| UNIPROT | Q9WTQ2 |
| Иммуноген | RPA768Ra01-Recombinant Podocalyxin (PODXL) |
Monoclonal Antibody to Podocalyxin (PODXL) (MAA768Ra21)
Реактивность подтвержденная:
крыса
Источник (хозяин):
мышь
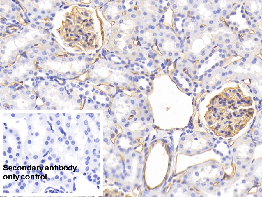
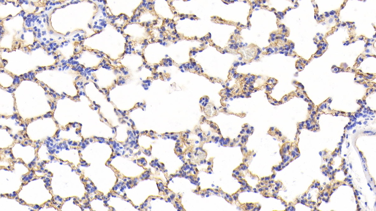
Валидировано для:
IHC
Характеристики
Техническое описание
| Русское название | MAA768Ra21 Моноклональное антитело к PODXL (крыса) <Cloud-Clone,Китай> |
| Каталожный номер | MAA768Ra21 |
| Название антигена | Podocalyxin (PCX) |
| UNIPROT | Q9WTQ2 |
| Иммуноген | RPA768Ra01-Recombinant Podocalyxin (PODXL) |
| Английские синонимы | Gp200, PCLP, PC, PODXL, Podocalyxin Like Protein 1, GCTM-2 antigen, TRA-1-60 |
Реактивность подтвержденная Нужна другая реактивность? |
крыса |
| Источник (хозяин) | мышь |
| Изотип | IgG2b Kappa |
| Клональность | моноклональное |
| Клон | C1 |
| Рекомбинантное | нет |
| Готовое к использованию | нет |
| Концентрация | 1 мг/мл |
| Конъюгат | По запросу: HRP, biotin, PerCP, PE, Cy3, FITC, Cy7, Cy5.5, PE-Cy5, PE-Cy7, PerCp-Cy5.5, APC, Cy5, PE-Cy3, PE-Cy5.5, APC-Cy7, Biotin-APC, FITC-Biotin, TRITC, APC-Cy5, AF488, AF594, AF405, AF555, AF700, AF647, AF750 |
| Валидировано для | IHC Иммуногистохимия |
| Рекомендуемые разведения | WB: 0.5-2 мкг/мл; IHC: 5-20 мкг/мл; ICC: 5-20 мкг/мл; Оптимальное разведение определяется конечным потребителем |
| Метод очистки | Аффинная хроматография с белком А и белком G |
| Состав буфера | 0.01M PBS, pH7.4, 0.05% Proclin-300, 50% глицерин |
| Условия доставки | термобокс с аккумуляторами холода |
| Условия хранения | Сразу после получения аликвотировать и хранить при -20ºС до 24 месяцев. Для частого использования хранить при +4ºС не более 2 недель. Избегать повторения циклов замерзания/оттаивания |
| Срок хранения | 24 месяца |
| Производитель | Cloud-Clone Corp. |
| Ссылка на страницу товара на сайте производителя | http://www.cloud-clone.com/products/MAA768Ra21.html |
|
Артикул
|
Наименование |
Производитель
|
|---|
|
Артикул
|
Наименование |
Производитель
|
|---|
|
Артикул
|
Наименование |
Производитель
|
|---|
|
Артикул
|
Наименование |
Производитель
|
|---|
Акции и предложения
Популярные продукты:
Rat 14-3-3 protein gamma(YWHAG) ELISA kit (E02Y0006)
Организм: крыса
Guinea Pig Alanyl tRNA synthetase, cytoplasmic(AARS) ELISA kit (E05A1121)
Организм: морская свинка
Guinea Pig Bestrophin 1(BEST1) ELISA kit (E05B0789)
Организм: морская свинка
Porcine Golgi Protein 73 ELISA kit (E07G0001)
Организм: свинья
Anti-Human CASR Nanobody (SAA1046) (RHE29701)
Источник (хозяин): альпака
Реактивность подтвержденная: человек
Валидировано для: ELISA
Реактивность подтвержденная: человек
Валидировано для: ELISA
Anti-Phospho-Tyrosine Antibody (R3Z20) (RGK60105)
Источник (хозяин): мышь
Реактивность подтвержденная: для всех
Валидировано для: IHC, WB
Реактивность подтвержденная: для всех
Валидировано для: IHC, WB

