| UNIPROT | - |
| Иммуноген | CPA428Hu21-OVA Conjugated Neurokinin A (NKA) |
Monoclonal Antibody to Neurokinin A (NKA) (MAA428Hu21)
Реактивность подтвержденная:
человек
Источник (хозяин):
мышь
Валидировано для:
IHC
WB
Характеристики
Техническое описание
| Русское название | MAA428Hu21 Моноклональное антитело к NKA (человек) <Cloud-Clone,Китай> |
| Каталожный номер | MAA428Hu21 |
| Название антигена | Neurokinin A (NKA) |
| UNIPROT | - |
| Иммуноген | CPA428Hu21-OVA Conjugated Neurokinin A (NKA) |
| Английские синонимы | NK-A, SK, Substance K, Neuropeptide K, Neurokinin K, Neuromedin L, Neuropeptide gamma |
Реактивность подтвержденная Нужна другая реактивность? |
человек |
| Реактивность предсказываемая | крыса, свинья |
| Источник (хозяин) | мышь |
| Изотип | IgG2b Kappa |
| Клональность | моноклональное |
| Клон | C1 |
| Рекомбинантное | нет |
| Готовое к использованию | нет |
| Концентрация | 1 мг/мл |
| Конъюгат | По запросу: HRP, biotin, PerCP, PE, Cy3, FITC, Cy7, Cy5.5, PE-Cy5, PE-Cy7, PerCp-Cy5.5, APC, Cy5, PE-Cy3, PE-Cy5.5, APC-Cy7, Biotin-APC, FITC-Biotin, TRITC, APC-Cy5, AF488, AF594, AF405, AF555, AF700, AF647, AF750 |
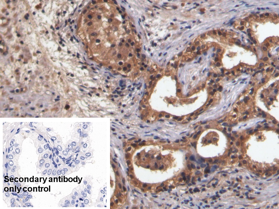
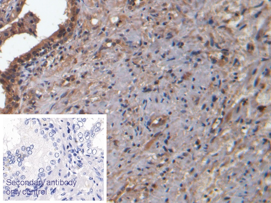
| Валидировано для | IHC WB Иммуногистохимия; Вестерн-блоттинг |
| Рекомендуемые разведения | WB: 0.5-5 мкг/мл; IHC: 5-20 мкг/мл; Оптимальное разведение определяется конечным потребителем |
| Метод очистки | Аффинная хроматография с белком А и белком G |
| Состав буфера | 0.01M PBS, pH7.4, 0.05% Proclin-300, 50% глицерин |
| Условия доставки | термобокс с аккумуляторами холода |
| Условия хранения | Сразу после получения аликвотировать и хранить при -20ºС до 24 месяцев. Для частого использования хранить при +4ºС не более 2 недель. Избегать повторения циклов замерзания/оттаивания |
| Срок хранения | 24 месяца |
| Производитель | Cloud-Clone Corp. |
| Ссылка на страницу товара на сайте производителя | http://www.cloud-clone.com/products/MAA428Hu21.html |
|
Артикул
|
Наименование |
Производитель
|
|---|
|
Артикул
|
Наименование |
Производитель
|
|---|
Акции и предложения
Популярные продукты:
Mouse Cerebellin 3(CBLN3) ELISA kit (E03C1409)
Организм: мышь
Bovine Histone Deacetylase 3 ELISA kit (E11H0236)
Организм: корова
Rat A kinase anchor protein 14(AKAP14) ELISA kit (E02A1354)
Организм: крыса
Human Reverse Tri iodothyronine ELISA kit (E01R0360)
Организм: человек
Диапазон определения: 250-5000 пг/мл
Чувствительность: 1 пг/мл
Диапазон определения: 250-5000 пг/мл
Чувствительность: 1 пг/мл
Bovine Serum Amyloid P Component ELISA kit (E11S0234)
Организм: корова
Диапазон определения: 25-500 нг/мл
Чувствительность: 1 нг/мл
Диапазон определения: 25-500 нг/мл
Чувствительность: 1 нг/мл
Goat Ataxia Telangiectasia Mutated ELISA kit (E06A0592)
Организм: коза

