| UNIPROT | P04180 |
| Иммуноген | RPJ516Hu01-Recombinant Lecithin Cholesterol Acyltransferase (LCAT) |
Monoclonal Antibody to Lecithin Cholesterol Acyltransferase (LCAT) (MAJ516Hu24)
Реактивность подтвержденная:
человек
Источник (хозяин):
мышь
Валидировано для:
IHC
Характеристики
Техническое описание
| Русское название | MAJ516Hu24 Моноклональное антитело к LCAT (человек) <Cloud-Clone,Китай> |
| Каталожный номер | MAJ516Hu24 |
| Название антигена | Lecithin Cholesterol Acyltransferase (LCAT) |
| UNIPROT | P04180 |
| Иммуноген | RPJ516Hu01-Recombinant Lecithin Cholesterol Acyltransferase (LCAT) |
| Английские синонимы | phosphatidylcholine-sterol O-acyltransferase, Phospholipid-cholesterol acyltransferase |
| Русские синонимы | Фосфатидилхолинстерол O-трансфераза, ЛХАТ |
Реактивность подтвержденная Нужна другая реактивность? |
человек |
| Реактивность предсказываемая | свинья |
| Источник (хозяин) | мышь |
| Изотип | IgG2b Kappa |
| Клональность | моноклональное |
| Клон | C21 |
| Рекомбинантное | нет |
| Готовое к использованию | нет |
| Концентрация | 1 мг/мл |
| Конъюгат | По запросу: HRP, biotin, PerCP, PE, Cy3, FITC, Cy7, Cy5.5, PE-Cy5, PE-Cy7, PerCp-Cy5.5, APC, Cy5, PE-Cy3, PE-Cy5.5, APC-Cy7, Biotin-APC, FITC-Biotin, TRITC, APC-Cy5, AF488, AF594, AF405, AF555, AF700, AF647, AF750 |
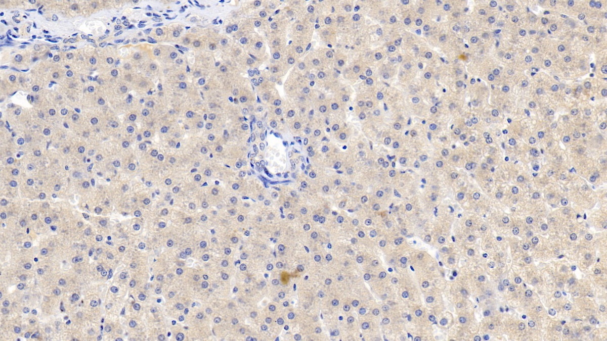
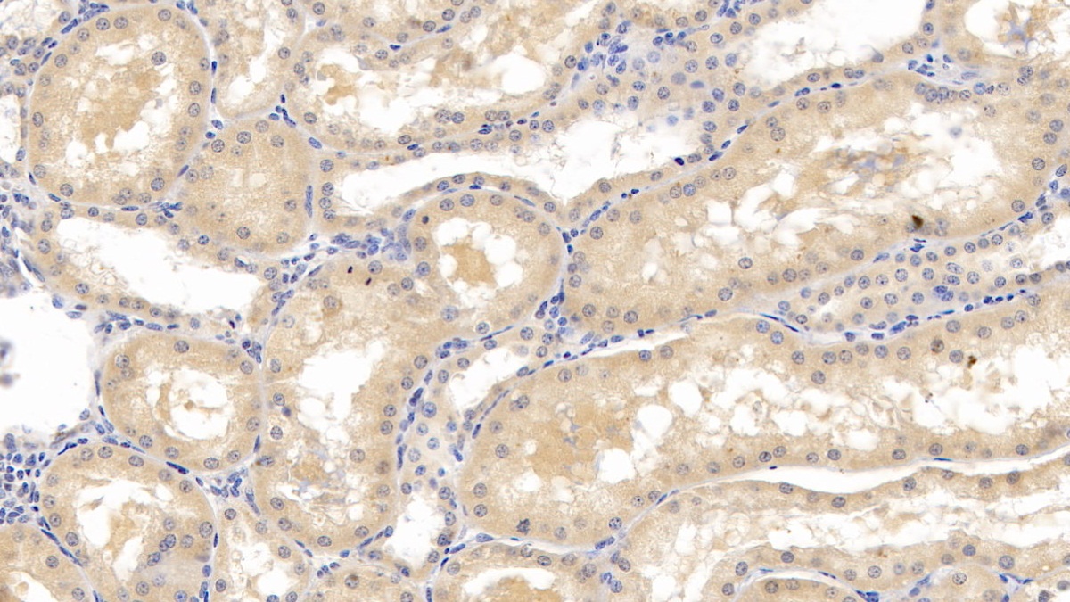
| Валидировано для | IHC Иммуногистохимия |
| Рекомендуемые разведения | WB: 0.5-2 мкг/мл; IHC: 5-20 мкг/мл; ICC: 5-20 мкг/мл; Оптимальное разведение определяется конечным потребителем |
| Метод очистки | Аффинная хроматография с белком А и белком G |
| Состав буфера | 0.01M PBS, pH7.4, 0.05% Proclin-300, 50% глицерин |
| Условия доставки | термобокс с аккумуляторами холода |
| Условия хранения | Сразу после получения аликвотировать и хранить при -20ºС до 24 месяцев. Для частого использования хранить при +4ºС не более 2 недель. Избегать повторения циклов замерзания/оттаивания |
| Срок хранения | 24 месяца |
| Производитель | Cloud-Clone Corp. |
| Ссылка на страницу товара на сайте производителя | http://www.cloud-clone.com/products/MAJ516Hu24.html |
|
Артикул
|
Наименование |
Производитель
|
|---|
|
Артикул
|
Наименование |
Производитель
|
|---|
|
Артикул
|
Наименование |
Производитель
|
|---|
|
Артикул
|
Наименование |
Производитель
|
|---|
Акции и предложения
Популярные продукты:
ELISA Kit DIY Materials for Intercellular Adhesion Molecule 1 (ICAM1) (KSA548Rb01)
Организм: кролик
Диапазон определения: 6.25-400 пг/мл
Чувствительность: 2.99 пг/мл
Диапазон определения: 6.25-400 пг/мл
Чувствительность: 2.99 пг/мл
Sheep Protein BTG3(BTG3) ELISA kit (E14P0800)
Организм: овца
Bovine Lecithin Cholesterol Acyltransferase ELISA kit (E11L0303)
Организм: корова
Canine Lecithin Cholesterol Acyltransferase ELISA kit (E08L0303)
Организм: собака
Porcine Lecithin Cholesterol Acyltransferase ELISA kit (E07L0303)
Организм: свинья

