| UNIPROT | Q99685 |
| Иммуноген | RPD223Hu01-Recombinant Lipase, Monoacylglycerol (MGL) |
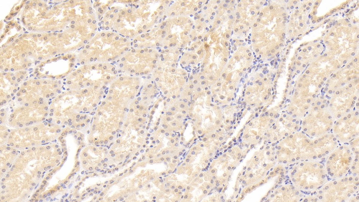
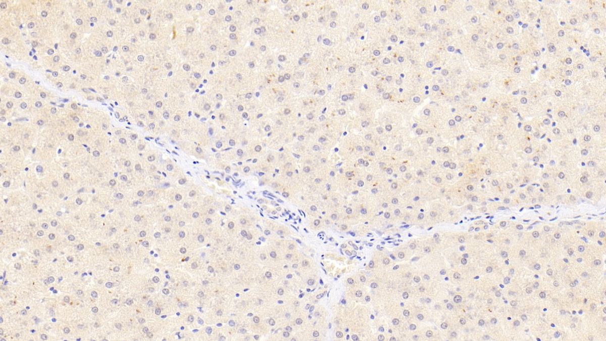
Monoclonal Antibody to Lipase, Monoacylglycerol (MGL) (MAD223Hu21)
Реактивность подтвержденная:
человек
Источник (хозяин):
мышь
Валидировано для:
IHC
Характеристики
Техническое описание
| Русское название | MAD223Hu21 Моноклональное антитело к MGL (человек) <Cloud-Clone,Китай> |
| Каталожный номер | MAD223Hu21 |
| Название антигена | Lipase, Monoacylglycerol (MGL) |
| UNIPROT | Q99685 |
| Иммуноген | RPD223Hu01-Recombinant Lipase, Monoacylglycerol (MGL) |
| Английские синонимы | HU-K5, MGLL, MAGL, Monoglyceride Lipase, Lysophospholipase homolog, Lysophospholipase-like, Monoacylglycerol lipase |
Реактивность подтвержденная Нужна другая реактивность? |
человек |
| Реактивность предсказываемая | свинья |
| Источник (хозяин) | мышь |
| Изотип | IgG2b Kappa |
| Клональность | моноклональное |
| Клон | D3 |
| Рекомбинантное | нет |
| Готовое к использованию | нет |
| Концентрация | 1 мг/мл |
| Конъюгат | По запросу: HRP, biotin, PerCP, PE, Cy3, FITC, Cy7, Cy5.5, PE-Cy5, PE-Cy7, PerCp-Cy5.5, APC, Cy5, PE-Cy3, PE-Cy5.5, APC-Cy7, Biotin-APC, FITC-Biotin, TRITC, APC-Cy5, AF488, AF594, AF405, AF555, AF700, AF647, AF750 |
| Валидировано для | IHC Иммуногистохимия |
| Рекомендуемые разведения | WB: 0.5-2 мкг/мл; IHC: 5-20 мкг/мл; ICC: 5-20 мкг/мл; Оптимальное разведение определяется конечным потребителем |
| Метод очистки | Аффинная хроматография с белком А и белком G |
| Состав буфера | 0.01M PBS, pH7.4, 0.05% Proclin-300, 50% глицерин |
| Условия доставки | термобокс с аккумуляторами холода |
| Условия хранения | Сразу после получения аликвотировать и хранить при -20ºС до 24 месяцев. Для частого использования хранить при +4ºС не более 2 недель. Избегать повторения циклов замерзания/оттаивания |
| Срок хранения | 24 месяца |
| Производитель | Cloud-Clone Corp. |
| Ссылка на страницу товара на сайте производителя | http://www.cloud-clone.com/products/MAD223Hu21.html |
|
Артикул
|
Наименование |
Производитель
|
|---|
|
Артикул
|
Наименование |
Производитель
|
|---|
|
Артикул
|
Наименование |
Производитель
|
|---|
Акции и предложения
Популярные продукты:
Anti-FMOD Polyclonal Antibody (PHG10401)
Источник (хозяин): кролик
Реактивность подтвержденная: человек, мышь, крыса
Валидировано для: ELISA, IHC, WB
Реактивность подтвержденная: человек, мышь, крыса
Валидировано для: ELISA, IHC, WB
Recombinant Adrenomedullin (ADM) (RPA220Hu01)
Источник (хозяин): E.coli
Организм: человек
Фрагмент: Ala22-Gly147
Теги: N-концевой His-Tag
Биоактивность: нет
Организм: человек
Фрагмент: Ala22-Gly147
Теги: N-концевой His-Tag
Биоактивность: нет
Multiplex Assay Kit for Collagen Type IV Alpha 2 (COL4a2) (LMC144Hu)
Организм: человек
Диапазон определения: 0.49-500 нг/мл
Чувствительность: 0.163 нг/мл
Диапазон определения: 0.49-500 нг/мл
Чувствительность: 0.163 нг/мл
Multiplex Assay Kit for Activating Transcription Factor 4 (ATF4) (LMB385Mu)
Организм: мышь
Диапазон определения: 4.88-5000 пг/мл
Чувствительность: 1.627 пг/мл
Диапазон определения: 4.88-5000 пг/мл
Чувствительность: 1.627 пг/мл
Multiplex Assay Kit for Kallikrein 6 (KLK6) (LMA691Mu)
Организм: мышь
Диапазон определения: 1.95-2000 пг/мл
Чувствительность: 0.65 пг/мл
Диапазон определения: 1.95-2000 пг/мл
Чувствительность: 0.65 пг/мл
Multiplex Assay Kit for Dynamin 1 Like Protein (DNM1L) (LMK069Hu)
Организм: человек
Диапазон определения: 0.02-20 нг/мл
Чувствительность: 0.007 нг/мл
Диапазон определения: 0.02-20 нг/мл
Чувствительность: 0.007 нг/мл

