| UNIPROT | P00747 |
| Иммуноген | RPB236Hu03-Recombinant Plasminogen (Plg) |
Monoclonal Antibody to Plasminogen (Plg) (MAB236Hu25)
Реактивность подтвержденная:
человек
Источник (хозяин):
мышь
Валидировано для:
IHC
WB
Характеристики
Техническое описание
| Русское название | MAB236Hu25 Моноклональное антитело к Plg (человек) <Cloud-Clone,Китай> |
| Каталожный номер | MAB236Hu25 |
| Название антигена | Plasminogen (Plg) |
| UNIPROT | P00747 |
| Иммуноген | RPB236Hu03-Recombinant Plasminogen (Plg) |
| Английские синонимы | PL, Plasmin, Activation peptide, Angiostatin |
Реактивность подтвержденная Нужна другая реактивность? |
человек |
| Реактивность предсказываемая | свинья |
| Источник (хозяин) | мышь |
| Изотип | IgG1 Kappa |
| Клональность | моноклональное |
| Клон | H1 |
| Рекомбинантное | нет |
| Готовое к использованию | нет |
| Концентрация | 1 мг/мл |
| Конъюгат | По запросу: HRP, biotin, PerCP, PE, Cy3, FITC, Cy7, Cy5.5, PE-Cy5, PE-Cy7, PerCp-Cy5.5, APC, Cy5, PE-Cy3, PE-Cy5.5, APC-Cy7, Biotin-APC, FITC-Biotin, TRITC, APC-Cy5, AF488, AF594, AF405, AF555, AF700, AF647, AF750 |
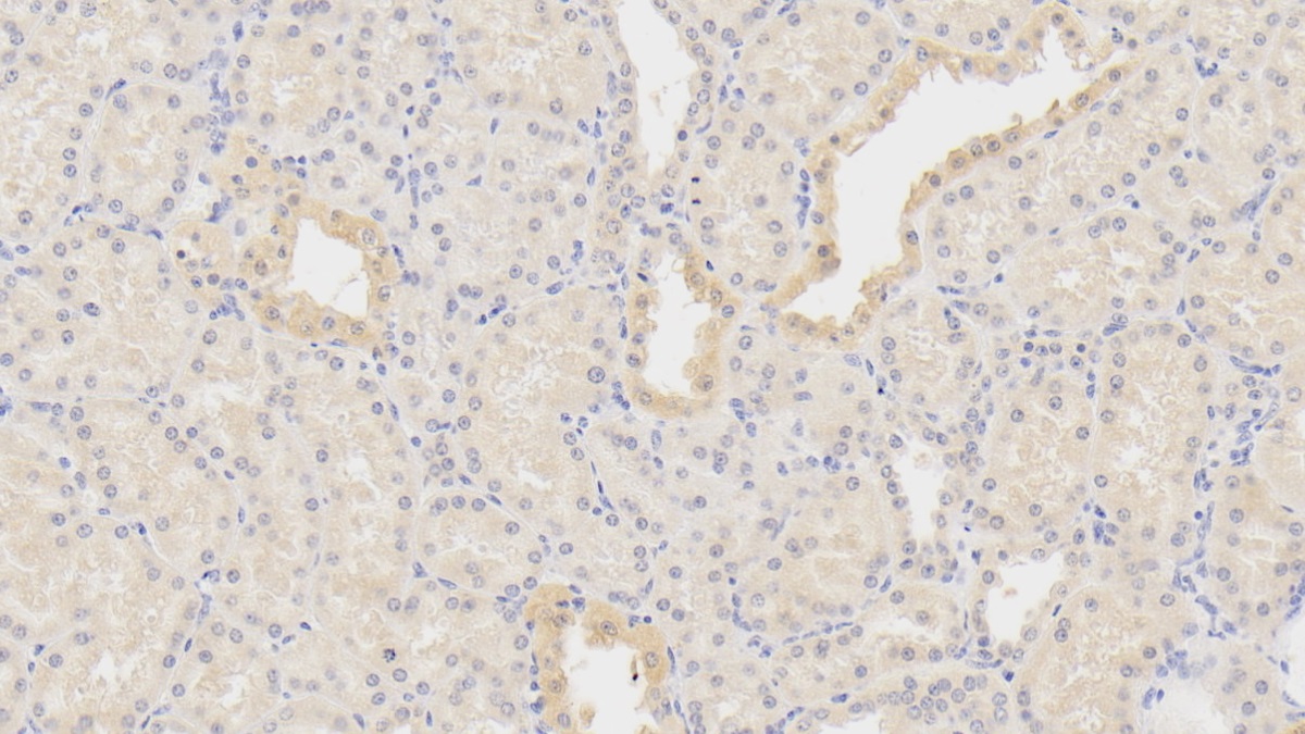
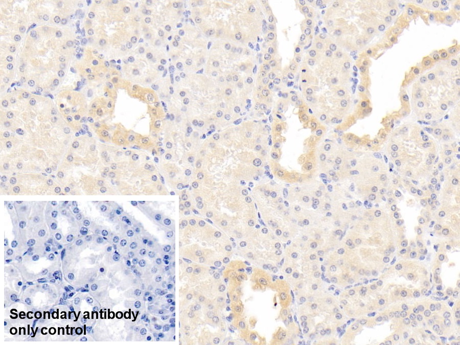
| Валидировано для | IHC WB Иммуногистохимия; Вестерн-блоттинг |
| Рекомендуемые разведения | WB: 0.5-2 мкг/мл; IHC: 5-20 мкг/мл; ICC: 5-20 мкг/мл; Оптимальное разведение определяется конечным потребителем |
| Метод очистки | Аффинная хроматография с белком А и белком G |
| Состав буфера | 0.01M PBS, pH7.4, 0.05% Proclin-300, 50% глицерин |
| Условия доставки | термобокс с аккумуляторами холода |
| Условия хранения | Сразу после получения аликвотировать и хранить при -20ºС до 24 месяцев. Для частого использования хранить при +4ºС не более 2 недель. Избегать повторения циклов замерзания/оттаивания |
| Срок хранения | 24 месяца |
| Производитель | Cloud-Clone Corp. |
| Ссылка на страницу товара на сайте производителя | http://www.cloud-clone.com/products/MAB236Hu25.html |
|
Артикул
|
Наименование |
Производитель
|
|---|
|
Артикул
|
Наименование |
Производитель
|
|---|
|
Артикул
|
Наименование |
Производитель
|
|---|
|
Артикул
|
Наименование |
Производитель
|
|---|
Акции и предложения
Популярные продукты:
Mouse Glycosylated Ferritin ELISA kit (E03G0017)
Организм: мышь
Porcine Condensin complex subunit 2(NCAPH) ELISA kit (E07C2357)
Организм: свинья
Bovine Condensin 2 complex subunit H2(NCAPH2) ELISA kit (E11C2358)
Организм: корова
Canine Triosephosphate isomerase(TPI1) ELISA kit (E08T0727)
Организм: собака
Guinea Pig Phosphatidylinositol Bisphosphate ELISA kit (E05P0009)
Организм: морская свинка
Bovine Diamine acetyltransferase 2(SAT2) ELISA kit (E11D0309)
Организм: корова

