| UNIPROT | P10153 |
| Иммуноген | RPD169Hu01-Recombinant Ribonuclease A2 (RNASE2) |
Monoclonal Antibody to Ribonuclease A2 (RNASE2) (MAD169Hu21)
Реактивность подтвержденная:
человек
Источник (хозяин):
мышь
Валидировано для:
IHC
WB
Характеристики
Техническое описание
| Русское название | MAD169Hu21 Моноклональное антитело к RNASE2 (человек) <Cloud-Clone,Китай> |
| Каталожный номер | MAD169Hu21 |
| Название антигена | Ribonuclease A2 (RNASE2) |
| UNIPROT | P10153 |
| Иммуноген | RPD169Hu01-Recombinant Ribonuclease A2 (RNASE2) |
| Английские синонимы | Rnase-A2, Rnase2, EDN, Ribonuclease US, Ribonuclease,RNase A Family,2, Liver,Eosinophil-Derived Neurotoxin, MNon-secretory ribonuclease |
| Русские синонимы | РНКаза А2 |
Реактивность подтвержденная Нужна другая реактивность? |
человек |
| Источник (хозяин) | мышь |
| Изотип | IgG2a Kappa |
| Клональность | моноклональное |
| Клон | C13 |
| Рекомбинантное | нет |
| Готовое к использованию | нет |
| Концентрация | 1 мг/мл |
| Конъюгат | По запросу: HRP, biotin, PerCP, PE, Cy3, FITC, Cy7, Cy5.5, PE-Cy5, PE-Cy7, PerCp-Cy5.5, APC, Cy5, PE-Cy3, PE-Cy5.5, APC-Cy7, Biotin-APC, FITC-Biotin, TRITC, APC-Cy5, AF488, AF594, AF405, AF555, AF700, AF647, AF750 |
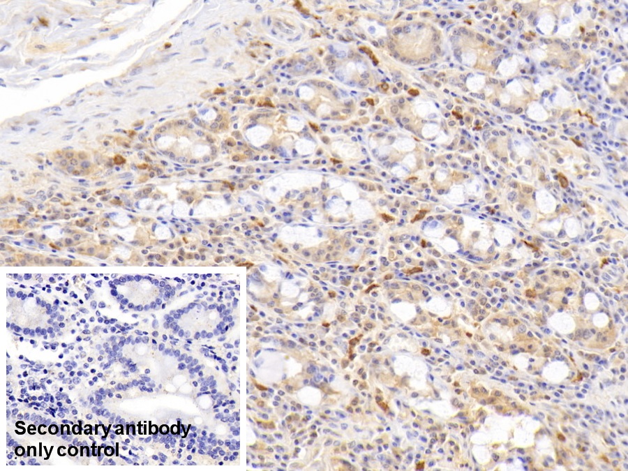
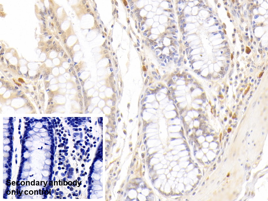
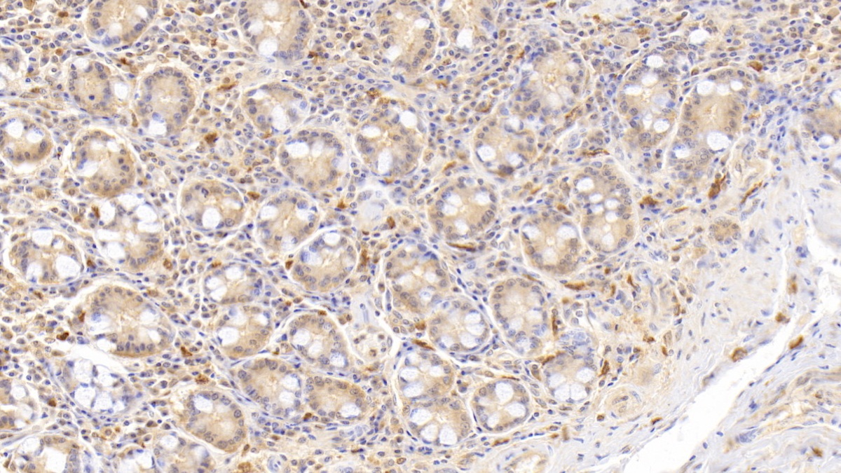
| Валидировано для | IHC WB Иммуногистохимия; Вестерн-блоттинг |
| Рекомендуемые разведения | WB: 0.01-2 мкг/мл; IHC: 5-20 мкг/мл; Оптимальное разведение определяется конечным потребителем |
| Метод очистки | Аффинная хроматография с белком А и белком G |
| Состав буфера | 0.01M PBS, pH7.4, 0.05% Proclin-300, 50% глицерин |
| Условия доставки | термобокс с аккумуляторами холода |
| Условия хранения | Сразу после получения аликвотировать и хранить при -20ºС до 24 месяцев. Для частого использования хранить при +4ºС не более 2 недель. Избегать повторения циклов замерзания/оттаивания |
| Срок хранения | 24 месяца |
| Производитель | Cloud-Clone Corp. |
| Ссылка на страницу товара на сайте производителя | http://www.cloud-clone.com/products/MAD169Hu21.html |
|
Артикул
|
Наименование |
Производитель
|
|---|
|
Артикул
|
Наименование |
Производитель
|
|---|
|
Артикул
|
Наименование |
Производитель
|
|---|
|
Артикул
|
Наименование |
Производитель
|
|---|
Акции и предложения
Популярные продукты:
ELISA Kit for Erythropoietin (EPO) (SEA028Ra)
Организм: крыса
Диапазон определения: 93.75-6000 пг/мл
Чувствительность: 33.59 пг/мл
Диапазон определения: 93.75-6000 пг/мл
Чувствительность: 33.59 пг/мл
Anti-Mycoplasma hyopneumoniae p97 Polyclonal Antibody (PXX27801)
Источник (хозяин): кролик
Реактивность подтвержденная: бактерии
Валидировано для: ELISA, IHC, WB
Реактивность подтвержденная: бактерии
Валидировано для: ELISA, IHC, WB
Anti-Monkey CD3E Antibody (Fs0316), PE (FWC27723)
Источник (хозяин): мышь
Реактивность подтвержденная: обезьяна
Валидировано для: ELISA, FCM
Реактивность подтвержденная: обезьяна
Валидировано для: ELISA, FCM
Anti-HPIV-3 NP/Nucleoprotein Polyclonal Antibody (PVV42402)
Источник (хозяин): кролик
Реактивность подтвержденная: вирусы
Валидировано для: ELISA, WB
Реактивность подтвержденная: вирусы
Валидировано для: ELISA, WB
Dupilumab ELISA Kit-SS (KDD62603)
Организм: человек
Диапазон определения: 78.13 - 5,000 пг/мл
Чувствительность: 28.01 пг/мл
Диапазон определения: 78.13 - 5,000 пг/мл
Чувствительность: 28.01 пг/мл
ELISA Kit DIY Materials for Interleukin 17D (IL17D) (KSD346Hu01)
Организм: человек
Диапазон определения: 7.8-500 пг/мл
Чувствительность: 2.8 пг/мл
Диапазон определения: 7.8-500 пг/мл
Чувствительность: 2.8 пг/мл

