| UNIPROT | P00790 |
| Иммуноген | RPA165Hu01-Recombinant Pepsinogen A (PGA) |
Monoclonal Antibody to Pepsinogen A (PGA) (MAA165Hu25)
Реактивность подтвержденная:
человек
Источник (хозяин):
мышь
Валидировано для:
FCM
IHC
WB
Характеристики
Техническое описание
| Русское название | MAA165Hu25 Моноклональное антитело к PGA (человек) <Cloud-Clone,Китай> |
| Каталожный номер | MAA165Hu25 |
| Название антигена | Pepsinogen A (PGA) |
| UNIPROT | P00790 |
| Иммуноген | RPA165Hu01-Recombinant Pepsinogen A (PGA) |
| Английские синонимы | PGA5, PG-A, Pepsinogen 5 Group I, Pepsinogen-5, Pepsin A-5 |
Реактивность подтвержденная Нужна другая реактивность? |
человек |
| Источник (хозяин) | мышь |
| Изотип | IgG1 Kappa |
| Клональность | моноклональное |
| Клон | C18 |
| Рекомбинантное | нет |
| Готовое к использованию | нет |
| Концентрация | 1 мг/мл |
| Конъюгат | По запросу: HRP, biotin, PerCP, PE, Cy3, FITC, Cy7, Cy5.5, PE-Cy5, PE-Cy7, PerCp-Cy5.5, APC, Cy5, PE-Cy3, PE-Cy5.5, APC-Cy7, Biotin-APC, FITC-Biotin, TRITC, APC-Cy5, AF488, AF594, AF405, AF555, AF700, AF647, AF750 |
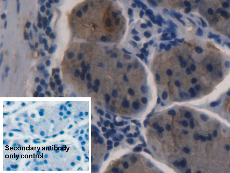
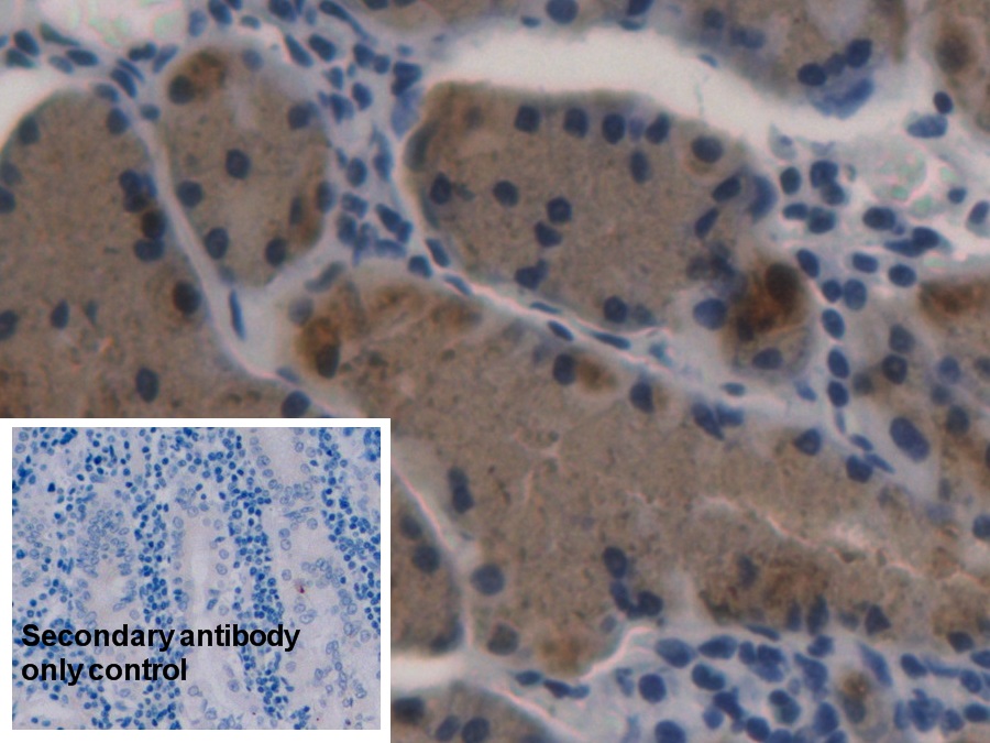
| Валидировано для | FCM IHC WB Проточная цитометрия; Иммуногистохимия; Вестерн-блоттинг |
| Рекомендуемые разведения | WB: 0.5-2 мкг/мл; IHC: 5-20 мкг/мл; ICC: 5-20 мкг/мл; FCM: 10 мкг/мл; Оптимальное разведение определяется конечным потребителем |
| Метод очистки | Аффинная хроматография с белком А и белком G |
| Состав буфера | 0.01M PBS, pH7.4, 0.05% Proclin-300, 50% глицерин |
| Условия доставки | термобокс с аккумуляторами холода |
| Условия хранения | Сразу после получения аликвотировать и хранить при -20ºС до 24 месяцев. Для частого использования хранить при +4ºС не более 2 недель. Избегать повторения циклов замерзания/оттаивания |
| Срок хранения | 24 месяца |
| Производитель | Cloud-Clone Corp. |
| Ссылка на страницу товара на сайте производителя | http://www.cloud-clone.com/products/MAA165Hu25.html |
|
Артикул
|
Наименование |
Производитель
|
|---|
|
Артикул
|
Наименование |
Производитель
|
|---|
|
Артикул
|
Наименование |
Производитель
|
|---|
Акции и предложения
Популярные продукты:
ELISA Kit DIY Materials for Neurogranin (NRGN) (KSA404Hu11)
Организм: человек
Диапазон определения: 39-10000 пг/мл
Чувствительность: 17 пг/мл
Диапазон определения: 39-10000 пг/мл
Чувствительность: 17 пг/мл
Recombinant Human TNNC1 Protein, N-His (YHF61101)
Источник (хозяин): E.coli
Организм: человек
Фрагмент: Met1-Glu161
Теги: N-His
Биоактивность: нет
Организм: человек
Фрагмент: Met1-Glu161
Теги: N-His
Биоактивность: нет
Vinculin Monoclonal Antibody (AN005300L)
Источник (хозяин): мышь
Реактивность подтвержденная: человек, мышь, крыса
Валидировано для: IF, IHC, WB
Реактивность подтвержденная: человек, мышь, крыса
Валидировано для: IF, IHC, WB
Elab Fluor® 488 Anti-Human CD41 Antibody[HIP8] (E-AB-F1088L)
Источник (хозяин): мышь
Реактивность подтвержденная: человек
Валидировано для: FCM
Реактивность подтвержденная: человек
Валидировано для: FCM

