| UNIPROT | O75874 |
| Иммуноген | RPH839Hu01-Recombinant Isocitrate Dehydrogenase 1, Soluble (IDH1) |
Monoclonal Antibody to Isocitrate Dehydrogenase 1, Soluble (IDH1) (MAH839Hu25)
Реактивность подтвержденная:
человек
Источник (хозяин):
мышь
Валидировано для:
IHC
WB
Характеристики
Техническое описание
| Русское название | MAH839Hu25 Моноклональное антитело к IDH1 (человек) <Cloud-Clone,Китай> |
| Каталожный номер | MAH839Hu25 |
| Название антигена | Isocitrate Dehydrogenase 1, Soluble (IDH1) |
| UNIPROT | O75874 |
| Иммуноген | RPH839Hu01-Recombinant Isocitrate Dehydrogenase 1, Soluble (IDH1) |
| Английские синонимы | PICD, IDP, Oxalosuccinate decarboxylase, NADP(+)-specific ICDH, Cytosolic NADP-isocitrate dehydrogenase |
Реактивность подтвержденная Нужна другая реактивность? |
человек |
| Реактивность предсказываемая | свинья |
| Источник (хозяин) | мышь |
| Изотип | IgG2a Kappa |
| Клональность | моноклональное |
| Клон | C3 |
| Рекомбинантное | нет |
| Готовое к использованию | нет |
| Концентрация | 1 мг/мл |
| Конъюгат | По запросу: HRP, biotin, PerCP, PE, Cy3, FITC, Cy7, Cy5.5, PE-Cy5, PE-Cy7, PerCp-Cy5.5, APC, Cy5, PE-Cy3, PE-Cy5.5, APC-Cy7, Biotin-APC, FITC-Biotin, TRITC, APC-Cy5, AF488, AF594, AF405, AF555, AF700, AF647, AF750 |
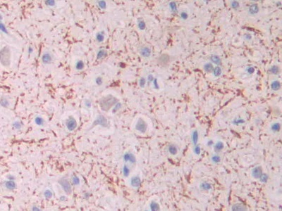
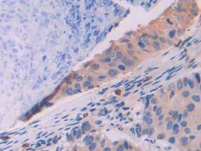
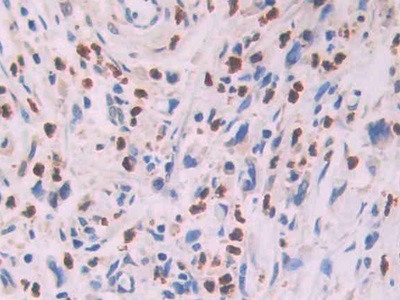
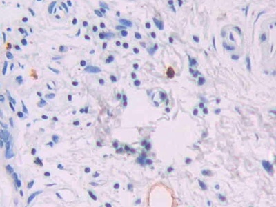
| Валидировано для | IHC WB Иммуногистохимия; Вестерн-блоттинг |
| Рекомендуемые разведения | WB: 0.5-2 мкг/мл; IHC: 5-20 мкг/мл; ICC: 5-20 мкг/мл; Оптимальное разведение определяется конечным потребителем |
| Метод очистки | Аффинная хроматография с белком А и белком G |
| Состав буфера | 0.01M PBS, pH7.4, 0.05% Proclin-300, 50% глицерин |
| Условия доставки | термобокс с аккумуляторами холода |
| Условия хранения | Сразу после получения аликвотировать и хранить при -20ºС до 24 месяцев. Для частого использования хранить при +4ºС не более 2 недель. Избегать повторения циклов замерзания/оттаивания |
| Срок хранения | 24 месяца |
| Производитель | Cloud-Clone Corp. |
| Ссылка на страницу товара на сайте производителя | http://www.cloud-clone.com/products/MAH839Hu25.html |
|
Артикул
|
Наименование |
Производитель
|
|---|
|
Артикул
|
Наименование |
Производитель
|
|---|
|
Артикул
|
Наименование |
Производитель
|
|---|
|
Артикул
|
Наименование |
Производитель
|
|---|
|
Артикул
|
Наименование |
Производитель
|
|---|
Акции и предложения
Популярные продукты:
Anti-Annexin A3 (ANXA3) Polyclonal Antibody (FAE786Hu03)
Источник (хозяин): кролик
Реактивность подтвержденная: человек
Валидировано для: FCM
Реактивность подтвержденная: человек
Валидировано для: FCM
Monoclonal Antibody to Karyopherin Alpha 2 (KPNa2) (MAE748Hu27)
Источник (хозяин): мышь
Реактивность подтвержденная: человек
Валидировано для: ICC, IF
Реактивность подтвержденная: человек
Валидировано для: ICC, IF
Porcine Phosphoenolpyruvic acid (PEP) ELISA kit (E07P1086)
Организм: свинья
Bovine Cyclosporine A ELISA kit (E11C0832)
Организм: корова
Canine Cyclosporine A ELISA kit (E08C0832)
Организм: собака
Диапазон определения: 25-500 нг/мл
Чувствительность: 1 нг/мл
Диапазон определения: 25-500 нг/мл
Чувствительность: 1 нг/мл
Canine Arginine fifty homeobox(ARGFX) ELISA kit (E08A1635)
Организм: собака

