| UNIPROT | Q99P87 |
| Иммуноген | RPA847Mu01-Recombinant Resistin (RETN) |
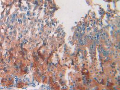
Monoclonal Antibody to Resistin (RETN) (MAA847Mu21)
Реактивность подтвержденная:
мышь
Источник (хозяин):
мышь
Валидировано для:
IHC
Характеристики
Техническое описание
| Русское название | MAA847Mu21 Моноклональное антитело к RETN (мышь) <Cloud-Clone,Китай> |
| Каталожный номер | MAA847Mu21 |
| Название антигена | Resistin (RETN) |
| UNIPROT | Q99P87 |
| Иммуноген | RPA847Mu01-Recombinant Resistin (RETN) |
| Английские синонимы | ADSF, FIZZ3, RETN1, RSTN, XCP1, Adipose tissue-specific secretory factor, C/EBP-epsilon-regulated myeloid-specific secreted cysteine-rich protein, Cysteine-rich secreted FIZZ3 |
Реактивность подтвержденная Нужна другая реактивность? |
мышь |
| Источник (хозяин) | мышь |
| Изотип | IgG2b Kappa |
| Клональность | моноклональное |
| Клон | C1 |
| Рекомбинантное | нет |
| Готовое к использованию | нет |
| Концентрация | 1 мг/мл |
| Конъюгат | По запросу: HRP, biotin, PerCP, PE, Cy3, FITC, Cy7, Cy5.5, PE-Cy5, PE-Cy7, PerCp-Cy5.5, APC, Cy5, PE-Cy3, PE-Cy5.5, APC-Cy7, Biotin-APC, FITC-Biotin, TRITC, APC-Cy5, AF488, AF594, AF405, AF555, AF700, AF647, AF750 |
| Валидировано для | IHC Иммуногистохимия |
| Рекомендуемые разведения | WB: 0.01-2 мкг/мл; IHC: 5-20 мкг/мл; ICC: 5-20 мкг/мл; Оптимальное разведение определяется конечным потребителем |
| Метод очистки | Аффинная хроматография с белком А и белком G |
| Состав буфера | PBS, pH7.4, 0.02% NaN3, 50% глицерин |
| Условия доставки | термобокс с аккумуляторами холода |
| Условия хранения | Сразу после получения аликвотировать и хранить при -20ºС до 24 месяцев. Для частого использования хранить при +4ºС не более 2 недель. Избегать повторения циклов замерзания/оттаивания |
| Срок хранения | 24 месяца |
| Производитель | Cloud-Clone Corp. |
| Ссылка на страницу товара на сайте производителя | http://www.cloud-clone.com/products/MAA847Mu21.html |
|
Артикул
|
Наименование |
Производитель
|
|---|
|
Артикул
|
Наименование |
Производитель
|
|---|
|
Артикул
|
Наименование |
Производитель
|
|---|
|
Артикул
|
Наименование |
Производитель
|
|---|
|
Артикул
|
Наименование |
Производитель
|
|---|
|
Артикул
|
Наименование |
Производитель
|
|---|
|
Артикул
|
Наименование |
Производитель
|
|---|
Акции и предложения
Популярные продукты:
Canine Pentraxin3/TSG14 ELISA kit (E08P0112)
Организм: собака
Диапазон определения: 1-25 нг/мл
Чувствительность: 0.1 нг/мл
Диапазон определения: 1-25 нг/мл
Чувствительность: 0.1 нг/мл
Goat SET domain containing 2 ELISA kit (E06S0857)
Организм: коза
Human Adenylosuccinate lyase(ADSL) ELISA kit (E01A1290)
Организм: человек
Диапазон определения: 0.5-10 нг/мл
Чувствительность: 0.1 нг/мл
Диапазон определения: 0.5-10 нг/мл
Чувствительность: 0.1 нг/мл
Human Alkaline ceramidase 1(ACER1) ELISA kit (E01A1188)
Организм: человек
Диапазон определения: 100-2500 пг/мл
Чувствительность: 1 пг/мл
Диапазон определения: 100-2500 пг/мл
Чувствительность: 1 пг/мл
Sheep Glucosidase Alpha, Neutral C ELISA kit (E14G0582)
Организм: овца
Goat Glucosidase Alpha, Neutral C ELISA kit (E06G0582)
Организм: коза

