N-концевой His-Tag
Биоактивность: нет
Организм: мышь
Теги: N-концевой His-Tag
Биоактивность: нет
Monoclonal Antibody to Hedgehog Homolog, Sonic (SHH) (MAB831Hu21)
Источник (хозяин): мышь
Реактивность подтвержденная: человек
Валидировано для: IHC, WB
Реактивность подтвержденная: человек
Валидировано для: IHC, WB

