| UNIPROT | Q9JI24 |
| Иммуноген | RPC064Ra01-Recombinant Interleukin 24 (IL24) |
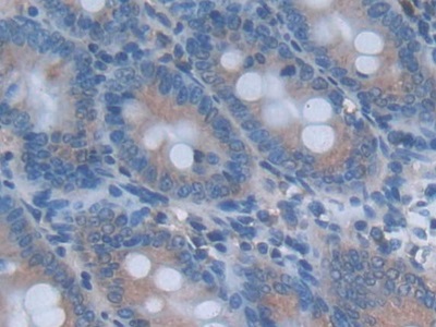
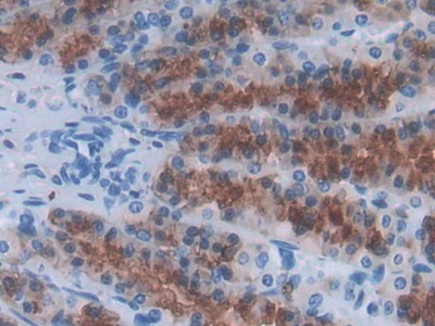
Monoclonal Antibody to Interleukin 24 (IL24) (MAC064Ra23)
Реактивность подтвержденная:
крыса
Источник (хозяин):
мышь
Валидировано для:
IHC
WB
Характеристики
Техническое описание
| Русское название | MAC064Ra23 Моноклональное антитело к IL24 (крыса) <Cloud-Clone,Китай> |
| Каталожный номер | MAC064Ra23 |
| Название антигена | Interleukin 24 (IL24) |
| UNIPROT | Q9JI24 |
| Иммуноген | RPC064Ra01-Recombinant Interleukin 24 (IL24) |
| Английские синонимы | C49A, FISP, IL10B, MDA7, Mob-5, ST16, Mda-7, Melanoma Differentiation Association Protein 7, Suppression Of Tumorigenicity 16, IL-24 |
| Русские синонимы | ИЛ24, ИЛ-24 |
Реактивность подтвержденная Нужна другая реактивность? |
крыса |
| Источник (хозяин) | мышь |
| Изотип | IgG2b Kappa |
| Клональность | моноклональное |
| Клон | C6 |
| Рекомбинантное | нет |
| Готовое к использованию | нет |
| Концентрация | 1 мг/мл |
| Конъюгат | По запросу: HRP, biotin, PerCP, PE, Cy3, FITC, Cy7, Cy5.5, PE-Cy5, PE-Cy7, PerCp-Cy5.5, APC, Cy5, PE-Cy3, PE-Cy5.5, APC-Cy7, Biotin-APC, FITC-Biotin, TRITC, APC-Cy5, AF488, AF594, AF405, AF555, AF700, AF647, AF750 |
| Валидировано для | IHC WB Иммуногистохимия; Вестерн-блоттинг |
| Рекомендуемые разведения | WB: 0.5-2 мкг/мл; IHC: 5-20 мкг/мл; ICC: 5-20 мкг/мл; Оптимальное разведение определяется конечным потребителем |
| Метод очистки | Аффинная хроматография с белком А и белком G |
| Состав буфера | 0.01M PBS, pH7.4, 0.05% Proclin-300, 50% глицерин |
| Условия доставки | термобокс с аккумуляторами холода |
| Условия хранения | Сразу после получения аликвотировать и хранить при -20ºС до 24 месяцев. Для частого использования хранить при +4ºС не более 2 недель. Избегать повторения циклов замерзания/оттаивания |
| Срок хранения | 24 месяца |
| Производитель | Cloud-Clone Corp. |
| Ссылка на страницу товара на сайте производителя | http://www.cloud-clone.com/products/MAC064Ra23.html |
|
Артикул
|
Наименование |
Производитель
|
|---|
|
Артикул
|
Наименование |
Производитель
|
|---|
|
Артикул
|
Наименование |
Производитель
|
|---|
|
Артикул
|
Наименование |
Производитель
|
|---|
|
Артикул
|
Наименование |
Производитель
|
|---|
Акции и предложения
Популярные продукты:
Rabbit E Cadherin ELISA kit (E04E0122)
Организм: кролик
Recombinant Human NEDD8 Protein (His Tag, SUMO Tag) (PKSH032791)
Источник (хозяин): E.coli
Организм: человек
Фрагмент: Met 1-Gly76
Теги: N-His-SUMO
Биоактивность: нет
Организм: человек
Фрагмент: Met 1-Gly76
Теги: N-His-SUMO
Биоактивность: нет
Recombinant Human IL24 Protein, N-His (YHG37001)
Источник (хозяин): E.coli
Организм: человек
Фрагмент: Gln52-Leu206
Теги: N-His
Биоактивность: нет
Организм: человек
Фрагмент: Gln52-Leu206
Теги: N-His
Биоактивность: нет
Recombinant Human IL24 Protein, C-His (Active) (AHG37001)
Источник (хозяин): клетки млекопитающих
Организм: человек
Фрагмент: Gln53-Leu207
Теги: C-His
Биоактивность: да
Организм: человек
Фрагмент: Gln53-Leu207
Теги: C-His
Биоактивность: да
Monoclonal Antibody to Interleukin 24 (IL24) (MAC064Ra25)
Источник (хозяин): мышь
Реактивность подтвержденная: крыса
Валидировано для: WB
Реактивность подтвержденная: крыса
Валидировано для: WB
Monoclonal Antibody to Interleukin 24 (IL24) (MAC064Ra24)
Источник (хозяин): мышь
Реактивность подтвержденная: крыса
Валидировано для: IHC, WB
Реактивность подтвержденная: крыса
Валидировано для: IHC, WB

