| UNIPROT | P16598 |
| Иммуноген | RPA071Ra01-Recombinant Interleukin 1 Alpha (IL1a) |
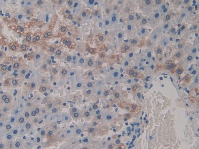
Monoclonal Antibody to Interleukin 1 Alpha (IL1a) (MAA071Ra29)
Реактивность подтвержденная:
крыса
Источник (хозяин):
мышь
Валидировано для:
IHC
WB
Характеристики
Техническое описание
| Русское название | MAA071Ra29 Моноклональное антитело к IL1a (крыса) <Cloud-Clone,Китай> |
| Каталожный номер | MAA071Ra29 |
| Название антигена | Interleukin 1 Alpha (IL1a) |
| UNIPROT | P16598 |
| Иммуноген | RPA071Ra01-Recombinant Interleukin 1 Alpha (IL1a) |
| Английские синонимы | IL1-A, IL-1α, IL1F1, Preinterleukin 1 Alpha, Hematopoietin-1, Pro-Interleukin-1-Alpha, Interleukin-1 Family Member 1, Interleukin 1, Interleukin 1A, IL-1A |
| Русские синонимы | ИЛ1 альфа, ИЛ-1 альфа |
Реактивность подтвержденная Нужна другая реактивность? |
крыса |
| Источник (хозяин) | мышь |
| Изотип | IgG2b Kappa |
| Клональность | моноклональное |
| Клон | C7 |
| Рекомбинантное | нет |
| Готовое к использованию | нет |
| Концентрация | 1 мг/мл |
| Конъюгат | По запросу: HRP, biotin, PerCP, PE, Cy3, FITC, Cy7, Cy5.5, PE-Cy5, PE-Cy7, PerCp-Cy5.5, APC, Cy5, PE-Cy3, PE-Cy5.5, APC-Cy7, Biotin-APC, FITC-Biotin, TRITC, APC-Cy5, AF488, AF594, AF405, AF555, AF700, AF647, AF750 |
| Валидировано для | IHC WB Иммуногистохимия; Вестерн-блоттинг |
| Рекомендуемые разведения | WB: 0.5-3 мкг/мл; IHC: 5-30 мкг/мл; ICC: 5-30 мкг/мл; Оптимальное разведение определяется конечным потребителем |
| Метод очистки | Аффинная хроматография с белком А и белком G |
| Состав буфера | PBS, pH7.4, 0.02% NaN3, 50% глицерин |
| Условия доставки | термобокс с аккумуляторами холода |
| Условия хранения | Сразу после получения аликвотировать и хранить при -20ºС до 24 месяцев. Для частого использования хранить при +4ºС не более 2 недель. Избегать повторения циклов замерзания/оттаивания |
| Срок хранения | 24 месяца |
| Производитель | Cloud-Clone Corp. |
| Ссылка на страницу товара на сайте производителя | http://www.cloud-clone.com/products/MAA071Ra29.html |
|
Артикул
|
Наименование |
Производитель
|
|---|
|
Артикул
|
Наименование |
Производитель
|
|---|
|
Артикул
|
Наименование |
Производитель
|
|---|
|
Артикул
|
Наименование |
Производитель
|
|---|
|
Артикул
|
Наименование |
Производитель
|
|---|
|
Артикул
|
Наименование |
Производитель
|
|---|
|
Артикул
|
Наименование |
Производитель
|
|---|
|
Артикул
|
Наименование |
Производитель
|
|---|
|
Артикул
|
Наименование |
Производитель
|
|---|
|
Артикул
|
Наименование |
Производитель
|
|---|
|
Артикул
|
Наименование |
Производитель
|
|---|
|
Артикул
|
Наименование |
Производитель
|
|---|
Акции и предложения
Популярные продукты:
Chicken Angiopoietin 4 ELISA kit (E12A0637)
Организм: курица
Goat Angiopoietin 4 ELISA kit (E06A0637)
Организм: коза
Guinea Pig Angiopoietin 4 ELISA kit (E05A0637)
Организм: морская свинка
Guinea Pig A Disintegrin And Metalloprotease 15,ADAM15 ELISA Kit (E05A1243)
Организм: морская свинка
Monkey Acetyl coenzyme A transporter 1(SLC33A1) ELISA kit (E09A1980)
Организм: обезьяна

