| UNIPROT | P29456 |
| Иммуноген | RPA056Ra01-Recombinant Interleukin 10 (IL10) |
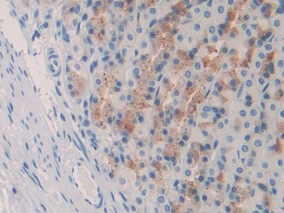
Monoclonal Antibody to Interleukin 10 (IL10) (MAA056Ra21)
Реактивность подтвержденная:
крыса
Источник (хозяин):
мышь
Валидировано для:
IHC
Характеристики
Публикации
Техническое описание
| Русское название | MAA056Ra21 Моноклональное антитело к IL10 (крыса) <Cloud-Clone,Китай> |
| Каталожный номер | MAA056Ra21 |
| Название антигена | Interleukin 10 (IL10) |
| UNIPROT | P29456 |
| Иммуноген | RPA056Ra01-Recombinant Interleukin 10 (IL10) |
| Английские синонимы | CSIF, IL10A, TGIF, Cytokine Synthesis Inhibitory Factor, IL-10 |
| Русские синонимы | ИЛ10, ИЛ-10 |
Реактивность подтвержденная Нужна другая реактивность? |
крыса |
| Источник (хозяин) | мышь |
| Изотип | IgG2a Kappa |
| Клональность | моноклональное |
| Клон | C2 |
| Рекомбинантное | нет |
| Готовое к использованию | нет |
| Концентрация | 1 мг/мл |
| Конъюгат | По запросу: HRP, biotin, PerCP, PE, Cy3, FITC, Cy7, Cy5.5, PE-Cy5, PE-Cy7, PerCp-Cy5.5, APC, Cy5, PE-Cy3, PE-Cy5.5, APC-Cy7, Biotin-APC, FITC-Biotin, TRITC, APC-Cy5, AF488, AF594, AF405, AF555, AF700, AF647, AF750 |
| Валидировано для | IHC Иммуногистохимия |
| Рекомендуемые разведения | WB: 0.01-5 мкг/мл; IHC: 5-50 мкг/мл; ICC: 5-50 мкг/мл; Оптимальное разведение определяется конечным потребителем |
| Метод очистки | Аффинная хроматография с белком А и белком G |
| Состав буфера | 0.01M PBS, pH7.4, 0.05% Proclin-300, 50% глицерин |
| Условия доставки | термобокс с аккумуляторами холода |
| Условия хранения | Сразу после получения аликвотировать и хранить при -20ºС до 24 месяцев. Для частого использования хранить при +4ºС не более 2 недель. Избегать повторения циклов замерзания/оттаивания |
| Срок хранения | 24 месяца |
| Производитель | Cloud-Clone Corp. |
| Ссылка на страницу товара на сайте производителя | http://www.cloud-clone.com/products/MAA056Ra21.html |
|
Артикул
|
Наименование |
Производитель
|
|---|
|
Артикул
|
Наименование |
Производитель
|
|---|
|
Артикул
|
Наименование |
Производитель
|
|---|
|
Артикул
|
Наименование |
Производитель
|
|---|
|
Артикул
|
Наименование |
Производитель
|
|---|
|
Артикул
|
Наименование |
Производитель
|
|---|
|
Артикул
|
Наименование |
Производитель
|
|---|
|
Артикул
|
Наименование |
Производитель
|
|---|
|
Артикул
|
Наименование |
Производитель
|
|---|
|
Артикул
|
Наименование |
Производитель
|
|---|
|
Артикул
|
Наименование |
Производитель
|
|---|
|
Артикул
|
Наименование |
Производитель
|
|---|
|
Артикул
|
Наименование |
Производитель
|
|---|
|
Артикул
|
Наименование |
Производитель
|
|---|
Акции и предложения
Популярные продукты:
ELISA Kit DIY Materials for Furin (FUR) (KSC494Hu01)
Организм: человек
Диапазон определения: 0.156-10 нг/мл
Чувствительность: 0.055 нг/мл
Диапазон определения: 0.156-10 нг/мл
Чувствительность: 0.055 нг/мл
Mouse Phosphoenolpyruvic acid (PEP) ELISA kit (E03P1086)
Организм: мышь
Диапазон определения: 100 нг/мл
Диапазон определения: 100 нг/мл
Porcine Astrocytic phosphoprotein PEA 15(PEA15) ELISA kit (E07A1941)
Организм: свинья
Mouse Copine 2(CPNE2) ELISA kit (E03C2011)
Организм: мышь
Mouse β 2 syntrophin(SNTB2) ELISA kit (E03B0720)
Организм: мышь

