| UNIPROT | P07196 |
| Иммуноген | RPE038Hu02-Recombinant Neurofilament, Light Polypeptide (NEFL) |
Monoclonal Antibody to Neurofilament, Light Polypeptide (NEFL) (MAE038Hu21)
Реактивность подтвержденная:
человек
Источник (хозяин):
мышь
Валидировано для:
FCM
IHC
WB
Характеристики
Техническое описание
| Русское название | MAE038Hu21 Моноклональное антитело к NEFL (человек) <Cloud-Clone,Китай> |
| Каталожный номер | MAE038Hu21 |
| Название антигена | Neurofilament, Light Polypeptide (NEFL) |
| UNIPROT | P07196 |
| Иммуноген | RPE038Hu02-Recombinant Neurofilament, Light Polypeptide (NEFL) |
| Английские синонимы | CMT1F, CMT2E, NF-L, NF68, NFL, 68 kDa neurofilament protein, Neurofilament triplet L protein |
Реактивность подтвержденная Нужна другая реактивность? |
человек |
| Реактивность предсказываемая | мышь, крыса, свинья |
| Источник (хозяин) | мышь |
| Изотип | IgG1 Kappa |
| Клональность | моноклональное |
| Клон | C4 |
| Рекомбинантное | нет |
| Готовое к использованию | нет |
| Концентрация | 1 мг/мл |
| Конъюгат | По запросу: HRP, biotin, PerCP, PE, Cy3, FITC, Cy7, Cy5.5, PE-Cy5, PE-Cy7, PerCp-Cy5.5, APC, Cy5, PE-Cy3, PE-Cy5.5, APC-Cy7, Biotin-APC, FITC-Biotin, TRITC, APC-Cy5, AF488, AF594, AF405, AF555, AF700, AF647, AF750 |
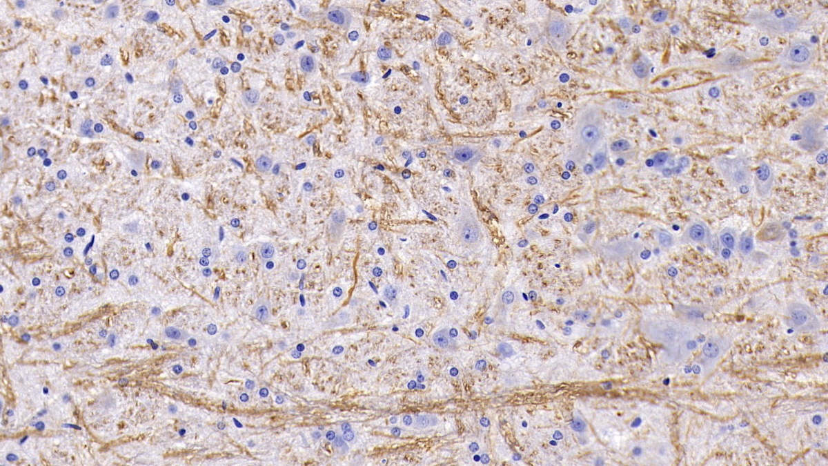
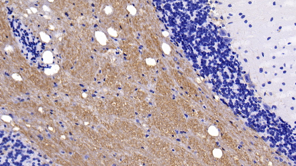
| Валидировано для | FCM IHC WB Проточная цитометрия; Иммуногистохимия; Вестерн-блоттинг |
| Рекомендуемые разведения | WB: 0.001-2 мкг/мл; IHC: 5-20 мкг/мл; FCM: 10 мкг/мл; Оптимальное разведение определяется конечным потребителем |
| Метод очистки | Аффинная хроматография с белком А и белком G |
| Состав буфера | PBS, pH7.4, 0.02% NaN3, 50% глицерин |
| Условия доставки | термобокс с аккумуляторами холода |
| Условия хранения | Сразу после получения аликвотировать и хранить при -20ºС до 24 месяцев. Для частого использования хранить при +4ºС не более 2 недель. Избегать повторения циклов замерзания/оттаивания |
| Срок хранения | 24 месяца |
| Производитель | Cloud-Clone Corp. |
| Ссылка на страницу товара на сайте производителя | http://www.cloud-clone.com/products/MAE038Hu21.html |
|
Артикул
|
Наименование |
Производитель
|
|---|
|
Артикул
|
Наименование |
Производитель
|
|---|
|
Артикул
|
Наименование |
Производитель
|
|---|
|
Артикул
|
Наименование |
Производитель
|
|---|
|
Артикул
|
Наименование |
Производитель
|
|---|
Акции и предложения
Популярные продукты:
FITC-Mouse Anti-Human IgG(H+L) (E-AB-1171)
Изотип: IgG
Источник (хозяин): мышь
Реактивность подтвержденная: человек
Валидировано для: FCM
Источник (хозяин): мышь
Реактивность подтвержденная: человек
Валидировано для: FCM
Anti-Human CD261/TNFRSF10A/DR4 Antibody (Fs0356), APC (FHA05922)
Источник (хозяин): мышь
Реактивность подтвержденная: человек
Валидировано для: FCM
Реактивность подтвержденная: человек
Валидировано для: FCM
Clobetasol Propionate/CBP ELISA Kit (KSK61509)
Организм: для всех
Диапазон определения: 1.56 - 100 нг/мл
Чувствительность: 0.5 нг/мл
Диапазон определения: 1.56 - 100 нг/мл
Чувствительность: 0.5 нг/мл
Goat Parkinson Disease Protein 7 ELISA kit (E06P1009)
Организм: коза
Mouse Thymine DNA Glycosylase ELISA kit (E03T0890)
Организм: мышь
Porcine Peroxiredoxin 6 ELISA kit (E07P0754)
Организм: свинья

