| UNIPROT | Q8IU54 |
| Иммуноген | RPC029Hu01-Recombinant Interleukin 29 (IL29) |
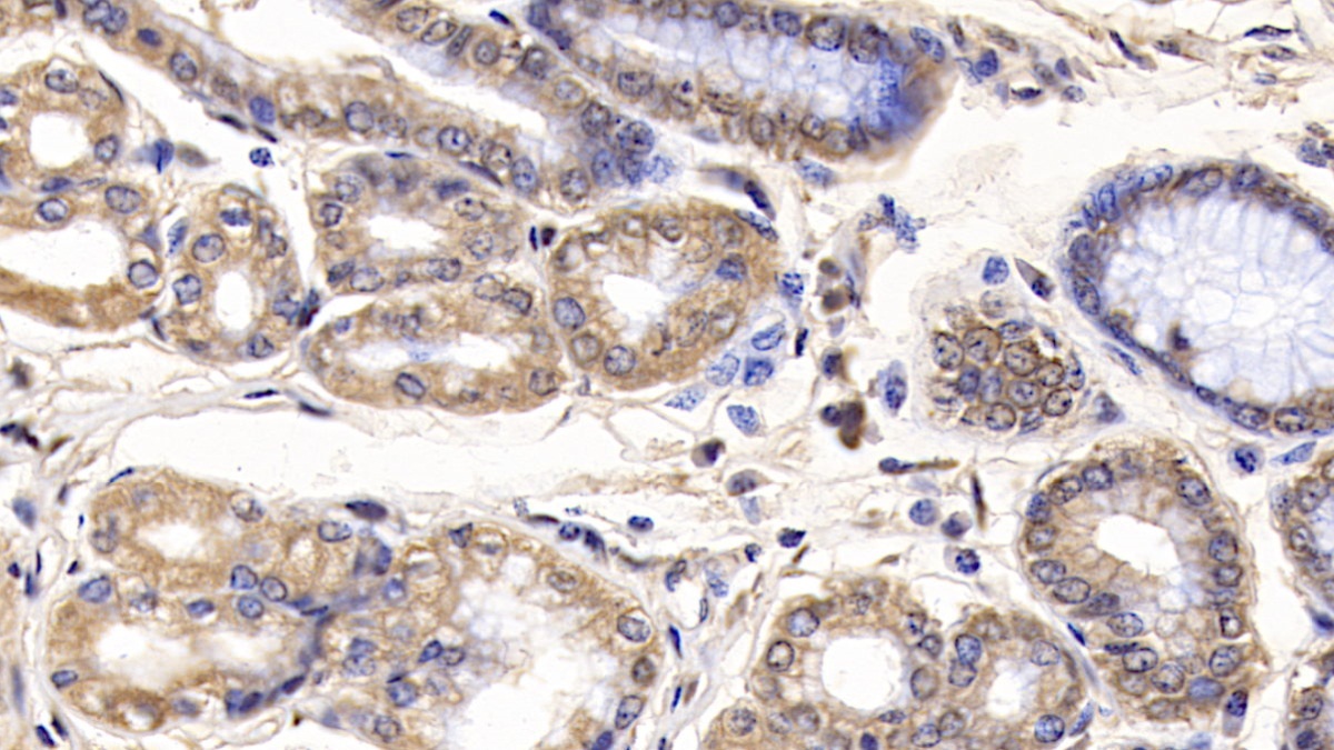
Monoclonal Antibody to Interleukin 29 (IL29) (MAC029Hu21)
Реактивность подтвержденная:
человек
Источник (хозяин):
мышь
Валидировано для:
IHC
Характеристики
Техническое описание
| Русское название | MAC029Hu21 Моноклональное антитело к IL29 (человек) <Cloud-Clone,Китай> |
| Каталожный номер | MAC029Hu21 |
| Название антигена | Interleukin 29 (IL29) |
| UNIPROT | Q8IU54 |
| Иммуноген | RPC029Hu01-Recombinant Interleukin 29 (IL29) |
| Английские синонимы | FNL1, Interferon,Lambda 1, Cytokine Zcyto21k, IL-29 |
| Русские синонимы | ИЛ29, ИЛ-29 |
Реактивность подтвержденная Нужна другая реактивность? |
человек |
| Реактивность предсказываемая | свинья |
| Источник (хозяин) | мышь |
| Изотип | IgG1 Kappa |
| Клональность | моноклональное |
| Клон | C11 |
| Рекомбинантное | нет |
| Готовое к использованию | нет |
| Концентрация | 1 мг/мл |
| Конъюгат | По запросу: HRP, biotin, PerCP, PE, Cy3, FITC, Cy7, Cy5.5, PE-Cy5, PE-Cy7, PerCp-Cy5.5, APC, Cy5, PE-Cy3, PE-Cy5.5, APC-Cy7, Biotin-APC, FITC-Biotin, TRITC, APC-Cy5, AF488, AF594, AF405, AF555, AF700, AF647, AF750 |
| Валидировано для | IHC Иммуногистохимия |
| Рекомендуемые разведения | WB: 0.5-2 мкг/мл; IHC: 5-20 мкг/мл; ICC: 5-20 мкг/мл; Оптимальное разведение определяется конечным потребителем |
| Метод очистки | Аффинная хроматография с белком А и белком G |
| Состав буфера | 0.01M PBS, pH7.4, 0.05% Proclin-300, 50% глицерин |
| Условия доставки | термобокс с аккумуляторами холода |
| Условия хранения | Сразу после получения аликвотировать и хранить при -20ºС до 24 месяцев. Для частого использования хранить при +4ºС не более 2 недель. Избегать повторения циклов замерзания/оттаивания |
| Срок хранения | 24 месяца |
| Производитель | Cloud-Clone Corp. |
| Ссылка на страницу товара на сайте производителя | http://www.cloud-clone.com/products/MAC029Hu21.html |
|
Артикул
|
Наименование |
Производитель
|
|---|
|
Артикул
|
Наименование |
Производитель
|
|---|
Акции и предложения
Популярные продукты:
Monkey DNA Methyltransferase 1 ELISA kit (E09D0320)
Организм: обезьяна
Rabbit Desmoplakin ELISA kit (E04D0059)
Организм: кролик
Sheep Interleukin 29 ELISA kit (E14I0029)
Организм: овца
Bovine Interleukin 29 ELISA kit (E11I0029)
Организм: корова

