| UNIPROT | O95760 |
| Иммуноген | RPB980Hu01-Recombinant Interleukin 33 (IL33) |
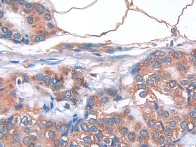
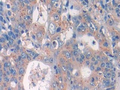
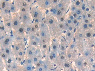
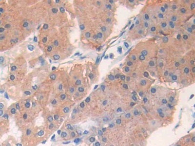
Monoclonal Antibody to Interleukin 33 (IL33) (MAB980Hu22)
Реактивность подтвержденная:
человек
Источник (хозяин):
мышь
Валидировано для:
IHC
WB
Характеристики
Техническое описание
| Русское название | MAB980Hu22 Моноклональное антитело к IL33 (человек) <Cloud-Clone,Китай> |
| Каталожный номер | MAB980Hu22 |
| Название антигена | Interleukin 33 (IL33) |
| UNIPROT | O95760 |
| Иммуноген | RPB980Hu01-Recombinant Interleukin 33 (IL33) |
| Английские синонимы | DV27, C9ORF26, IL1F11, NFHEV, Interleukin-1 Family, Member 11, Nuclear factor from high endothelial venules, IL-33 |
| Русские синонимы | ИЛ33, ИЛ-33 |
Реактивность подтвержденная Нужна другая реактивность? |
человек |
| Реактивность предсказываемая | крыса |
| Источник (хозяин) | мышь |
| Изотип | IgG2a Kappa |
| Клональность | моноклональное |
| Клон | C11 |
| Рекомбинантное | нет |
| Готовое к использованию | нет |
| Концентрация | 1 мг/мл |
| Конъюгат | По запросу: HRP, biotin, PerCP, PE, Cy3, FITC, Cy7, Cy5.5, PE-Cy5, PE-Cy7, PerCp-Cy5.5, APC, Cy5, PE-Cy3, PE-Cy5.5, APC-Cy7, Biotin-APC, FITC-Biotin, TRITC, APC-Cy5, AF488, AF594, AF405, AF555, AF700, AF647, AF750 |
| Валидировано для | IHC WB Иммуногистохимия; Вестерн-блоттинг |
| Рекомендуемые разведения | WB: 0.01-3 мкг/мл; IHC: 5-30 мкг/мл; Оптимальное разведение определяется конечным потребителем |
| Метод очистки | Аффинная хроматография с белком А и белком G |
| Состав буфера | PBS, pH7.4, 0.02% NaN3, 50% глицерин |
| Условия доставки | термобокс с аккумуляторами холода |
| Условия хранения | Сразу после получения аликвотировать и хранить при -20ºС до 24 месяцев. Для частого использования хранить при +4ºС не более 2 недель. Избегать повторения циклов замерзания/оттаивания |
| Срок хранения | 24 месяца |
| Производитель | Cloud-Clone Corp. |
| Ссылка на страницу товара на сайте производителя | http://www.cloud-clone.com/products/MAB980Hu22.html |
|
Артикул
|
Наименование |
Производитель
|
|---|
|
Артикул
|
Наименование |
Производитель
|
|---|
|
Артикул
|
Наименование |
Производитель
|
|---|
|
Артикул
|
Наименование |
Производитель
|
|---|
|
Артикул
|
Наименование |
Производитель
|
|---|
|
Артикул
|
Наименование |
Производитель
|
|---|
Акции и предложения
Популярные продукты:
Anti-Human INS/Insulin Antibody (SAb2439) (RHB94005)
Источник (хозяин): человек
Реактивность подтвержденная: человек
Валидировано для: ELISA
Реактивность подтвержденная: человек
Валидировано для: ELISA
Anti-Leukocyte Cell Derived Chemotaxin 1 (LECT1) Polyclonal Antibody (FAC563Hu01)
Источник (хозяин): кролик
Реактивность подтвержденная: человек
Валидировано для: FCM
Реактивность подтвержденная: человек
Валидировано для: FCM
ELISA Kit DIY Materials for Ectonucleotide Pyrophosphatase/Phosphodiesterase 2 (ENPP2) (KSC323Ra01)
Организм: крыса
Диапазон определения: 0.156-10 нг/мл
Чувствительность: 0.064 нг/мл
Диапазон определения: 0.156-10 нг/мл
Чувствительность: 0.064 нг/мл
ELISA Kit DIY Materials for Pyruvate Dehydrogenase Kinase Isozyme 2 (PDK2) (KSD464Mu01)
Организм: мышь
Диапазон определения: 0.156-10 нг/мл
Чувствительность: 0.054 нг/мл
Диапазон определения: 0.156-10 нг/мл
Чувствительность: 0.054 нг/мл
ELISA Kit DIY Materials for Podocalyxin (PODXL) (KSA768Ra01)
Организм: крыса
Диапазон определения: 0.156-10 нг/мл
Чувствительность: 0.057 нг/мл
Диапазон определения: 0.156-10 нг/мл
Чувствительность: 0.057 нг/мл

