| UNIPROT | P04180 |
| Иммуноген | RPJ516Hu01-Recombinant Lecithin Cholesterol Acyltransferase (LCAT) |
Monoclonal Antibody to Lecithin Cholesterol Acyltransferase (LCAT) (MAJ516Hu22)
Реактивность подтвержденная:
человек
Источник (хозяин):
мышь
Валидировано для:
IHC
WB
Характеристики
Техническое описание
| Русское название | MAJ516Hu22 Моноклональное антитело к LCAT (человек) <Cloud-Clone,Китай> |
| Каталожный номер | MAJ516Hu22 |
| Название антигена | Lecithin Cholesterol Acyltransferase (LCAT) |
| UNIPROT | P04180 |
| Иммуноген | RPJ516Hu01-Recombinant Lecithin Cholesterol Acyltransferase (LCAT) |
| Английские синонимы | phosphatidylcholine-sterol O-acyltransferase, Phospholipid-cholesterol acyltransferase |
| Русские синонимы | Фосфатидилхолинстерол O-трансфераза, ЛХАТ |
Реактивность подтвержденная Нужна другая реактивность? |
человек |
| Источник (хозяин) | мышь |
| Изотип | IgG2b Kappa |
| Клональность | моноклональное |
| Клон | C15 |
| Рекомбинантное | нет |
| Готовое к использованию | нет |
| Концентрация | 1 мг/мл |
| Конъюгат | По запросу: HRP, biotin, PerCP, PE, Cy3, FITC, Cy7, Cy5.5, PE-Cy5, PE-Cy7, PerCp-Cy5.5, APC, Cy5, PE-Cy3, PE-Cy5.5, APC-Cy7, Biotin-APC, FITC-Biotin, TRITC, APC-Cy5, AF488, AF594, AF405, AF555, AF700, AF647, AF750 |
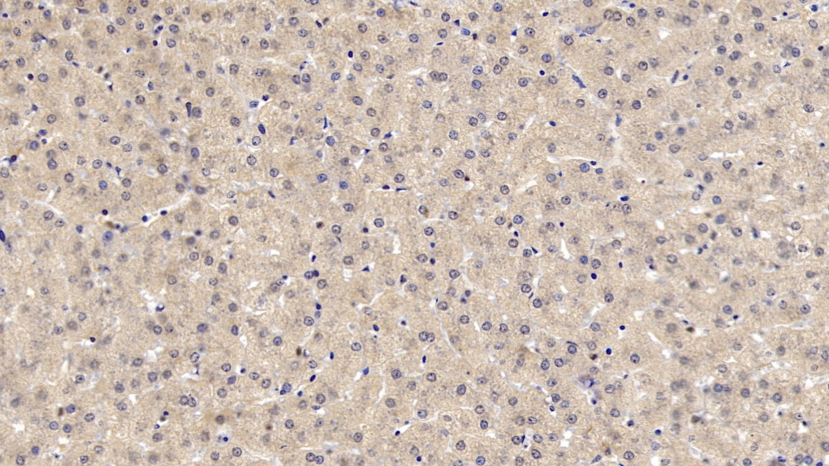
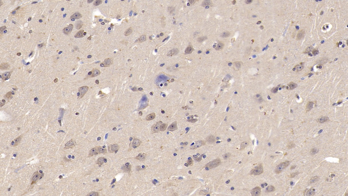
| Валидировано для | IHC WB Иммуногистохимия; Вестерн-блоттинг |
| Рекомендуемые разведения | WB: 0.5-2 мкг/мл; IHC: 5-20 мкг/мл; ICC: 5-20 мкг/мл; Оптимальное разведение определяется конечным потребителем |
| Метод очистки | Аффинная хроматография с белком А и белком G |
| Состав буфера | 0.01M PBS, pH7.4, 0.05% Proclin-300, 50% глицерин |
| Условия доставки | термобокс с аккумуляторами холода |
| Условия хранения | Сразу после получения аликвотировать и хранить при -20ºС до 24 месяцев. Для частого использования хранить при +4ºС не более 2 недель. Избегать повторения циклов замерзания/оттаивания |
| Срок хранения | 24 месяца |
| Производитель | Cloud-Clone Corp. |
| Ссылка на страницу товара на сайте производителя | http://www.cloud-clone.com/products/MAJ516Hu22.html |
|
Артикул
|
Наименование |
Производитель
|
|---|
|
Артикул
|
Наименование |
Производитель
|
|---|
|
Артикул
|
Наименование |
Производитель
|
|---|
|
Артикул
|
Наименование |
Производитель
|
|---|
Акции и предложения
Популярные продукты:
Guinea Pig Ryanodine receptor 2 ELISA kit (E05R0611)
Организм: морская свинка
Anti-Human GSTM1 Polyclonal Antibody (PHC41001)
Источник (хозяин): кролик
Реактивность подтвержденная: человек
Валидировано для: ELISA, IHC, WB
Реактивность подтвержденная: человек
Валидировано для: ELISA, IHC, WB
Recombinant Human BBS7 Protein, N-His (YHK78001)
Источник (хозяин): E.coli
Организм: человек
Фрагмент: Gly380-Glu599
Теги: N-His
Биоактивность: нет
Организм: человек
Фрагмент: Gly380-Glu599
Теги: N-His
Биоактивность: нет
PE Anti-Mouse CD103 Antibody[M290] (E-AB-F1090D)
Источник (хозяин): крыса
Реактивность подтвержденная: мышь
Валидировано для: FCM
Реактивность подтвержденная: мышь
Валидировано для: FCM

