| UNIPROT | P29460 |
| Иммуноген | RPA058Hu01-Recombinant Interleukin 12B (IL12B) |
Monoclonal Antibody to Interleukin 12B (IL12B) (MAA058Hu24)
Реактивность подтвержденная:
человек
Источник (хозяин):
мышь
Валидировано для:
IHC
WB
Характеристики
Техническое описание
| Русское название | MAA058Hu24 Моноклональное антитело к IL12B (человек) <Cloud-Clone,Китай> |
| Каталожный номер | MAA058Hu24 |
| Название антигена | Interleukin 12B (IL12B) |
| UNIPROT | P29460 |
| Иммуноген | RPA058Hu01-Recombinant Interleukin 12B (IL12B) |
| Английские синонимы | p40, IL12-B, CLMF2, NKSF2, Natural Killer Cell Stimulatory Factor 2, Cytotoxic Lymphocyte Maturation Factor 2, Interleukin 23, P40 Subunit, IL-12B |
| Русские синонимы | ИЛ-12Б, ИЛ12Б, ИЛ12-Б |
Реактивность подтвержденная Нужна другая реактивность? |
человек |
| Реактивность предсказываемая | крыса, свинья |
| Источник (хозяин) | мышь |
| Изотип | IgG2b Kappa |
| Клональность | моноклональное |
| Клон | C2 |
| Рекомбинантное | нет |
| Готовое к использованию | нет |
| Концентрация | 1 мг/мл |
| Конъюгат | По запросу: HRP, biotin, PerCP, PE, Cy3, FITC, Cy7, Cy5.5, PE-Cy5, PE-Cy7, PerCp-Cy5.5, APC, Cy5, PE-Cy3, PE-Cy5.5, APC-Cy7, Biotin-APC, FITC-Biotin, TRITC, APC-Cy5, AF488, AF594, AF405, AF555, AF700, AF647, AF750 |
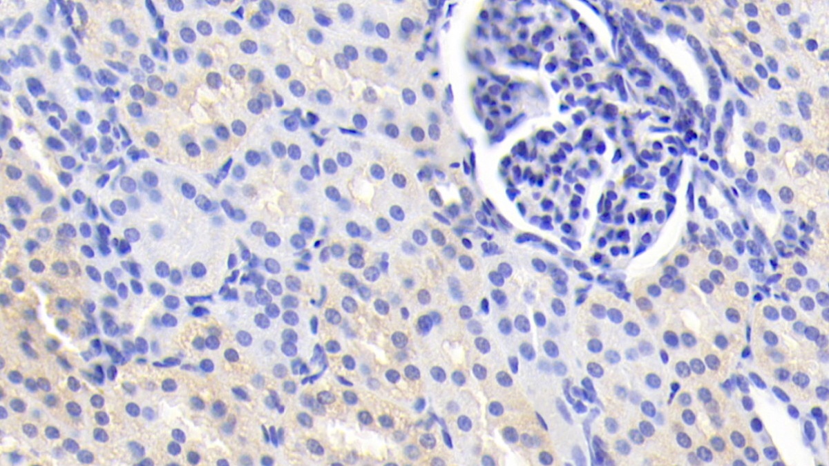
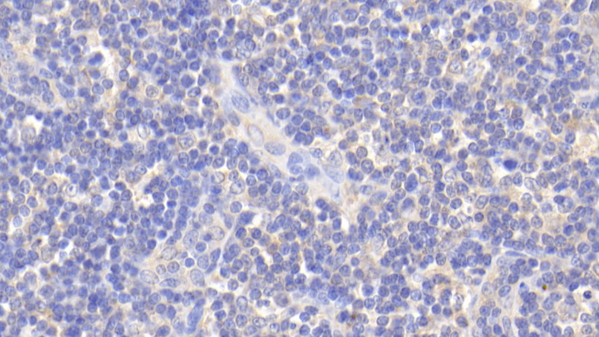
| Валидировано для | IHC WB Иммуногистохимия; Вестерн-блоттинг |
| Рекомендуемые разведения | WB: 0.5-2 мкг/мл; IHC: 5-20 мкг/мл; ICC: 5-20 мкг/мл; Оптимальное разведение определяется конечным потребителем |
| Метод очистки | Аффинная хроматография с белком А и белком G |
| Состав буфера | PBS, pH7.4, 0.02% NaN3, 50% глицерин |
| Условия доставки | термобокс с аккумуляторами холода |
| Условия хранения | Сразу после получения аликвотировать и хранить при -20ºС до 24 месяцев. Для частого использования хранить при +4ºС не более 2 недель. Избегать повторения циклов замерзания/оттаивания |
| Срок хранения | 24 месяца |
| Производитель | Cloud-Clone Corp. |
| Ссылка на страницу товара на сайте производителя | http://www.cloud-clone.com/products/MAA058Hu24.html |
|
Артикул
|
Наименование |
Производитель
|
|---|
|
Артикул
|
Наименование |
Производитель
|
|---|
|
Артикул
|
Наименование |
Производитель
|
|---|
|
Артикул
|
Наименование |
Производитель
|
|---|
|
Артикул
|
Наименование |
Производитель
|
|---|
|
Артикул
|
Наименование |
Производитель
|
|---|
|
Артикул
|
Наименование |
Производитель
|
|---|
|
Артикул
|
Наименование |
Производитель
|
|---|
|
Артикул
|
Наименование |
Производитель
|
|---|
|
Артикул
|
Наименование |
Производитель
|
|---|
|
Артикул
|
Наименование |
Производитель
|
|---|
|
Артикул
|
Наименование |
Производитель
|
|---|
|
Артикул
|
Наименование |
Производитель
|
|---|
Акции и предложения
Популярные продукты:
Anti-Mouse LRIG1 Polyclonal Antibody (PMJ39901)
Источник (хозяин): кролик
Реактивность подтвержденная: мышь
Валидировано для: ELISA, IHC, WB
Реактивность подтвержденная: мышь
Валидировано для: ELISA, IHC, WB
IDH3A Mouse Monoclonal Antibody (BF9532)
Источник (хозяин): мышь
Реактивность подтвержденная: человек
Валидировано для: WB
Реактивность подтвержденная: человек
Валидировано для: WB
ELISA Kit DIY Materials for Cathepsin B (CTSB) (KSC964Hu01)
Организм: человек
Диапазон определения: 0.312-20 нг/мл
Чувствительность: 0.122 нг/мл
Диапазон определения: 0.312-20 нг/мл
Чувствительность: 0.122 нг/мл
Rabbit Malic Acid ELISA Kit (E04M0534)
Организм: кролик

