| UNIPROT | P11137 |
| Иммуноген | RPB329Hu01-Recombinant Microtubule Associated Protein 2 (MAP2) |
Monoclonal Antibody to Microtubule Associated Protein 2 (MAP2) (MAB329Hu23)
Реактивность подтвержденная:
человек
Источник (хозяин):
мышь
Валидировано для:
IHC
WB
Характеристики
Техническое описание
| Русское название | MAB329Hu23 Моноклональное антитело к MAP2 (человек) <Cloud-Clone,Китай> |
| Каталожный номер | MAB329Hu23 |
| Название антигена | Microtubule Associated Protein 2 (MAP2) |
| UNIPROT | P11137 |
| Иммуноген | RPB329Hu01-Recombinant Microtubule Associated Protein 2 (MAP2) |
| Английские синонимы | MAP2A, MAP2B, MAP2C |
Реактивность подтвержденная Нужна другая реактивность? |
человек |
| Реактивность предсказываемая | крыса, свинья |
| Источник (хозяин) | мышь |
| Изотип | IgG1 Kappa |
| Клональность | моноклональное |
| Клон | C3 |
| Рекомбинантное | нет |
| Готовое к использованию | нет |
| Концентрация | 1 мг/мл |
| Конъюгат | По запросу: HRP, biotin, PerCP, PE, Cy3, FITC, Cy7, Cy5.5, PE-Cy5, PE-Cy7, PerCp-Cy5.5, APC, Cy5, PE-Cy3, PE-Cy5.5, APC-Cy7, Biotin-APC, FITC-Biotin, TRITC, APC-Cy5, AF488, AF594, AF405, AF555, AF700, AF647, AF750 |
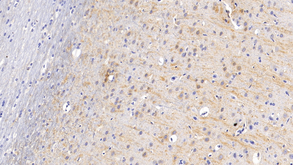
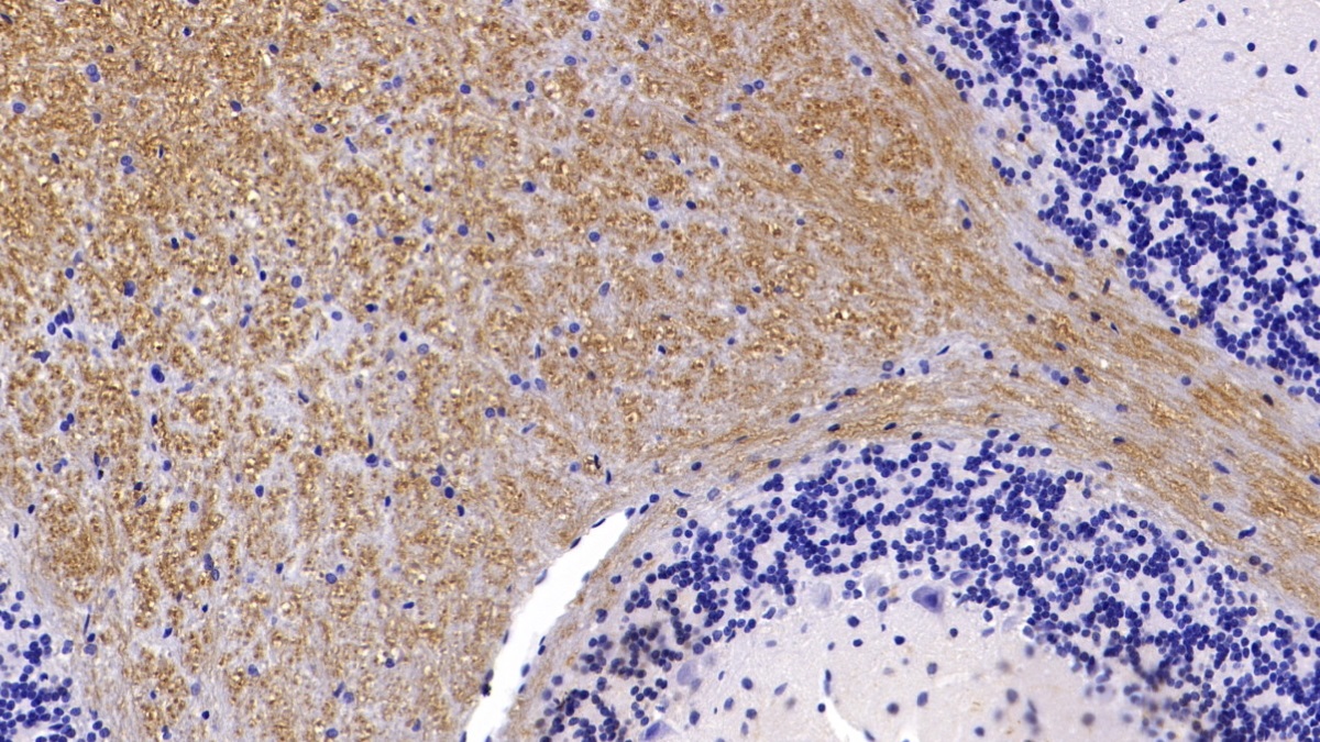
| Валидировано для | IHC WB Иммуногистохимия; Вестерн-блоттинг |
| Рекомендуемые разведения | WB: 0.5-2 мкг/мл; IHC: 5-20 мкг/мл; ICC: 5-20 мкг/мл; Оптимальное разведение определяется конечным потребителем |
| Метод очистки | Аффинная хроматография с белком А и белком G |
| Состав буфера | 0.01M PBS, pH7.4, 0.05% Proclin-300, 50% глицерин |
| Условия доставки | термобокс с аккумуляторами холода |
| Условия хранения | Сразу после получения аликвотировать и хранить при -20ºС до 24 месяцев. Для частого использования хранить при +4ºС не более 2 недель. Избегать повторения циклов замерзания/оттаивания |
| Срок хранения | 24 месяца |
| Производитель | Cloud-Clone Corp. |
| Ссылка на страницу товара на сайте производителя | http://www.cloud-clone.com/products/MAB329Hu23.html |
|
Артикул
|
Наименование |
Производитель
|
|---|
|
Артикул
|
Наименование |
Производитель
|
|---|
|
Артикул
|
Наименование |
Производитель
|
|---|
|
Артикул
|
Наименование |
Производитель
|
|---|
|
Артикул
|
Наименование |
Производитель
|
|---|
Акции и предложения
Популярные продукты:
Canine Enoyl CoA hydratase 1 ELISA kit (E08E0404)
Организм: собака
Multiplex Assay Kit for ATP Binding Cassette Transporter A9 (ABCA9) (LMD649Mu)
Организм: мышь
Диапазон определения: 0.01-10 нг/мл
Чувствительность: 0.003 нг/мл
Диапазон определения: 0.01-10 нг/мл
Чувствительность: 0.003 нг/мл
Anti-Mouse EDA1 Antibody (Fs0355) (RMK86401)
Источник (хозяин): мышь
Реактивность подтвержденная: мышь
Валидировано для: ELISA, FCM, NEUT, WB
Реактивность подтвержденная: мышь
Валидировано для: ELISA, FCM, NEUT, WB
Anti-Mouse EDA1 Antibody (Fs0332) (VMK86401)
Источник (хозяин): мышь
Реактивность подтвержденная: мышь
Валидировано для: ELISA, FCM, NEUT, WB
Реактивность подтвержденная: мышь
Валидировано для: ELISA, FCM, NEUT, WB
Sheep Phosphoenolpyruvic acid (PEP) ELISA kit (E14P1086)
Организм: овца
Human Phosphoenolpyruvic acid (PEP) ELISA kit (E01P1086)
Организм: человек

