| UNIPROT | Q14116 |
| Иммуноген | RPA064Hu02-Recombinant Interleukin 18 (IL18) |
Monoclonal Antibody to Interleukin 18 (IL18) (MAA064Hu23)
Реактивность подтвержденная:
человек
Источник (хозяин):
мышь
Валидировано для:
IHC
WB
Характеристики
Техническое описание
| Русское название | MAA064Hu23 Моноклональное антитело к IL18 (человек) <Cloud-Clone,Китай> |
| Каталожный номер | MAA064Hu23 |
| Название антигена | Interleukin 18 (IL18) |
| UNIPROT | Q14116 |
| Иммуноген | RPA064Hu02-Recombinant Interleukin 18 (IL18) |
| Английские синонимы | IGIF, IL-1g, IL1F4, IL1-F4, Interferon-Gamma-Inducing Factor, Interleukin-1 Family Member 4, Iboctadekin, Interleukin-1 Gamma, IL-18 |
| Русские синонимы | ИЛ18, ИЛ-18 |
Реактивность подтвержденная Нужна другая реактивность? |
человек |
| Реактивность предсказываемая | крыса, свинья |
| Источник (хозяин) | мышь |
| Изотип | IgG1 Kappa |
| Клональность | моноклональное |
| Клон | C5 |
| Рекомбинантное | нет |
| Готовое к использованию | нет |
| Концентрация | 1 мг/мл |
| Конъюгат | По запросу: HRP, biotin, PerCP, PE, Cy3, FITC, Cy7, Cy5.5, PE-Cy5, PE-Cy7, PerCp-Cy5.5, APC, Cy5, PE-Cy3, PE-Cy5.5, APC-Cy7, Biotin-APC, FITC-Biotin, TRITC, APC-Cy5, AF488, AF594, AF405, AF555, AF700, AF647, AF750 |
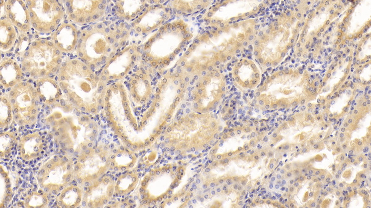
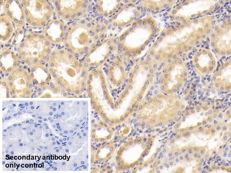
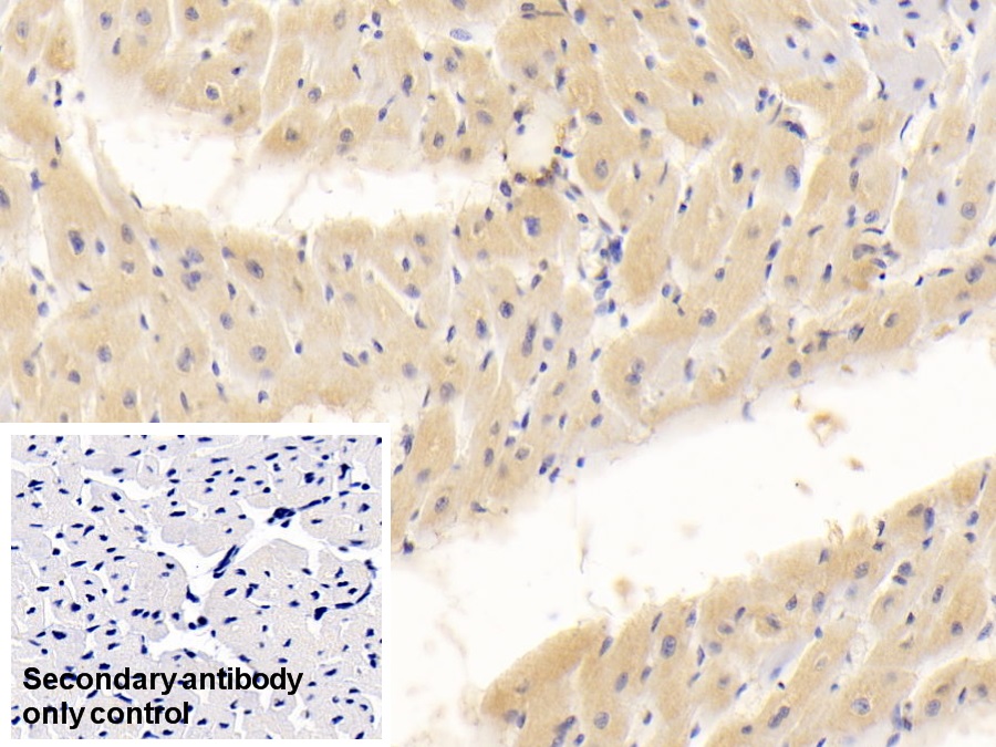
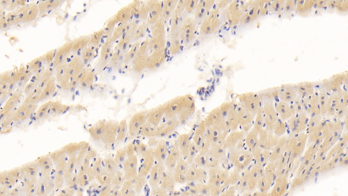
| Валидировано для | IHC WB Иммуногистохимия; Вестерн-блоттинг |
| Рекомендуемые разведения | WB: 0.5-2 мкг/мл; IHC: 5-20 мкг/мл; ICC: 5-20 мкг/мл; Оптимальное разведение определяется конечным потребителем |
| Метод очистки | Аффинная хроматография с белком А и белком G |
| Состав буфера | 0.01M PBS, pH7.4, 0.05% Proclin-300, 50% глицерин |
| Условия доставки | термобокс с аккумуляторами холода |
| Условия хранения | Сразу после получения аликвотировать и хранить при -20ºС до 24 месяцев. Для частого использования хранить при +4ºС не более 2 недель. Избегать повторения циклов замерзания/оттаивания |
| Срок хранения | 24 месяца |
| Производитель | Cloud-Clone Corp. |
| Ссылка на страницу товара на сайте производителя | http://www.cloud-clone.com/products/MAA064Hu23.html |
|
Артикул
|
Наименование |
Производитель
|
|---|
|
Артикул
|
Наименование |
Производитель
|
|---|
|
Артикул
|
Наименование |
Производитель
|
|---|
|
Артикул
|
Наименование |
Производитель
|
|---|
|
Артикул
|
Наименование |
Производитель
|
|---|
|
Артикул
|
Наименование |
Производитель
|
|---|
|
Артикул
|
Наименование |
Производитель
|
|---|
|
Артикул
|
Наименование |
Производитель
|
|---|
|
Артикул
|
Наименование |
Производитель
|
|---|
|
Артикул
|
Наименование |
Производитель
|
|---|
|
Артикул
|
Наименование |
Производитель
|
|---|
Акции и предложения
Популярные продукты:
ELISA Kit DIY Materials for Huntingtin (HTT) (KSH922Hu01)
Организм: человек
Диапазон определения: 0.156-10 нг/мл
Чувствительность: 0.063 нг/мл
Диапазон определения: 0.156-10 нг/мл
Чувствительность: 0.063 нг/мл
ELISA Kit for Glucocerebrosidase (GBA) (SEC511Mu)
Организм: мышь
Диапазон определения: 0.312-20 нг/мл
Чувствительность: 0.59 нг/мл
Диапазон определения: 0.312-20 нг/мл
Чувствительность: 0.59 нг/мл
Bovine B cell lymphoma 6 protein(BCL6) ELISA kit (E11B0770)
Организм: корова
Canine B cell lymphoma 6 protein(BCL6) ELISA kit (E08B0770)
Организм: собака

