| UNIPROT | P55851 |
| Иммуноген | RPC586Hu01-Recombinant Mitochondrial Uncoupling Protein 2 (UCP2) |
Monoclonal Antibody to Mitochondrial Uncoupling Protein 2 (UCP2) (MAC586Hu21)
Реактивность подтвержденная:
человек
Источник (хозяин):
мышь
Валидировано для:
IHC
Характеристики
Техническое описание
| Русское название | MAC586Hu21 Моноклональное антитело к UCP2 (человек) <Cloud-Clone,Китай> |
| Каталожный номер | MAC586Hu21 |
| Название антигена | Uncoupling Protein 2, Mitochondrial (UCP2) |
| UNIPROT | P55851 |
| Иммуноген | RPC586Hu01-Recombinant Mitochondrial Uncoupling Protein 2 (UCP2) |
| Английские синонимы | SLC25A8, UCPH, Solute carrier family 25 member 8 |
Реактивность подтвержденная Нужна другая реактивность? |
человек |
| Источник (хозяин) | мышь |
| Изотип | IgG2b Kappa |
| Клональность | моноклональное |
| Клон | C1 |
| Рекомбинантное | нет |
| Готовое к использованию | нет |
| Концентрация | 1 мг/мл |
| Конъюгат | По запросу: HRP, biotin, PerCP, PE, Cy3, FITC, Cy7, Cy5.5, PE-Cy5, PE-Cy7, PerCp-Cy5.5, APC, Cy5, PE-Cy3, PE-Cy5.5, APC-Cy7, Biotin-APC, FITC-Biotin, TRITC, APC-Cy5, AF488, AF594, AF405, AF555, AF700, AF647, AF750 |
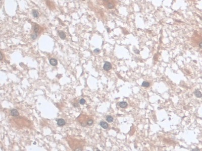
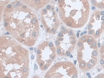
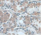
| Валидировано для | IHC Иммуногистохимия |
| Рекомендуемые разведения | WB: 0.01-3 мкг/мл; IHC: 5-30 мкг/мл; ICC: 5-30 мкг/мл; Оптимальное разведение определяется конечным потребителем |
| Метод очистки | Аффинная хроматография с белком А и белком G |
| Состав буфера | 0.01M PBS, pH7.4, 0.05% Proclin-300, 50% глицерин |
| Условия доставки | термобокс с аккумуляторами холода |
| Условия хранения | Сразу после получения аликвотировать и хранить при -20ºС до 24 месяцев. Для частого использования хранить при +4ºС не более 2 недель. Избегать повторения циклов замерзания/оттаивания |
| Срок хранения | 24 месяца |
| Производитель | Cloud-Clone Corp. |
| Ссылка на страницу товара на сайте производителя | http://www.cloud-clone.com/products/MAC586Hu21.html |
|
Артикул
|
Наименование |
Производитель
|
|---|
|
Артикул
|
Наименование |
Производитель
|
|---|
|
Артикул
|
Наименование |
Производитель
|
|---|
|
Артикул
|
Наименование |
Производитель
|
|---|
Акции и предложения
Популярные продукты:
Sheep Uracil DNA Glycosylase ELISA kit (E14U0076)
Организм: овца
Human Uracil DNA Glycosylase ELISA kit (E01U0076)
Организм: человек
Monkey Galanin Receptor 3 ELISA kit (E09G0079)
Организм: обезьяна
Mouse Glycogen synthase 1 ELISA kit (E03G0665)
Организм: мышь
Chicken Neurturin ELISA kit (E12N0606)
Организм: курица
Porcine Protein S ELISA kit (E07P0144)
Организм: свинья

