| UNIPROT | P22894 |
| Иммуноген | RPA103Hu01-Recombinant Matrix Metalloproteinase 8 (MMP8) |
Monoclonal Antibody to Matrix Metalloproteinase 8 (MMP8) (MAA103Hu22)
Реактивность подтвержденная:
человек
Источник (хозяин):
мышь
Валидировано для:
IHC
WB
Характеристики
Техническое описание
| Русское название | MAA103Hu22 Моноклональное антитело к MMP8 (человек) <Cloud-Clone,Китай> |
| Каталожный номер | MAA103Hu22 |
| Название антигена | Matrix Metalloproteinase 8 (MMP8) |
| UNIPROT | P22894 |
| Иммуноген | RPA103Hu01-Recombinant Matrix Metalloproteinase 8 (MMP8) |
| Английские синонимы | CLG2, HNC, PMNL-CL, Collagenase 2, Neutrophil Collagenase, PMNL collagenase, MMP-8 |
| Русские синонимы | ММП8, ММП-8, Нейтрофильная коллагеназа |
Реактивность подтвержденная Нужна другая реактивность? |
человек |
| Реактивность предсказываемая | свинья |
| Источник (хозяин) | мышь |
| Изотип | IgG2a Kappa |
| Клональность | моноклональное |
| Клон | C8 |
| Рекомбинантное | нет |
| Готовое к использованию | нет |
| Концентрация | 1 мг/мл |
| Конъюгат | По запросу: HRP, biotin, PerCP, PE, Cy3, FITC, Cy7, Cy5.5, PE-Cy5, PE-Cy7, PerCp-Cy5.5, APC, Cy5, PE-Cy3, PE-Cy5.5, APC-Cy7, Biotin-APC, FITC-Biotin, TRITC, APC-Cy5, AF488, AF594, AF405, AF555, AF700, AF647, AF750 |
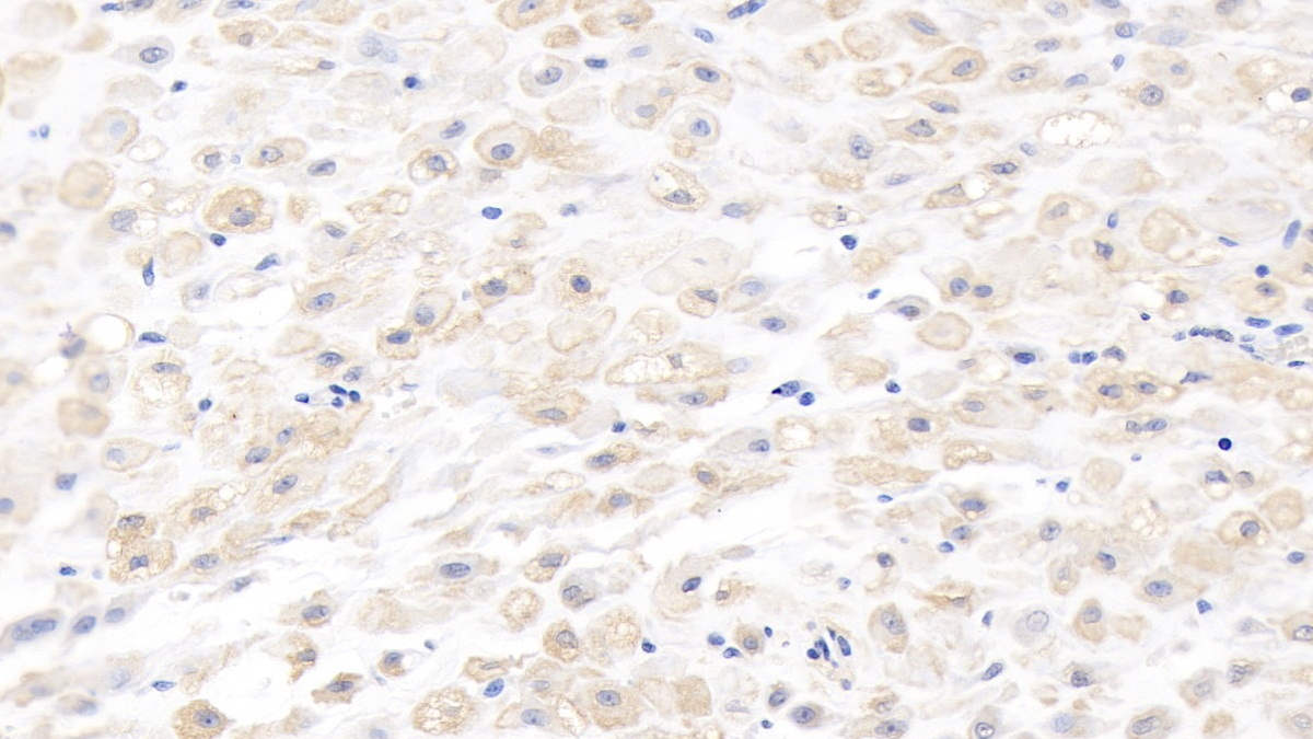
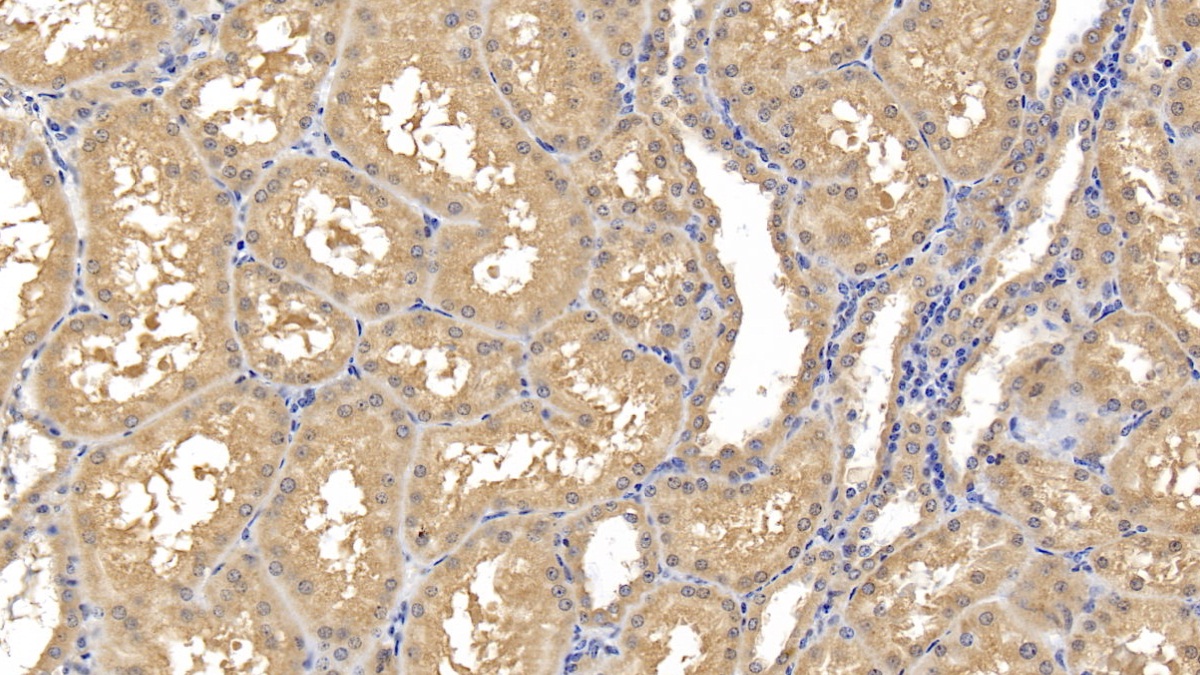
| Валидировано для | IHC WB Иммуногистохимия; Вестерн-блоттинг |
| Рекомендуемые разведения | WB: 0.5-2 мкг/мл; IHC: 5-20 мкг/мл; ICC: 5-20 мкг/мл; Оптимальное разведение определяется конечным потребителем |
| Метод очистки | Аффинная хроматография с белком А и белком G |
| Состав буфера | 0.01M PBS, pH7.4, 0.05% Proclin-300, 50% глицерин |
| Условия доставки | термобокс с аккумуляторами холода |
| Условия хранения | Сразу после получения аликвотировать и хранить при -20ºС до 24 месяцев. Для частого использования хранить при +4ºС не более 2 недель. Избегать повторения циклов замерзания/оттаивания |
| Срок хранения | 24 месяца |
| Производитель | Cloud-Clone Corp. |
| Ссылка на страницу товара на сайте производителя | http://www.cloud-clone.com/products/MAA103Hu22.html |
|
Артикул
|
Наименование |
Производитель
|
|---|
|
Артикул
|
Наименование |
Производитель
|
|---|
|
Артикул
|
Наименование |
Производитель
|
|---|
|
Артикул
|
Наименование |
Производитель
|
|---|
|
Артикул
|
Наименование |
Производитель
|
|---|
Акции и предложения
Популярные продукты:
Canine D aspartate oxidase(DDO) ELISA kit (E08D0280)
Организм: собака
Chicken Centrin 1(CETN1) ELISA kit (E12C1626)
Организм: курица
Canine Normetanephrine ELISA kit (E08N0588)
Организм: собака
Guinea Pig Alpha B Crystallin ELISA kit (E05C0343)
Организм: морская свинка
Goat Matrix Metalloproteinase 8 ELISA kit (E06M0325)
Организм: коза

