| UNIPROT | P09601 |
| Иммуноген | RPA584Hu01-Recombinant Heme Oxygenase 1 (HO1) |
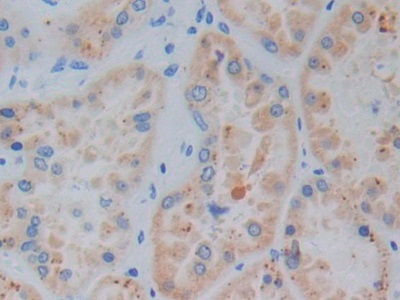
Monoclonal Antibody to Heme Oxygenase 1 (HO1) (MAA584Hu22)
Реактивность подтвержденная:
человек
Источник (хозяин):
мышь
Валидировано для:
IHC
WB
Характеристики
Техническое описание
| Русское название | MAA584Hu22 Моноклональное антитело к HO1 (человек) <Cloud-Clone,Китай> |
| Каталожный номер | MAA584Hu22 |
| Название антигена | Heme Oxygenase 1, Decycling (HO1) |
| UNIPROT | P09601 |
| Иммуноген | RPA584Hu01-Recombinant Heme Oxygenase 1 (HO1) |
| Английские синонимы | HMOX1, Hsp32, HMOX1D |
Реактивность подтвержденная Нужна другая реактивность? |
человек |
| Источник (хозяин) | мышь |
| Изотип | IgG2b Kappa |
| Клональность | моноклональное |
| Клон | A4 |
| Рекомбинантное | нет |
| Готовое к использованию | нет |
| Концентрация | 1 мг/мл |
| Конъюгат | По запросу: HRP, biotin, PerCP, PE, Cy3, FITC, Cy7, Cy5.5, PE-Cy5, PE-Cy7, PerCp-Cy5.5, APC, Cy5, PE-Cy3, PE-Cy5.5, APC-Cy7, Biotin-APC, FITC-Biotin, TRITC, APC-Cy5, AF488, AF594, AF405, AF555, AF700, AF647, AF750 |
| Валидировано для | IHC WB Иммуногистохимия; Вестерн-блоттинг |
| Рекомендуемые разведения | WB: 0.01-5 мкг/мл; IHC: 5-30 мкг/мл; ICC: 5-30 мкг/мл; Оптимальное разведение определяется конечным потребителем |
| Метод очистки | Аффинная хроматография с белком А и белком G |
| Состав буфера | PBS, pH7.4, 0.02% NaN3, 50% глицерин |
| Условия доставки | термобокс с аккумуляторами холода |
| Условия хранения | Сразу после получения аликвотировать и хранить при -20ºС до 24 месяцев. Для частого использования хранить при +4ºС не более 2 недель. Избегать повторения циклов замерзания/оттаивания |
| Срок хранения | 24 месяца |
| Производитель | Cloud-Clone Corp. |
| Ссылка на страницу товара на сайте производителя | http://www.cloud-clone.com/products/MAA584Hu22.html |
|
Артикул
|
Наименование |
Производитель
|
|---|
|
Артикул
|
Наименование |
Производитель
|
|---|
|
Артикул
|
Наименование |
Производитель
|
|---|
|
Артикул
|
Наименование |
Производитель
|
|---|
|
Артикул
|
Наименование |
Производитель
|
|---|
|
Артикул
|
Наименование |
Производитель
|
|---|
|
Артикул
|
Наименование |
Производитель
|
|---|
Акции и предложения
Популярные продукты:
ELISA Kit DIY Materials for Choline Acetyltransferase (ChAT) (KSB929Mu01)
Организм: мышь
Диапазон определения: 1.56-100 нг/мл
Чувствительность: 0.59 нг/мл
Диапазон определения: 1.56-100 нг/мл
Чувствительность: 0.59 нг/мл
Chicken Methylcytosine Dioxygenase TET1 ELISA Kit (E12T0868)
Организм: курица
Rabbit Claspin(CLSPN) ELISA kit (E04C1815)
Организм: кролик
Canine Carbohyde sulfotransferase 3(CHST3) ELISA kit (E08C1710)
Организм: собака

