| UNIPROT | P12004 |
| Иммуноген | RPA591Hu01-Recombinant Proliferating Cell Nuclear Antigen (PCNA) |
Monoclonal Antibody to Proliferating Cell Nuclear Antigen (PCNA) (MAA591Hu21)
Реактивность подтвержденная:
человек
Источник (хозяин):
мышь
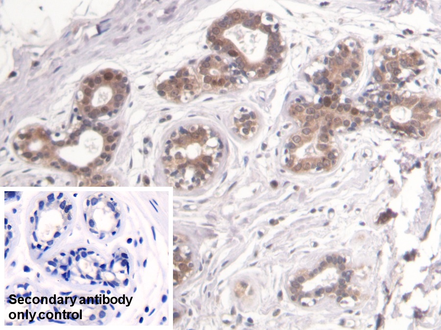
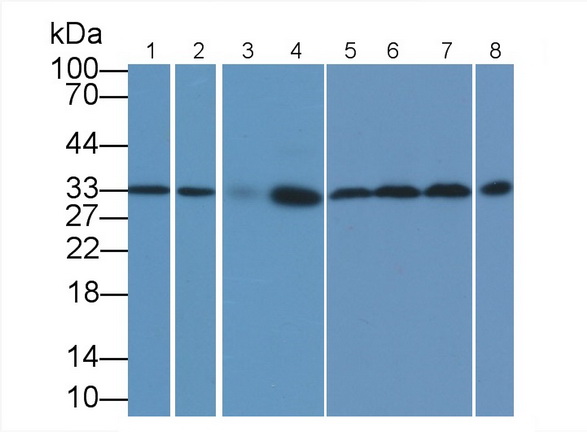
Валидировано для:
IHC
WB
Характеристики
Техническое описание
| Русское название | MAA591Hu21 Моноклональное антитело к PCNA (человек) <Cloud-Clone,Китай> |
| Каталожный номер | MAA591Hu21 |
| Название антигена | Proliferating Cell Nuclear Antigen (PCNA) |
| UNIPROT | P12004 |
| Иммуноген | RPA591Hu01-Recombinant Proliferating Cell Nuclear Antigen (PCNA) |
| Английские синонимы | Cyclin |
Реактивность подтвержденная Нужна другая реактивность? |
человек |
| Реактивность предсказываемая | морская свинка, свинья, корова, коза, овца, лошадь |
| Источник (хозяин) | мышь |
| Изотип | IgG1 Kappa |
| Клональность | моноклональное |
| Клон | C3 |
| Рекомбинантное | нет |
| Готовое к использованию | нет |
| Концентрация | 1 мг/мл |
| Конъюгат | По запросу: HRP, biotin, PerCP, PE, Cy3, FITC, Cy7, Cy5.5, PE-Cy5, PE-Cy7, PerCp-Cy5.5, APC, Cy5, PE-Cy3, PE-Cy5.5, APC-Cy7, Biotin-APC, FITC-Biotin, TRITC, APC-Cy5, AF488, AF594, AF405, AF555, AF700, AF647, AF750 |
| Валидировано для | IHC WB Иммуногистохимия; Вестерн-блоттинг |
| Рекомендуемые разведения | WB: 0.01-2 мкг/мл; IHC: 5-20 мкг/мл; ICC: 5-20 мкг/мл; Оптимальное разведение определяется конечным потребителем |
| Метод очистки | Аффинная хроматография с белком А и белком G |
| Состав буфера | PBS, pH7.4, 0.02% NaN3, 50% глицерин |
| Условия доставки | термобокс с аккумуляторами холода |
| Условия хранения | Сразу после получения аликвотировать и хранить при -20ºС до 24 месяцев. Для частого использования хранить при +4ºС не более 2 недель. Избегать повторения циклов замерзания/оттаивания |
| Срок хранения | 24 месяца |
| Производитель | Cloud-Clone Corp. |
| Ссылка на страницу товара на сайте производителя | http://www.cloud-clone.com/products/MAA591Hu21.html |
|
Артикул
|
Наименование |
Производитель
|
|---|
|
Артикул
|
Наименование |
Производитель
|
|---|
|
Артикул
|
Наименование |
Производитель
|
|---|
|
Артикул
|
Наименование |
Производитель
|
|---|
|
Артикул
|
Наименование |
Производитель
|
|---|
|
Артикул
|
Наименование |
Производитель
|
|---|
|
Артикул
|
Наименование |
Производитель
|
|---|
|
Артикул
|
Наименование |
Производитель
|
|---|
|
Артикул
|
Наименование |
Производитель
|
|---|
|
Артикул
|
Наименование |
Производитель
|
|---|
|
Артикул
|
Наименование |
Производитель
|
|---|
|
Артикул
|
Наименование |
Производитель
|
|---|
|
Артикул
|
Наименование |
Производитель
|
|---|
Акции и предложения
Популярные продукты:
Recombinant Human LR3-IGF-1 Protein (MG) (PKSH032712)
Источник (хозяин): E.coli
Организм: человек
Фрагмент: Gly49-Ala118
Теги: без тега
Биоактивность: нет
Организм: человек
Фрагмент: Gly49-Ala118
Теги: без тега
Биоактивность: нет
Recombinant SARS-CoV-2 RBD (B.1.427/B.1.429) Protein, C-His (EVV00309)
Источник (хозяин): клетки млекопитающих
Организм: вирусы
Фрагмент: Arg319-Phe541
Теги: C-His
Биоактивность: нет
Организм: вирусы
Фрагмент: Arg319-Phe541
Теги: C-His
Биоактивность: нет
Albumin Polyclonal Antibody (E-AB-68306)
Источник (хозяин): кролик
Реактивность подтвержденная: человек, мышь, крыса
Валидировано для: IF, WB
Реактивность подтвержденная: человек, мышь, крыса
Валидировано для: IF, WB
Cyclophilin B antibody (BF0717)
Источник (хозяин): мышь
Реактивность подтвержденная: человек, мышь, крыса
Валидировано для: IHC, WB
Реактивность подтвержденная: человек, мышь, крыса
Валидировано для: IHC, WB
Recombinant Crk Like Protein (CRKL) (RPG766Mu02)
Источник (хозяин): E.coli
Организм: мышь
Теги: N-концевой His-Tag
Биоактивность: нет
Организм: мышь
Теги: N-концевой His-Tag
Биоактивность: нет
HRP-Linked Monoclonal Antibody to FMS Like Tyrosine Kinase 3 Ligand (Flt3L) (LAA038Hu94)
Источник (хозяин): мышь
Реактивность подтвержденная: человек
Валидировано для: WB
Реактивность подтвержденная: человек
Валидировано для: WB

