| UNIPROT | Q15465 |
| Иммуноген | RPB831Hu01-Recombinant Hedgehog Homolog, Sonic (SHH) |
Monoclonal Antibody to Hedgehog Homolog, Sonic (SHH) (MAB831Hu22)
Реактивность подтвержденная:
человек
Источник (хозяин):
мышь
Валидировано для:
IHC
WB
Характеристики
Техническое описание
| Русское название | MAB831Hu22 Моноклональное антитело к SHH (человек) <Cloud-Clone,Китай> |
| Каталожный номер | MAB831Hu22 |
| Название антигена | Hedgehog Homolog, Sonic (SHH) |
| UNIPROT | Q15465 |
| Иммуноген | RPB831Hu01-Recombinant Hedgehog Homolog, Sonic (SHH) |
| Английские синонимы | HHG1, HLP3, HPE3, SMMCI, SHHN, SHH-N |
Реактивность подтвержденная Нужна другая реактивность? |
человек |
| Реактивность предсказываемая | крыса |
| Источник (хозяин) | мышь |
| Изотип | IgG1 Kappa |
| Клональность | моноклональное |
| Клон | C4 |
| Рекомбинантное | нет |
| Готовое к использованию | нет |
| Концентрация | 1 мг/мл |
| Конъюгат | По запросу: HRP, biotin, PerCP, PE, Cy3, FITC, Cy7, Cy5.5, PE-Cy5, PE-Cy7, PerCp-Cy5.5, APC, Cy5, PE-Cy3, PE-Cy5.5, APC-Cy7, Biotin-APC, FITC-Biotin, TRITC, APC-Cy5, AF488, AF594, AF405, AF555, AF700, AF647, AF750 |
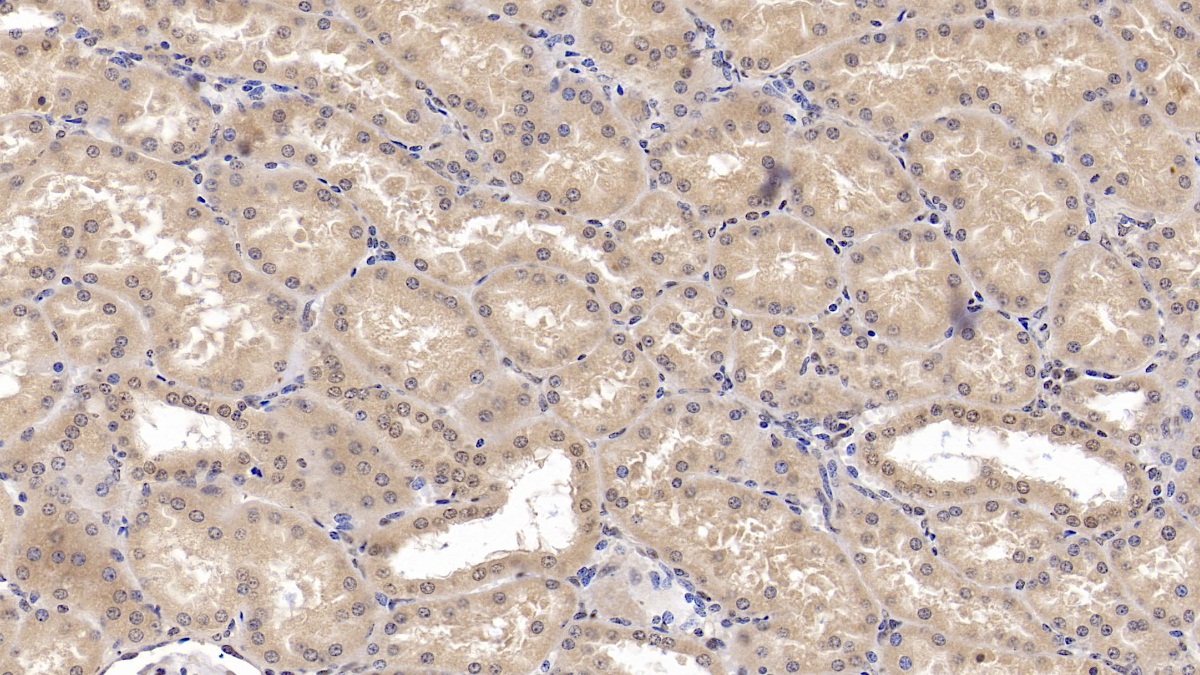
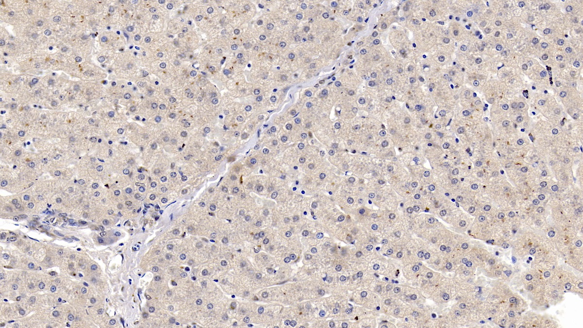
| Валидировано для | IHC WB Иммуногистохимия; Вестерн-блоттинг |
| Рекомендуемые разведения | WB: 0.01-3 мкг/мл; IHC: 5-30 мкг/мл; Оптимальное разведение определяется конечным потребителем |
| Метод очистки | Аффинная хроматография с белком А и белком G |
| Состав буфера | 0.01M PBS, pH7.4, 0.05% Proclin-300, 50% глицерин |
| Условия доставки | термобокс с аккумуляторами холода |
| Условия хранения | Сразу после получения аликвотировать и хранить при -20ºС до 24 месяцев. Для частого использования хранить при +4ºС не более 2 недель. Избегать повторения циклов замерзания/оттаивания |
| Срок хранения | 24 месяца |
| Производитель | Cloud-Clone Corp. |
| Ссылка на страницу товара на сайте производителя | http://www.cloud-clone.com/products/MAB831Hu22.html |
|
Артикул
|
Наименование |
Производитель
|
|---|
|
Артикул
|
Наименование |
Производитель
|
|---|
|
Артикул
|
Наименование |
Производитель
|
|---|
|
Артикул
|
Наименование |
Производитель
|
|---|
|
Артикул
|
Наименование |
Производитель
|
|---|
|
Артикул
|
Наименование |
Производитель
|
|---|
Акции и предложения
Популярные продукты:
Canine 26S protease regulatory subunit 10B ELISA kit (E08P0915)
Организм: собака
Human Fibrinogen gamma chain ELISA kit (E01F0395)
Организм: человек
Human Clusterin ELISA kit (E01C0373)
Организм: человек
Диапазон определения: 10-250 нг/мл
Чувствительность: 1 нг/мл
Диапазон определения: 10-250 нг/мл
Чувствительность: 1 нг/мл
Goat Phospholipase C Gamma 1 ELISA kit (E06P0126)
Организм: коза
Goat β cellulin ELISA kit (E06B0316)
Организм: коза

