| UNIPROT | Q99P87 |
| Иммуноген | RPA847Mu01-Recombinant Resistin (RETN) |
Monoclonal Antibody to Resistin (RETN) (MAA847Mu25)
Реактивность подтвержденная:
мышь
Источник (хозяин):
мышь
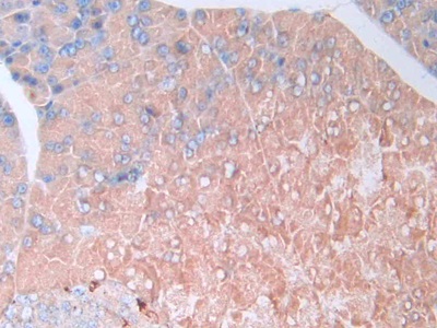
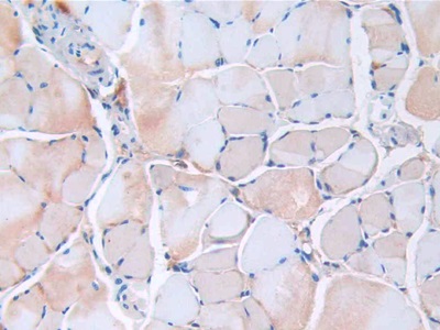
Валидировано для:
IHC
Характеристики
Техническое описание
| Русское название | MAA847Mu25 Моноклональное антитело к RETN (мышь) <Cloud-Clone,Китай> |
| Каталожный номер | MAA847Mu25 |
| Название антигена | Resistin (RETN) |
| UNIPROT | Q99P87 |
| Иммуноген | RPA847Mu01-Recombinant Resistin (RETN) |
| Английские синонимы | ADSF, FIZZ3, RETN1, RSTN, XCP1, Adipose tissue-specific secretory factor, C/EBP-epsilon-regulated myeloid-specific secreted cysteine-rich protein, Cysteine-rich secreted FIZZ3 |
Реактивность подтвержденная Нужна другая реактивность? |
мышь |
| Источник (хозяин) | мышь |
| Изотип | IgG2b Kappa |
| Клональность | моноклональное |
| Клон | C4 |
| Рекомбинантное | нет |
| Готовое к использованию | нет |
| Концентрация | 1 мг/мл |
| Конъюгат | По запросу: HRP, biotin, PerCP, PE, Cy3, FITC, Cy7, Cy5.5, PE-Cy5, PE-Cy7, PerCp-Cy5.5, APC, Cy5, PE-Cy3, PE-Cy5.5, APC-Cy7, Biotin-APC, FITC-Biotin, TRITC, APC-Cy5, AF488, AF594, AF405, AF555, AF700, AF647, AF750 |
| Валидировано для | IHC Иммуногистохимия |
| Рекомендуемые разведения | WB: 0.5-2 мкг/мл; IHC: 5-20 мкг/мл; ICC: 5-20 мкг/мл; Оптимальное разведение определяется конечным потребителем |
| Метод очистки | Аффинная хроматография с белком А и белком G |
| Состав буфера | 0.01M PBS, pH7.4, 0.05% Proclin-300, 50% глицерин |
| Условия доставки | термобокс с аккумуляторами холода |
| Условия хранения | Сразу после получения аликвотировать и хранить при -20ºС до 24 месяцев. Для частого использования хранить при +4ºС не более 2 недель. Избегать повторения циклов замерзания/оттаивания |
| Срок хранения | 24 месяца |
| Производитель | Cloud-Clone Corp. |
| Ссылка на страницу товара на сайте производителя | http://www.cloud-clone.com/products/MAA847Mu25.html |
|
Артикул
|
Наименование |
Производитель
|
|---|
|
Артикул
|
Наименование |
Производитель
|
|---|
|
Артикул
|
Наименование |
Производитель
|
|---|
|
Артикул
|
Наименование |
Производитель
|
|---|
|
Артикул
|
Наименование |
Производитель
|
|---|
|
Артикул
|
Наименование |
Производитель
|
|---|
|
Артикул
|
Наименование |
Производитель
|
|---|
Акции и предложения
Популярные продукты:
OR56B4 Mouse Monoclonal Antibody (BF8521)
Источник (хозяин): мышь
Реактивность подтвержденная: человек, мышь
Валидировано для: ICC, IF, WB
Реактивность подтвержденная: человек, мышь
Валидировано для: ICC, IF, WB
Phospho-Synaptotagmin 1/2 (Ser309) Mouse Monoclonal Antibody (BF8567)
Источник (хозяин): мышь
Реактивность подтвержденная: человек, мышь, крыса
Валидировано для: WB
Реактивность подтвержденная: человек, мышь, крыса
Валидировано для: WB
Porcine Serpin B10(SERPINB10) ELISA kit (E07S0360)
Организм: свинья
Bovine Cathepsin Z(CTSZ) ELISA kit (E11C2171)
Организм: корова
Диапазон определения: 0.5-10 нг/мл
Чувствительность: 0.1 нг/мл
Диапазон определения: 0.5-10 нг/мл
Чувствительность: 0.1 нг/мл
Sheep Dual oxidase 1(DUOX1) ELISA kit (E14D0296)
Организм: овца
Chicken Dual oxidase 1(DUOX1) ELISA kit (E12D0296)
Организм: курица

