| UNIPROT | P29459 |
| Иммуноген | RPA059Hu01-Recombinant Interleukin 12A (IL12A) |
Monoclonal Antibody to Interleukin 12A (IL12A) (MAA059Hu26)
Реактивность подтвержденная:
человек
Источник (хозяин):
мышь
Валидировано для:
IHC
WB
Характеристики
Техническое описание
| Русское название | MAA059Hu26 Моноклональное антитело к IL12A (человек) <Cloud-Clone,Китай> |
| Каталожный номер | MAA059Hu26 |
| Название антигена | Interleukin 12A (IL12A) |
| UNIPROT | P29459 |
| Иммуноген | RPA059Hu01-Recombinant Interleukin 12A (IL12A) |
| Английские синонимы | p35, IL12-A, CLMF1, NFSK, NKSF1, Natural Killer Cell Stimulatory Factor 1, Cytotoxic Lymphocyte Maturation Factor 1, NF Cell Stimulatory Factor Chain 1, IL-12A |
| Русские синонимы | ИЛ12-А, ИЛ-12А, ИЛ12А |
Реактивность подтвержденная Нужна другая реактивность? |
человек |
| Реактивность предсказываемая | мышь |
| Источник (хозяин) | мышь |
| Изотип | IgG2a Kappa |
| Клональность | моноклональное |
| Клон | C4 |
| Рекомбинантное | нет |
| Готовое к использованию | нет |
| Концентрация | 1 мг/мл |
| Конъюгат | По запросу: HRP, biotin, PerCP, PE, Cy3, FITC, Cy7, Cy5.5, PE-Cy5, PE-Cy7, PerCp-Cy5.5, APC, Cy5, PE-Cy3, PE-Cy5.5, APC-Cy7, Biotin-APC, FITC-Biotin, TRITC, APC-Cy5, AF488, AF594, AF405, AF555, AF700, AF647, AF750 |
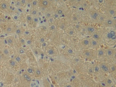
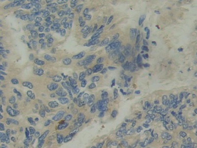
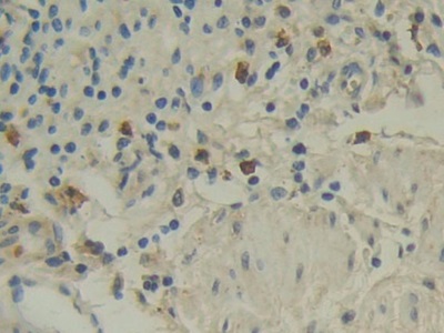
| Валидировано для | IHC WB Иммуногистохимия; Вестерн-блоттинг |
| Рекомендуемые разведения | WB: 0.5- мкг/мл; IHC: 5-30 мкг/мл; ICC: 5-30 мкг/мл; Оптимальное разведение определяется конечным потребителем |
| Метод очистки | Аффинная хроматография с белком А и белком G |
| Состав буфера | 0.01M PBS, pH7.4, 0.05% Proclin-300, 50% глицерин |
| Условия доставки | термобокс с аккумуляторами холода |
| Условия хранения | Сразу после получения аликвотировать и хранить при -20ºС до 24 месяцев. Для частого использования хранить при +4ºС не более 2 недель. Избегать повторения циклов замерзания/оттаивания |
| Срок хранения | 24 месяца |
| Производитель | Cloud-Clone Corp. |
| Ссылка на страницу товара на сайте производителя | http://www.cloud-clone.com/products/MAA059Hu26.html |
|
Артикул
|
Наименование |
Производитель
|
|---|
|
Артикул
|
Наименование |
Производитель
|
|---|
|
Артикул
|
Наименование |
Производитель
|
|---|
|
Артикул
|
Наименование |
Производитель
|
|---|
|
Артикул
|
Наименование |
Производитель
|
|---|
|
Артикул
|
Наименование |
Производитель
|
|---|
|
Артикул
|
Наименование |
Производитель
|
|---|
|
Артикул
|
Наименование |
Производитель
|
|---|
|
Артикул
|
Наименование |
Производитель
|
|---|
|
Артикул
|
Наименование |
Производитель
|
|---|
Акции и предложения
Популярные продукты:
FITC-Rabbit Anti-Human IgG(H+L) (E-AB-1144)
Изотип: IgG
Источник (хозяин): кролик
Реактивность подтвержденная: человек
Валидировано для: FCM
Источник (хозяин): кролик
Реактивность подтвержденная: человек
Валидировано для: FCM
Recombinant Atrial Natriuretic Peptide (ANP) (RPA225Eq01)
Источник (хозяин): E.coli
Организм: лошадь
Теги: N-концевой His-Tag
Биоактивность: нет
Организм: лошадь
Теги: N-концевой His-Tag
Биоактивность: нет
Anti-Myxovirus Resistance 1 (MX1) Polyclonal Antibody (FAL763Mu01)
Источник (хозяин): кролик
Реактивность подтвержденная: мышь
Валидировано для: FCM
Реактивность подтвержденная: мышь
Валидировано для: FCM
Anti-Insulin (INS) Monoclonal Antibody (FAA448Hu02)
Источник (хозяин): мышь
Реактивность подтвержденная: человек
Валидировано для: FCM
Реактивность подтвержденная: человек
Валидировано для: FCM
ELISA Kit DIY Materials for Neurofilament, Heavy Polypeptide (NEFH) (KSE037Hu01)
Организм: человек
Диапазон определения: 15.6-1000 пг/мл
Чувствительность: 5.9 пг/мл
Диапазон определения: 15.6-1000 пг/мл
Чувствительность: 5.9 пг/мл
Sheep Argininosuccinate lyase(ASL) ELISA kit (E14A1722)
Организм: овца

