| UNIPROT | Q8IZJ0 |
| Иммуноген | RPB689Hu01-Recombinant Interleukin 28A (IL28A) |
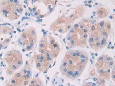
Monoclonal Antibody to Interleukin 28A (IL28A) (MAB689Hu21)
Реактивность подтвержденная:
человек
Источник (хозяин):
мышь
Валидировано для:
IHC
Характеристики
Техническое описание
| Русское название | MAB689Hu21 Моноклональное антитело к IL28A (человек) <Cloud-Clone,Китай> |
| Каталожный номер | MAB689Hu21 |
| Название антигена | Interleukin 28A (IL28A) |
| UNIPROT | Q8IZJ0 |
| Иммуноген | RPB689Hu01-Recombinant Interleukin 28A (IL28A) |
| Английские синонимы | IFNL2, Interferon,Lambda 2, Cytokine Zcyto20, IL-28A, IL28-A |
| Русские синонимы | ИЛ28, ИЛ-28 |
Реактивность подтвержденная Нужна другая реактивность? |
человек |
| Источник (хозяин) | мышь |
| Изотип | IgG2b Kappa |
| Клональность | моноклональное |
| Клон | C11 |
| Рекомбинантное | нет |
| Готовое к использованию | нет |
| Концентрация | 1 мг/мл |
| Конъюгат | По запросу: HRP, biotin, PerCP, PE, Cy3, FITC, Cy7, Cy5.5, PE-Cy5, PE-Cy7, PerCp-Cy5.5, APC, Cy5, PE-Cy3, PE-Cy5.5, APC-Cy7, Biotin-APC, FITC-Biotin, TRITC, APC-Cy5, AF488, AF594, AF405, AF555, AF700, AF647, AF750 |
| Валидировано для | IHC Иммуногистохимия |
| Рекомендуемые разведения | WB: 0.01-2 мкг/мл; IHC: 5-30 мкг/мл; Оптимальное разведение определяется конечным потребителем |
| Метод очистки | Аффинная хроматография с белком А и белком G |
| Состав буфера | 0.01M PBS, pH7.4, 0.05% Proclin-300, 50% глицерин |
| Условия доставки | термобокс с аккумуляторами холода |
| Условия хранения | Сразу после получения аликвотировать и хранить при -20ºС до 24 месяцев. Для частого использования хранить при +4ºС не более 2 недель. Избегать повторения циклов замерзания/оттаивания |
| Срок хранения | 24 месяца |
| Производитель | Cloud-Clone Corp. |
| Ссылка на страницу товара на сайте производителя | http://www.cloud-clone.com/products/MAB689Hu21.html |
|
Артикул
|
Наименование |
Производитель
|
|---|
|
Артикул
|
Наименование |
Производитель
|
|---|
Акции и предложения
Популярные продукты:
ELISA Kit for Anti-Growth Hormone Antibody (Anti-GH) (AEA044Hu)
Организм: человек
Диапазон определения: 3.12-200 нг/мл
Чувствительность: 1.12 нг/мл
Диапазон определения: 3.12-200 нг/мл
Чувствительность: 1.12 нг/мл
ELISA Kit DIY Materials for Deoxyhypusine Synthase (DHPS) (KSC900Hu01)
Организм: человек
Диапазон определения: 0.156-10 нг/мл
Чувствительность: 0.055 нг/мл
Диапазон определения: 0.156-10 нг/мл
Чувствительность: 0.055 нг/мл
Sheep Dihydrofolate reductase(DHFR) ELISA kit (E14D0284)
Организм: овца
Porcine AP 3 complex subunit mu 1(AP3M1) ELISA kit (E07A1571)
Организм: свинья

