| UNIPROT | Q99PS8 |
| Иммуноген | EPC534Ra61-Eukaryotic Histidine Rich Glycoprotein (HRG) |
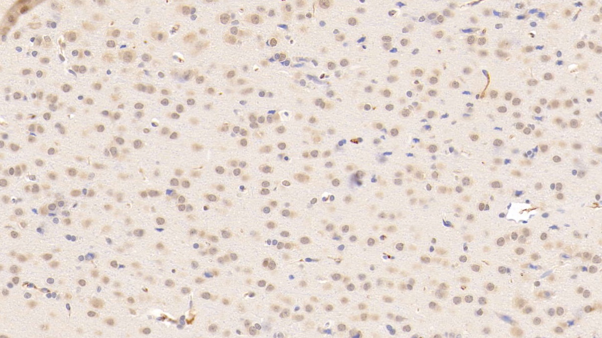
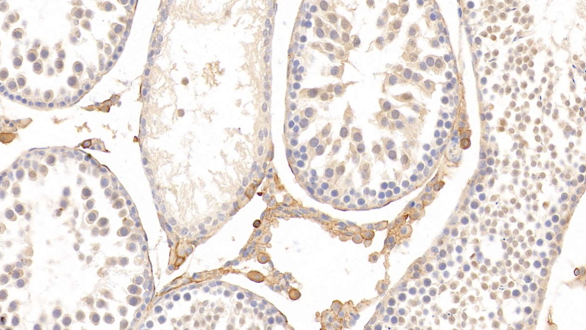
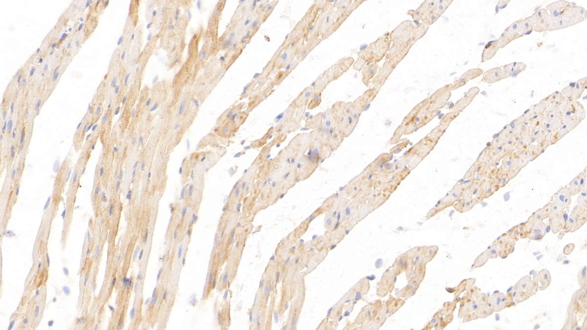
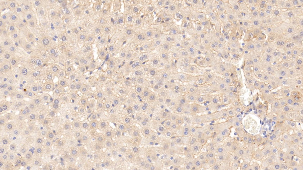
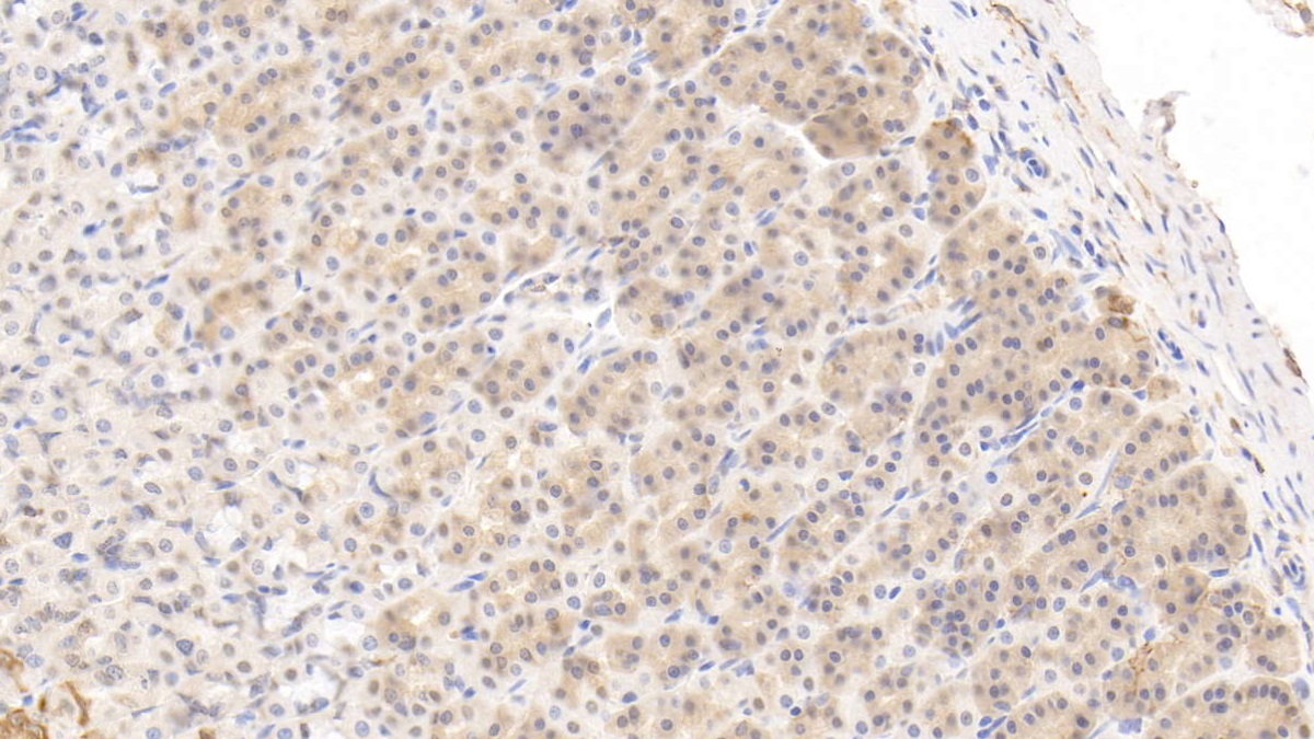
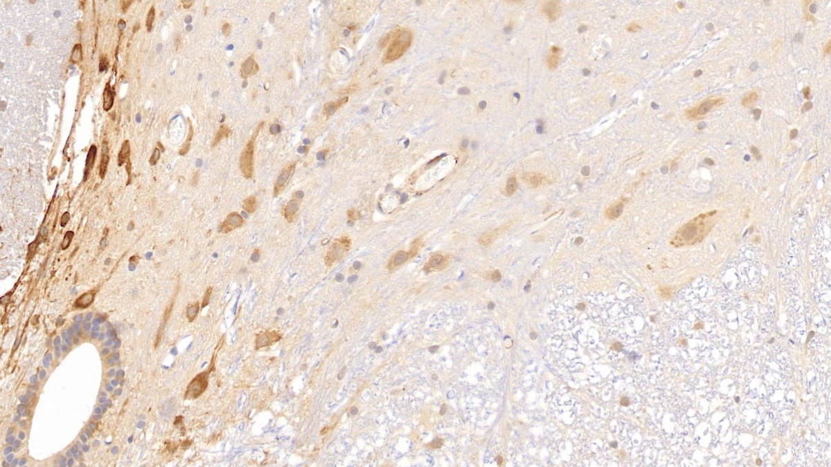
Monoclonal Antibody to Histidine Rich Glycoprotein (HRG) (MAC534Ra22)
Реактивность подтвержденная:
крыса
Источник (хозяин):
мышь
Валидировано для:
IHC
WB
Характеристики
Техническое описание
| Русское название | MAC534Ra22 Моноклональное антитело к HRG (крыса) <Cloud-Clone,Китай> |
| Каталожный номер | MAC534Ra22 |
| Название антигена | Histidine Rich Glycoprotein (HRG) |
| UNIPROT | Q99PS8 |
| Иммуноген | EPC534Ra61-Eukaryotic Histidine Rich Glycoprotein (HRG) |
| Английские синонимы | HPRG, HRGP, Histidine-Proline Rich Glycoprotein, Thrombophilia Due To Elevated HRG |
| Русские синонимы | ГБГ |
Реактивность подтвержденная Нужна другая реактивность? |
крыса |
| Источник (хозяин) | мышь |
| Изотип | IgG2b Kappa |
| Клональность | моноклональное |
| Клон | C10 |
| Рекомбинантное | нет |
| Готовое к использованию | нет |
| Концентрация | 1 мг/мл |
| Конъюгат | По запросу: HRP, biotin, PerCP, PE, Cy3, FITC, Cy7, Cy5.5, PE-Cy5, PE-Cy7, PerCp-Cy5.5, APC, Cy5, PE-Cy3, PE-Cy5.5, APC-Cy7, Biotin-APC, FITC-Biotin, TRITC, APC-Cy5, AF488, AF594, AF405, AF555, AF700, AF647, AF750 |
| Валидировано для | IHC WB Иммуногистохимия; Вестерн-блоттинг |
| Рекомендуемые разведения | WB: 0.5-5 мкг/мл; IHC: 5-50 мкг/мл; ICC: 5-50 мкг/мл; Оптимальное разведение определяется конечным потребителем |
| Метод очистки | Аффинная хроматография с белком А и белком G |
| Состав буфера | 0.01M PBS, pH7.4, 0.05% Proclin-300, 50% глицерин |
| Условия доставки | термобокс с аккумуляторами холода |
| Условия хранения | Сразу после получения аликвотировать и хранить при -20ºС до 24 месяцев. Для частого использования хранить при +4ºС не более 2 недель. Избегать повторения циклов замерзания/оттаивания |
| Срок хранения | 24 месяца |
| Производитель | Cloud-Clone Corp. |
| Ссылка на страницу товара на сайте производителя | http://www.cloud-clone.com/products/MAC534Ra22.html |
|
Артикул
|
Наименование |
Производитель
|
|---|
|
Артикул
|
Наименование |
Производитель
|
|---|
|
Артикул
|
Наименование |
Производитель
|
|---|
Акции и предложения
Популярные продукты:
KDM3B Polyclonal Antibody (E-AB-15146)
Источник (хозяин): кролик
Реактивность подтвержденная: человек, мышь
Валидировано для: IHC
Реактивность подтвержденная: человек, мышь
Валидировано для: IHC
Monoclonal Antibody to Histidine Rich Glycoprotein (HRG) (MAC534Ra22)
Источник (хозяин): мышь
Реактивность подтвержденная: крыса
Валидировано для: IHC, WB
Реактивность подтвержденная: крыса
Валидировано для: IHC, WB
Monoclonal Antibody to Family With Sequence Similarity 20, Member A (FAM20A) (MAK371Hu21)
Источник (хозяин): мышь
Реактивность подтвержденная: человек
Валидировано для: ICC, IHC, WB
Реактивность подтвержденная: человек
Валидировано для: ICC, IHC, WB
ELISA Kit for Alpha-1-Antitrypsin (a1AT) (SEB697Mu)
Организм: мышь
Диапазон определения: 31.2-2000 нг/мл
Чувствительность: 13.7 нг/мл
Диапазон определения: 31.2-2000 нг/мл
Чувствительность: 13.7 нг/мл
Recombinant Thioredoxin-interacting Protein (TXNIP) (RPB162Mu01)
Источник (хозяин): E.coli
Организм: мышь
Фрагмент: Arg30-Glu381
Теги: N-концевые His-Tag и GST-Tag
Биоактивность: нет
Организм: мышь
Фрагмент: Arg30-Glu381
Теги: N-концевые His-Tag и GST-Tag
Биоактивность: нет
OR5D3 Mouse Monoclonal Antibody (BF9376)
Источник (хозяин): мышь
Реактивность подтвержденная: человек, мышь
Валидировано для: WB
Реактивность подтвержденная: человек, мышь
Валидировано для: WB

