| UNIPROT | Q13547 |
| Иммуноген | RPC206Hu01-Recombinant Histone Deacetylase 1 (HDAC1) |
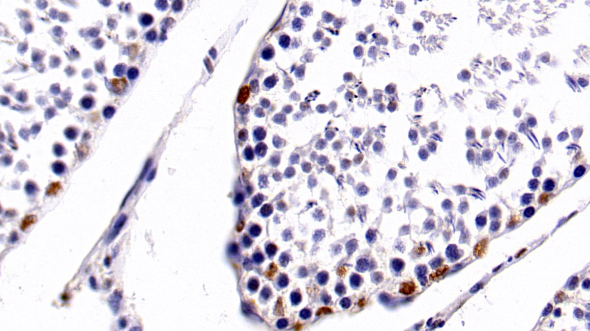
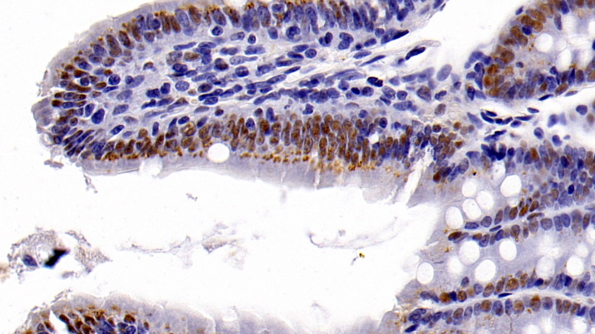
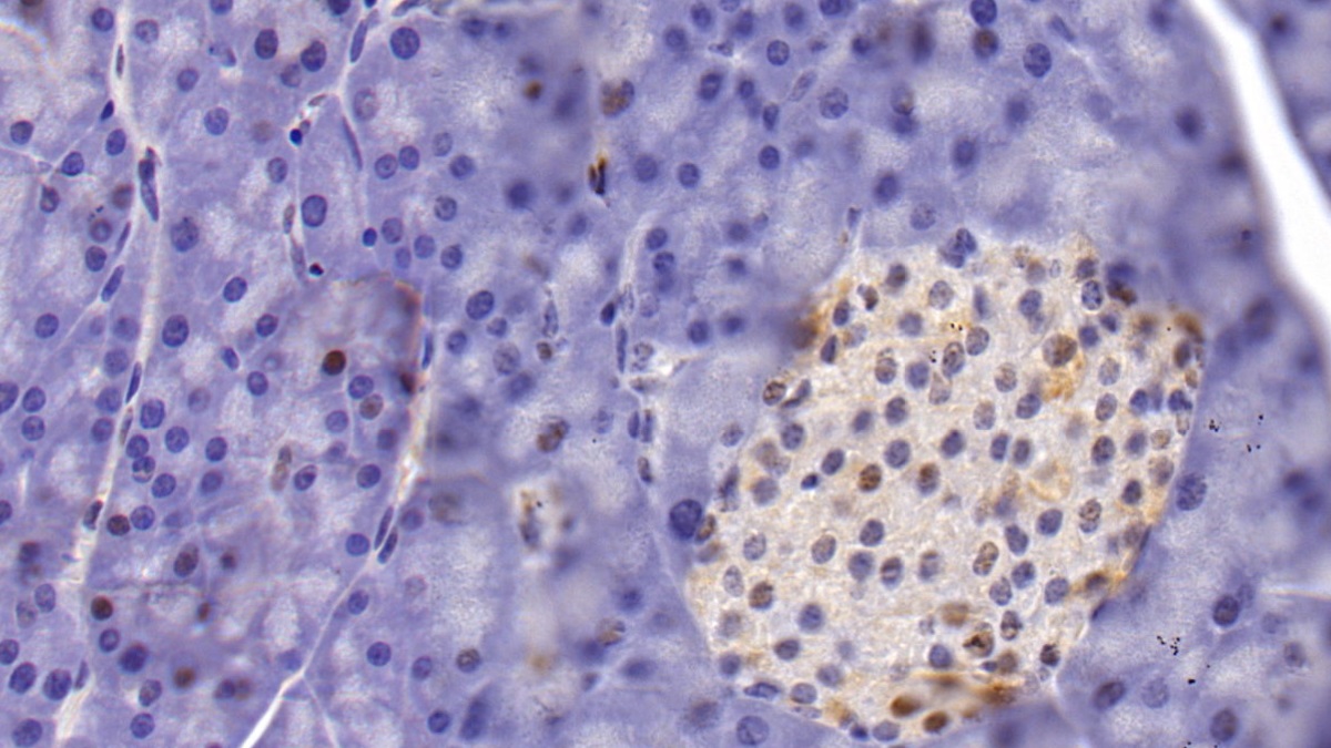
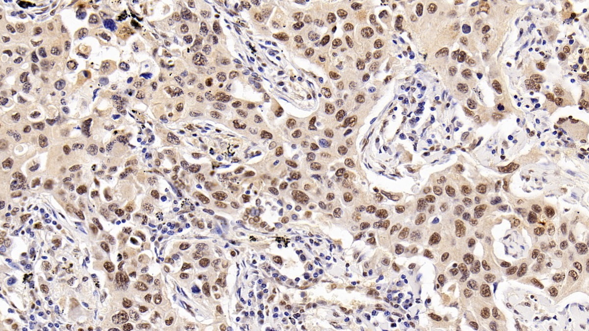
Monoclonal Antibody to Histone Deacetylase 1 (HDAC1) (MAC206Hu22)
Реактивность подтвержденная:
человек
Источник (хозяин):
мышь
Валидировано для:
FCM
IHC
WB
Характеристики
Техническое описание
| Русское название | MAC206Hu22 Моноклональное антитело к HDAC1 (человек) <Cloud-Clone,Китай> |
| Каталожный номер | MAC206Hu22 |
| Название антигена | Histone Deacetylase 1 (HDAC1) |
| UNIPROT | Q13547 |
| Иммуноген | RPC206Hu01-Recombinant Histone Deacetylase 1 (HDAC1) |
| Английские синонимы | HDAC1, GON10, HD1, RPD3, RPD3L1 |
Реактивность подтвержденная Нужна другая реактивность? |
человек |
| Реактивность предсказываемая | мышь, крыса, корова |
| Источник (хозяин) | мышь |
| Изотип | IgG1 Kappa |
| Клональность | моноклональное |
| Клон | E22 |
| Рекомбинантное | нет |
| Готовое к использованию | нет |
| Концентрация | 1 мг/мл |
| Конъюгат | По запросу: HRP, biotin, PerCP, PE, Cy3, FITC, Cy7, Cy5.5, PE-Cy5, PE-Cy7, PerCp-Cy5.5, APC, Cy5, PE-Cy3, PE-Cy5.5, APC-Cy7, Biotin-APC, FITC-Biotin, TRITC, APC-Cy5, AF488, AF594, AF405, AF555, AF700, AF647, AF750 |
| Валидировано для | FCM IHC WB Проточная цитометрия; Иммуногистохимия; Вестерн-блоттинг |
| Рекомендуемые разведения | WB: 0.01-2 мкг/мл; IHC: 5-20 мкг/мл; IF: 5-20 мкг/мл; FCM: 10 мкг/мл; Оптимальное разведение определяется конечным потребителем |
| Метод очистки | Аффинная хроматография с белком А и белком G |
| Состав буфера | 0.01M PBS, pH7.4, 0.05% Proclin-300, 50% глицерин |
| Условия доставки | термобокс с аккумуляторами холода |
| Условия хранения | Сразу после получения аликвотировать и хранить при -20ºС до 24 месяцев. Для частого использования хранить при +4ºС не более 2 недель. Избегать повторения циклов замерзания/оттаивания |
| Срок хранения | 24 месяца |
| Производитель | Cloud-Clone Corp. |
| Ссылка на страницу товара на сайте производителя | http://www.cloud-clone.com/products/MAC206Hu22.html |
|
Артикул
|
Наименование |
Производитель
|
|---|
|
Артикул
|
Наименование |
Производитель
|
|---|
|
Артикул
|
Наименование |
Производитель
|
|---|
|
Артикул
|
Наименование |
Производитель
|
|---|
|
Артикул
|
Наименование |
Производитель
|
|---|
Акции и предложения
Популярные продукты:
ELISA Kit DIY Materials for Dystrophin Associated Glycoprotein 1 (DAG1) (KSC448Mu01)
Организм: мышь
Диапазон определения: 0.156-10 нг/мл
Чувствительность: 0.057 нг/мл
Диапазон определения: 0.156-10 нг/мл
Чувствительность: 0.057 нг/мл
Anti-RRM1 Antibody (R1S53) (RHD60801)
Источник (хозяин): кролик
Реактивность подтвержденная: человек
Валидировано для: IF, IHC, IP, WB
Реактивность подтвержденная: человек
Валидировано для: IF, IHC, IP, WB
UBE2I Polyclonal Antibody (E-AB-19377)
Источник (хозяин): кролик
Реактивность подтвержденная: человек, мышь, крыса
Валидировано для: IHC, WB
Реактивность подтвержденная: человек, мышь, крыса
Валидировано для: IHC, WB
Multiplex Assay Kit for Carboxylesterase 2 (CES2) (LMF282Ra)
Организм: крыса
Диапазон определения: 0.0195-20 нг/мл
Чувствительность: 0.007 нг/мл
Диапазон определения: 0.0195-20 нг/мл
Чувствительность: 0.007 нг/мл
Monoclonal Antibody to Histone Deacetylase 1 (HDAC1) (MAC206Hu22)
Источник (хозяин): мышь
Реактивность подтвержденная: человек
Валидировано для: FCM, IHC, WB
Реактивность подтвержденная: человек
Валидировано для: FCM, IHC, WB
Rabbit Anti-NeuN Antibody (SAA2241) (RHA00601)
Источник (хозяин): кролик
Реактивность подтвержденная: человек, мышь, крыса
Валидировано для: FCM, ICC, IF, IHC, WB
Реактивность подтвержденная: человек, мышь, крыса
Валидировано для: FCM, ICC, IF, IHC, WB

