| UNIPROT | - |
| Иммуноген | NPA544Rb01-Native Immunoglobulin G (IgG) |
Monoclonal Antibody to Immunoglobulin G (IgG) (MAA544Rb27)
Реактивность подтвержденная:
кролик
Источник (хозяин):
мышь
Валидировано для:
IHC
Характеристики
Техническое описание
| Русское название | MAA544Rb27 Моноклональное антитело к IgG (кролик) <Cloud-Clone,Китай> |
| Каталожный номер | MAA544Rb27 |
| Название антигена | Immunoglobulin G (IgG) |
| UNIPROT | - |
| Иммуноген | NPA544Rb01-Native Immunoglobulin G (IgG) |
| Английские синонимы | Ig G |
Реактивность подтвержденная Нужна другая реактивность? |
кролик |
| Источник (хозяин) | мышь |
| Изотип | IgG1 Kappa |
| Клональность | моноклональное |
| Клон | C1 |
| Рекомбинантное | нет |
| Готовое к использованию | нет |
| Концентрация | 1 мг/мл |
| Конъюгат | По запросу: HRP, biotin, PerCP, PE, Cy3, FITC, Cy7, Cy5.5, PE-Cy5, PE-Cy7, PerCp-Cy5.5, APC, Cy5, PE-Cy3, PE-Cy5.5, APC-Cy7, Biotin-APC, FITC-Biotin, TRITC, APC-Cy5, AF488, AF594, AF405, AF555, AF700, AF647, AF750 |
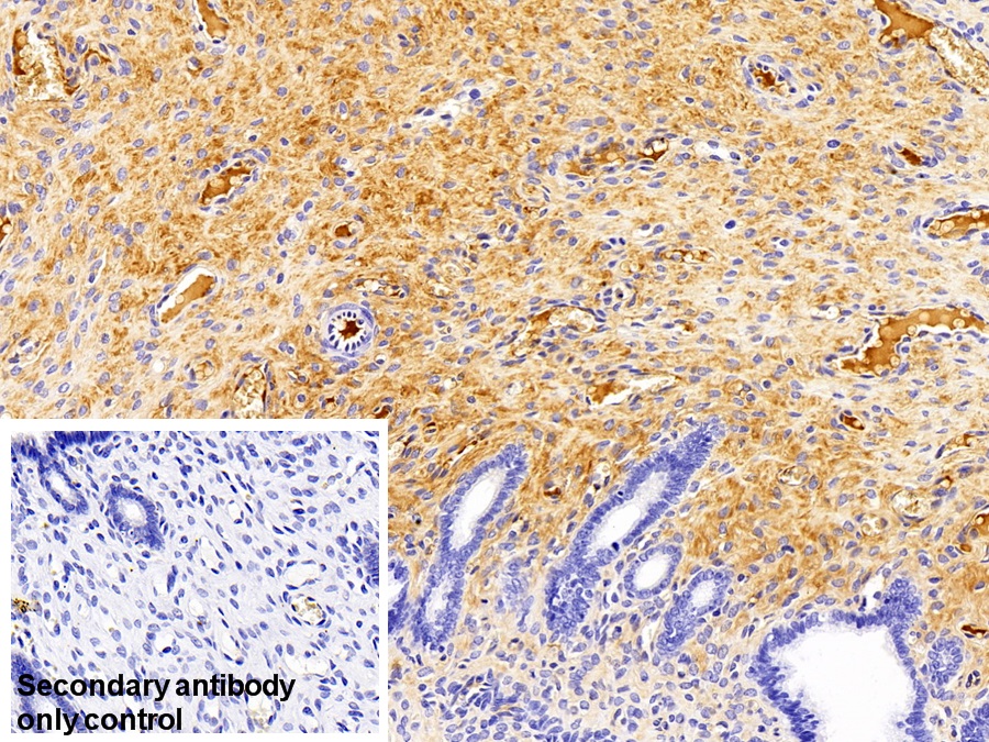
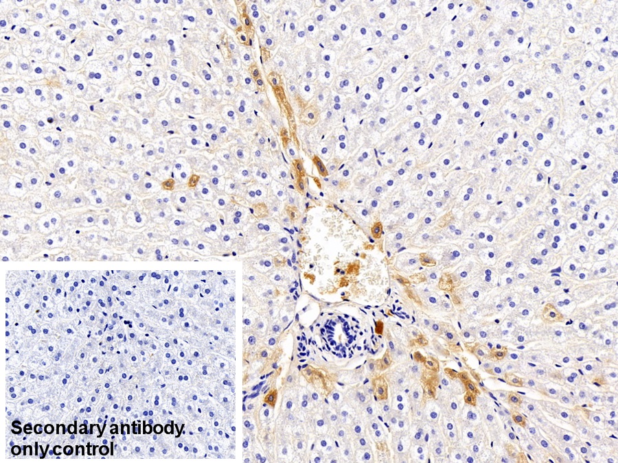
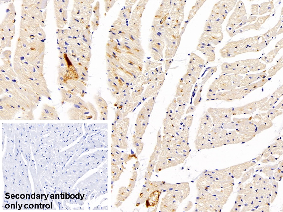
| Валидировано для | IHC Иммуногистохимия |
| Рекомендуемые разведения | WB: 0.2-2 мкг/мл; 1:500-5000; IHC: 5-20 мкг/мл; 1:50-200; ICC: 5-20 мкг/мл; 1:50-200; Оптимальное разведение определяется конечным потребителем |
| Метод очистки | Аффинная хроматография с белком А и белком G |
| Состав буфера | PBS, pH7.4, 0.02% NaN3, 50% глицерин |
| Условия доставки | термобокс с аккумуляторами холода |
| Условия хранения | Сразу после получения аликвотировать и хранить при -20ºС до 24 месяцев. Для частого использования хранить при +4ºС не более 2 недель. Избегать повторения циклов замерзания/оттаивания |
| Срок хранения | 24 месяца |
| Производитель | Cloud-Clone Corp. |
| Ссылка на страницу товара на сайте производителя | http://www.cloud-clone.com/products/MAA544Rb27.html |
|
Артикул
|
Наименование |
Производитель
|
|---|
|
Артикул
|
Наименование |
Производитель
|
|---|
|
Артикул
|
Наименование |
Производитель
|
|---|
|
Артикул
|
Наименование |
Производитель
|
|---|
|
Артикул
|
Наименование |
Производитель
|
|---|
|
Артикул
|
Наименование |
Производитель
|
|---|
|
Артикул
|
Наименование |
Производитель
|
|---|
|
Артикул
|
Наименование |
Производитель
|
|---|
|
Артикул
|
Наименование |
Производитель
|
|---|
|
Артикул
|
Наименование |
Производитель
|
|---|
|
Артикул
|
Наименование |
Производитель
|
|---|
|
Артикул
|
Наименование |
Производитель
|
|---|
|
Артикул
|
Наименование |
Производитель
|
|---|
Акции и предложения
Популярные продукты:
Porcine Histone deacetylases 1 ELISA kit (E07H1403)
Организм: свинья
Porcine Total Bilirubin ELISA kit (E07T0143)
Организм: свинья
Canine Carbohyde sulfotransferase 7(CHST7) ELISA kit (E08C1714)
Организм: собака
Guinea Pig Calcipressin 3(RCAN3) ELISA kit (E05C2418)
Организм: морская свинка
Goat Guanylate kinase(GUK1) ELISA kit (E06G0445)
Организм: коза

