| UNIPROT | O14786 |
| Иммуноген | RPA692Hu03-Recombinant Neuropilin 1 (NRP1) |
Monoclonal Antibody to Neuropilin 1 (NRP1) (MAA692Hu21)
Реактивность подтвержденная:
человек
Источник (хозяин):
мышь
Валидировано для:
IHC
Характеристики
Техническое описание
| Русское название | MAA692Hu21 Моноклональное антитело к NRP1 (человек) <Cloud-Clone,Китай> |
| Каталожный номер | MAA692Hu21 |
| Название антигена | Neuropilin 1 (NRP1) |
| UNIPROT | O14786 |
| Иммуноген | RPA692Hu03-Recombinant Neuropilin 1 (NRP1) |
| Английские синонимы | CD304, CD 304, CD-304, BDCA4, VEGF165R, Vascular endothelial cell growth factor 165 receptor |
Реактивность подтвержденная Нужна другая реактивность? |
человек |
| Реактивность предсказываемая | свинья |
| Источник (хозяин) | мышь |
| Изотип | IgG1 Kappa |
| Клональность | моноклональное |
| Клон | C1 |
| Рекомбинантное | нет |
| Готовое к использованию | нет |
| Концентрация | 1 мг/мл |
| Конъюгат | По запросу: HRP, biotin, PerCP, PE, Cy3, FITC, Cy7, Cy5.5, PE-Cy5, PE-Cy7, PerCp-Cy5.5, APC, Cy5, PE-Cy3, PE-Cy5.5, APC-Cy7, Biotin-APC, FITC-Biotin, TRITC, APC-Cy5, AF488, AF594, AF405, AF555, AF700, AF647, AF750 |
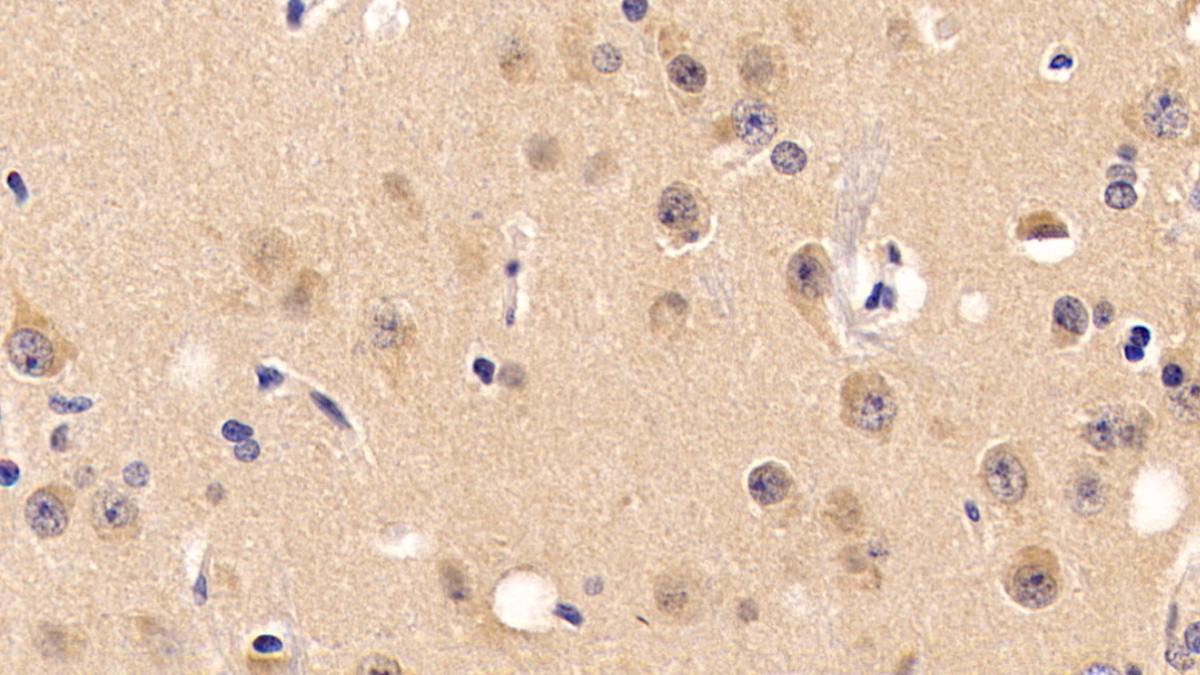
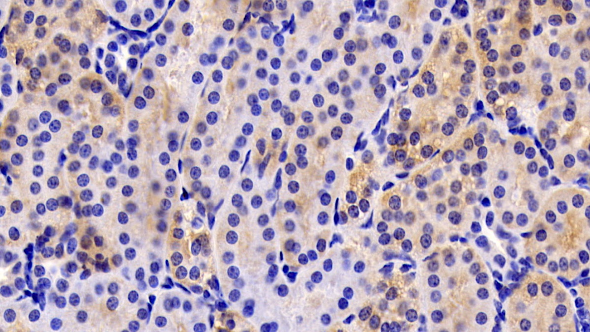
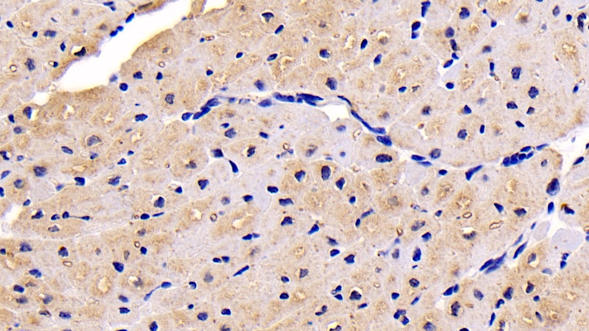
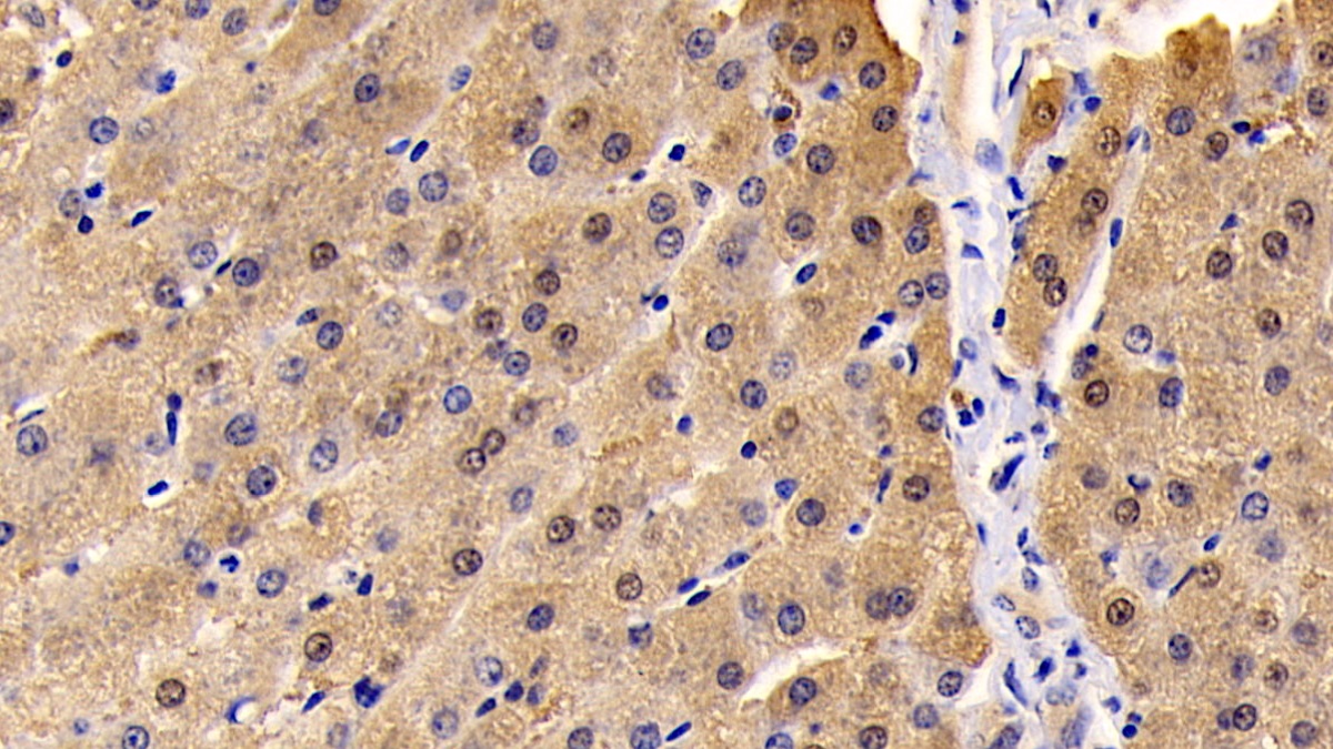
| Валидировано для | IHC Иммуногистохимия |
| Рекомендуемые разведения | WB: 0.5-3 мкг/мл; IHC: 5-30 мкг/мл; ICC: 5-30 мкг/мл; Оптимальное разведение определяется конечным потребителем |
| Метод очистки | Аффинная хроматография с белком А и белком G |
| Состав буфера | 0.01M PBS, pH7.4, 0.05% Proclin-300, 50% глицерин |
| Условия доставки | термобокс с аккумуляторами холода |
| Условия хранения | Сразу после получения аликвотировать и хранить при -20ºС до 24 месяцев. Для частого использования хранить при +4ºС не более 2 недель. Избегать повторения циклов замерзания/оттаивания |
| Срок хранения | 24 месяца |
| Производитель | Cloud-Clone Corp. |
| Ссылка на страницу товара на сайте производителя | http://www.cloud-clone.com/products/MAA692Hu21.html |
|
Артикул
|
Наименование |
Производитель
|
|---|
|
Артикул
|
Наименование |
Производитель
|
|---|
|
Артикул
|
Наименование |
Производитель
|
|---|
|
Артикул
|
Наименование |
Производитель
|
|---|
|
Артикул
|
Наименование |
Производитель
|
|---|
Акции и предложения
Популярные продукты:
ELISA Kit DIY Materials for Glycerol-3-Phosphate Acyltransferase, Mitochondrial (GPAM) (KSH983Hu01)
Организм: человек
Диапазон определения: 1.56-100 нг/мл
Чувствительность: 0.60 нг/мл
Диапазон определения: 1.56-100 нг/мл
Чувствительность: 0.60 нг/мл
ELISA Kit DIY Materials for Wingless Type MMTV Integration Site Family, Member 5B (WNT5B) (KSP122Hu01)
Организм: человек
Диапазон определения: 1.56-100 нг/мл
Чувствительность: 0.56 нг/мл
Диапазон определения: 1.56-100 нг/мл
Чувствительность: 0.56 нг/мл
Human Paired Box Gene 5 ELISA kit (E01P1023)
Организм: человек
Диапазон определения: 0.5-10 нг/мл
Чувствительность: 0.1 нг/мл
Диапазон определения: 0.5-10 нг/мл
Чувствительность: 0.1 нг/мл
Bovine Sirtuin 1 ELISA kit (E11S0444)
Организм: корова
Goat Lysozyme/Muramidase ELISA kit (E06L0068)
Организм: коза
Диапазон определения: 2.5-50 мкг/мл
Чувствительность: 0.1 мкг/мл
Диапазон определения: 2.5-50 мкг/мл
Чувствительность: 0.1 мкг/мл
Rat Heparan Sulphate Proteoglycan ELISA kit (E02H0130)
Организм: крыса

