| UNIPROT | P20700 |
| Иммуноген | RPF548Hu01-Recombinant Lamin B1 (LMNB1) |
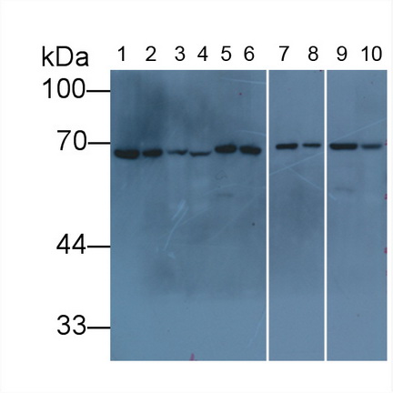
Monoclonal Antibody to Lamin B1 (LMNB1) (MAF548Hu21)
Реактивность подтвержденная:
человек
Источник (хозяин):
мышь
Валидировано для:
WB
Характеристики
Техническое описание
| Русское название | MAF548Hu21 Моноклональное антитело к LMNB1 (человек) <Cloud-Clone,Китай> |
| Каталожный номер | MAF548Hu21 |
| Название антигена | Lamin B1 (LMNB1) |
| UNIPROT | P20700 |
| Иммуноген | RPF548Hu01-Recombinant Lamin B1 (LMNB1) |
| Английские синонимы | LMN, LMN2, LMNB |
Реактивность подтвержденная Нужна другая реактивность? |
человек |
| Реактивность предсказываемая | морская свинка, кролик, собака, корова, коза, овца |
| Источник (хозяин) | мышь |
| Изотип | IgG2b Kappa |
| Клональность | моноклональное |
| Клон | 203# |
| Рекомбинантное | нет |
| Готовое к использованию | нет |
| Концентрация | 1 мг/мл |
| Конъюгат | По запросу: HRP, biotin, PerCP, PE, Cy3, FITC, Cy7, Cy5.5, PE-Cy5, PE-Cy7, PerCp-Cy5.5, APC, Cy5, PE-Cy3, PE-Cy5.5, APC-Cy7, Biotin-APC, FITC-Biotin, TRITC, APC-Cy5, AF488, AF594, AF405, AF555, AF700, AF647, AF750 |
| Валидировано для | WB Вестерн-блоттинг |
| Рекомендуемые разведения | WB: 0.01-2 мкг/мл; IHC: 5-20 мкг/мл; ICC: 5-20 мкг/мл; Оптимальное разведение определяется конечным потребителем |
| Метод очистки | Аффинная хроматография с белком А и белком G |
| Состав буфера | 0.01M PBS, pH7.4, 0.05% Proclin-300, 50% глицерин |
| Условия доставки | термобокс с аккумуляторами холода |
| Условия хранения | Сразу после получения аликвотировать и хранить при -20ºС до 24 месяцев. Для частого использования хранить при +4ºС не более 2 недель. Избегать повторения циклов замерзания/оттаивания |
| Срок хранения | 24 месяца |
| Производитель | Cloud-Clone Corp. |
| Ссылка на страницу товара на сайте производителя | http://www.cloud-clone.com/products/MAF548Hu21.html |
|
Артикул
|
Наименование |
Производитель
|
|---|
|
Артикул
|
Наименование |
Производитель
|
|---|
|
Артикул
|
Наименование |
Производитель
|
|---|
|
Артикул
|
Наименование |
Производитель
|
|---|
Акции и предложения
Популярные продукты:
Mouse Catechol O Metthyhransferase ELISA kit (E03C0045)
Организм: мышь
Monkey Dopamine decarboxylase ELISA kit (E09D0232)
Организм: обезьяна

