| UNIPROT | Q9MYM5 |
| Иммуноген | RPA078Po01-Recombinant Interleukin 5 (IL5) |
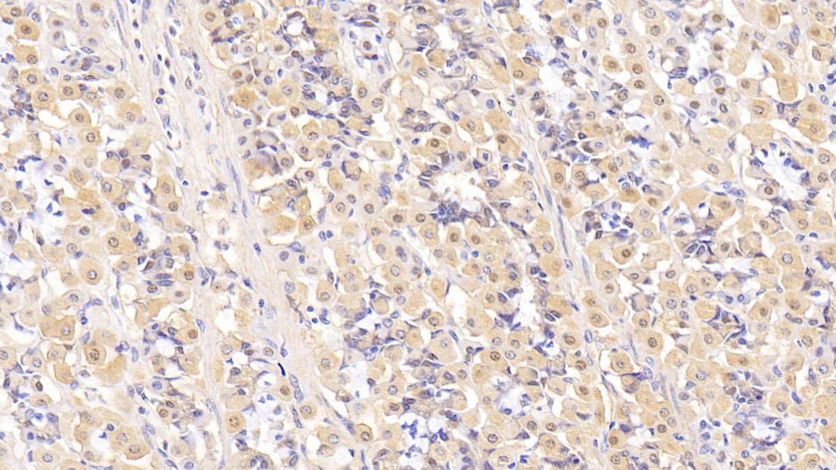
Monoclonal Antibody to Interleukin 5 (IL5) (MAA078Po21)
Реактивность подтвержденная:
свинья
Источник (хозяин):
мышь
Валидировано для:
IHC
Характеристики
Техническое описание
| Русское название | MAA078Po21 Моноклональное антитело к IL5 (свинья) <Cloud-Clone,Китай> |
| Каталожный номер | MAA078Po21 |
| Название антигена | Interleukin 5 (IL5) |
| UNIPROT | Q9MYM5 |
| Иммуноген | RPA078Po01-Recombinant Interleukin 5 (IL5) |
| Английские синонимы | E-CSF, ESGF, EDF, TRF, Colony-Stimulating Factor,Eosinophil, T-Cell replacing Factor, B Cell Differentiation Factor I, Eosinophil Differentiation Factor, IL-5 |
| Русские синонимы | ИЛ5, ИЛ-5, эозинофильный колониестимулирующий фактор |
Реактивность подтвержденная Нужна другая реактивность? |
свинья |
| Источник (хозяин) | мышь |
| Изотип | IgG1 Kappa |
| Клональность | моноклональное |
| Клон | D4 |
| Рекомбинантное | нет |
| Готовое к использованию | нет |
| Концентрация | 1 мг/мл |
| Конъюгат | По запросу: HRP, biotin, PerCP, PE, Cy3, FITC, Cy7, Cy5.5, PE-Cy5, PE-Cy7, PerCp-Cy5.5, APC, Cy5, PE-Cy3, PE-Cy5.5, APC-Cy7, Biotin-APC, FITC-Biotin, TRITC, APC-Cy5, AF488, AF594, AF405, AF555, AF700, AF647, AF750 |
| Валидировано для | IHC Иммуногистохимия |
| Рекомендуемые разведения | WB: 0.5-2 мкг/мл; IHC: 5-20 мкг/мл; ICC: 5-20 мкг/мл; Оптимальное разведение определяется конечным потребителем |
| Метод очистки | Аффинная хроматография с белком А и белком G |
| Состав буфера | 0.01M PBS, pH7.4, 0.05% Proclin-300, 50% глицерин |
| Условия доставки | термобокс с аккумуляторами холода |
| Условия хранения | Сразу после получения аликвотировать и хранить при -20ºС до 24 месяцев. Для частого использования хранить при +4ºС не более 2 недель. Избегать повторения циклов замерзания/оттаивания |
| Срок хранения | 24 месяца |
| Производитель | Cloud-Clone Corp. |
| Ссылка на страницу товара на сайте производителя | http://www.cloud-clone.com/products/MAA078Po21.html |
|
Артикул
|
Наименование |
Производитель
|
|---|
|
Артикул
|
Наименование |
Производитель
|
|---|
|
Артикул
|
Наименование |
Производитель
|
|---|
|
Артикул
|
Наименование |
Производитель
|
|---|
|
Артикул
|
Наименование |
Производитель
|
|---|
|
Артикул
|
Наименование |
Производитель
|
|---|
|
Артикул
|
Наименование |
Производитель
|
|---|
|
Артикул
|
Наименование |
Производитель
|
|---|
|
Артикул
|
Наименование |
Производитель
|
|---|
|
Артикул
|
Наименование |
Производитель
|
|---|
|
Артикул
|
Наименование |
Производитель
|
|---|
|
Артикул
|
Наименование |
Производитель
|
|---|
|
Артикул
|
Наименование |
Производитель
|
|---|
Акции и предложения
Популярные продукты:
Sheep ADP ribosylation factor 3(ARF3) ELISA kit (E14A1625)
Организм: овца
Sheep Claudin 8(CLDN8) ELISA kit (E14C0991)
Организм: овца
Chicken Claudin 8(CLDN8) ELISA kit (E12C0991)
Организм: курица
Bovine Claudin 8(CLDN8) ELISA kit (E11C0991)
Организм: корова
Canine Claudin 8(CLDN8) ELISA kit (E08C0991)
Организм: собака
Goat Claudin 8(CLDN8) ELISA kit (E06C0991)
Организм: коза

