| UNIPROT | P55851 |
| Иммуноген | RPC586Hu01-Recombinant Mitochondrial Uncoupling Protein 2 (UCP2) |
Monoclonal Antibody to Mitochondrial Uncoupling Protein 2 (UCP2) (MAC586Hu22)
Реактивность подтвержденная:
человек
Источник (хозяин):
мышь
Валидировано для:
IHC
WB
Характеристики
Техническое описание
| Русское название | MAC586Hu22 Моноклональное антитело к UCP2 (человек) <Cloud-Clone,Китай> |
| Каталожный номер | MAC586Hu22 |
| Название антигена | Uncoupling Protein 2, Mitochondrial (UCP2) |
| UNIPROT | P55851 |
| Иммуноген | RPC586Hu01-Recombinant Mitochondrial Uncoupling Protein 2 (UCP2) |
| Английские синонимы | SLC25A8, UCPH, Solute carrier family 25 member 8 |
Реактивность подтвержденная Нужна другая реактивность? |
человек |
| Источник (хозяин) | мышь |
| Изотип | IgG2b Lambda |
| Клональность | моноклональное |
| Клон | D7 |
| Рекомбинантное | нет |
| Готовое к использованию | нет |
| Концентрация | 1 мг/мл |
| Конъюгат | По запросу: HRP, biotin, PerCP, PE, Cy3, FITC, Cy7, Cy5.5, PE-Cy5, PE-Cy7, PerCp-Cy5.5, APC, Cy5, PE-Cy3, PE-Cy5.5, APC-Cy7, Biotin-APC, FITC-Biotin, TRITC, APC-Cy5, AF488, AF594, AF405, AF555, AF700, AF647, AF750 |
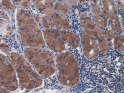
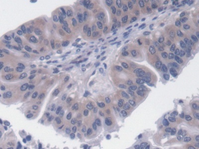
| Валидировано для | IHC WB Иммуногистохимия; Вестерн-блоттинг |
| Рекомендуемые разведения | WB: 0.5-2 мкг/мл; IHC: 5-20 мкг/мл; Оптимальное разведение определяется конечным потребителем |
| Метод очистки | Аффинная хроматография с белком А и белком G |
| Состав буфера | 0.01M PBS, pH7.4, 0.05% Proclin-300, 50% глицерин |
| Условия доставки | термобокс с аккумуляторами холода |
| Условия хранения | Сразу после получения аликвотировать и хранить при -20ºС до 24 месяцев. Для частого использования хранить при +4ºС не более 2 недель. Избегать повторения циклов замерзания/оттаивания |
| Срок хранения | 24 месяца |
| Производитель | Cloud-Clone Corp. |
| Ссылка на страницу товара на сайте производителя | http://www.cloud-clone.com/products/MAC586Hu22.html |
|
Артикул
|
Наименование |
Производитель
|
|---|
|
Артикул
|
Наименование |
Производитель
|
|---|
|
Артикул
|
Наименование |
Производитель
|
|---|
|
Артикул
|
Наименование |
Производитель
|
|---|
Акции и предложения
Популярные продукты:
Guinea Pig Cyclin L1(CCNL1) ELISA kit (E05C1167)
Организм: морская свинка
Canine Glucokinase Regulatory Protein ELISA kit (E08G0188)
Организм: собака
Anti-Human CD215/IL15RA Antibody (SAA1984) (RHG46401)
Источник (хозяин): мышь
Реактивность подтвержденная: человек
Валидировано для: ELISA
Реактивность подтвержденная: человек
Валидировано для: ELISA
Recombinant Human HMG20B Protein, N-His-SUMO (YHJ71202)
Источник (хозяин): E.coli
Организм: человек
Фрагмент: Tyr77-Gly171
Теги: N-His-SUMO
Биоактивность: нет
Организм: человек
Фрагмент: Tyr77-Gly171
Теги: N-His-SUMO
Биоактивность: нет
Recombinant Human FBN3 Protein, N-GST (YHJ12001)
Источник (хозяин): E.coli
Организм: человек
Фрагмент: Ser2690-Leu2809
Теги: N-GST
Биоактивность: нет
Организм: человек
Фрагмент: Ser2690-Leu2809
Теги: N-GST
Биоактивность: нет
Anti-LRP1B Antibody (R3X10) (RHJ70201)
Источник (хозяин): мышь
Реактивность подтвержденная: человек
Валидировано для: ELISA, FCM
Реактивность подтвержденная: человек
Валидировано для: ELISA, FCM

