| UNIPROT | P04745 |
| Иммуноген | RPB482Hu01-Recombinant Salivary Alpha Amylase (AMY1A) |
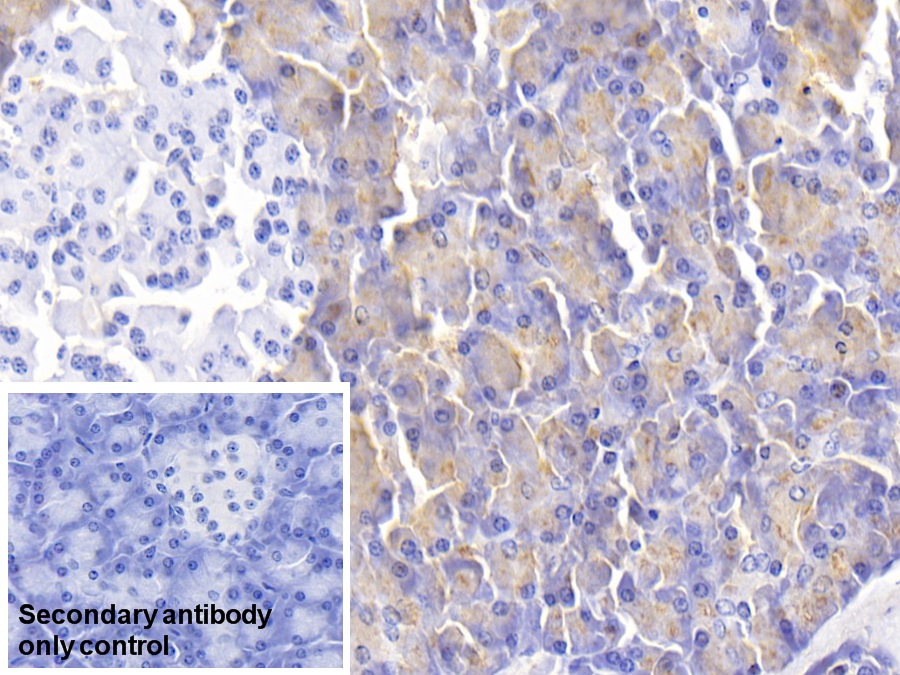
Monoclonal Antibody to Salivary Alpha Amylase (AMY1A) (MAB482Hu24)
Реактивность подтвержденная:
человек
Источник (хозяин):
мышь
Валидировано для:
IHC
WB
Характеристики
Техническое описание
| Русское название | MAB482Hu24 Моноклональное антитело к AMY1A (человек) <Cloud-Clone,Китай> |
| Каталожный номер | MAB482Hu24 |
| Название антигена | Amylase Alpha 1, Salivary (AMY1) |
| UNIPROT | P04745 |
| Иммуноген | RPB482Hu01-Recombinant Salivary Alpha Amylase (AMY1A) |
| Английские синонимы | AMY1A, AMY1B, AMY1C, Ptyalin, 1,4-alpha-D-glucan glucanohydrolase 1 |
Реактивность подтвержденная Нужна другая реактивность? |
человек |
| Реактивность предсказываемая | мышь, крыса, свинья |
| Источник (хозяин) | мышь |
| Изотип | IgG1 Kappa |
| Клональность | моноклональное |
| Клон | C3 |
| Рекомбинантное | нет |
| Готовое к использованию | нет |
| Концентрация | 1 мг/мл |
| Конъюгат | По запросу: HRP, biotin, PerCP, PE, Cy3, FITC, Cy7, Cy5.5, PE-Cy5, PE-Cy7, PerCp-Cy5.5, APC, Cy5, PE-Cy3, PE-Cy5.5, APC-Cy7, Biotin-APC, FITC-Biotin, TRITC, APC-Cy5, AF488, AF594, AF405, AF555, AF700, AF647, AF750 |
| Валидировано для | IHC WB Иммуногистохимия; Вестерн-блоттинг |
| Рекомендуемые разведения | WB: 0.01-2 мкг/мл; IHC: 5-20 мкг/мл; Оптимальное разведение определяется конечным потребителем |
| Метод очистки | Аффинная хроматография с белком А и белком G |
| Состав буфера | 0.01M PBS, pH7.4, 0.05% Proclin-300, 50% глицерин |
| Условия доставки | термобокс с аккумуляторами холода |
| Условия хранения | Сразу после получения аликвотировать и хранить при -20ºС до 24 месяцев. Для частого использования хранить при +4ºС не более 2 недель. Избегать повторения циклов замерзания/оттаивания |
| Срок хранения | 24 месяца |
| Производитель | Cloud-Clone Corp. |
| Ссылка на страницу товара на сайте производителя | http://www.cloud-clone.com/products/MAB482Hu24.html |
|
Артикул
|
Наименование |
Производитель
|
|---|
|
Артикул
|
Наименование |
Производитель
|
|---|
|
Артикул
|
Наименование |
Производитель
|
|---|
|
Артикул
|
Наименование |
Производитель
|
|---|
|
Артикул
|
Наименование |
Производитель
|
|---|
|
Артикул
|
Наименование |
Производитель
|
|---|
Акции и предложения
Популярные продукты:
Chicken Hedgehog Homolog, Sonic ELISA kit (E12S0104)
Организм: курица
Anti-COQ10B Polyclonal Antibody (PHK03701)
Источник (хозяин): кролик
Реактивность подтвержденная: человек, мышь, крыса
Валидировано для: ELISA, IHC, WB
Реактивность подтвержденная: человек, мышь, крыса
Валидировано для: ELISA, IHC, WB
Monoclonal Antibody to Salivary Alpha Amylase (AMY1A) (MAB482Hu24)
Источник (хозяин): мышь
Реактивность подтвержденная: человек
Валидировано для: IHC, WB
Реактивность подтвержденная: человек
Валидировано для: IHC, WB
Monoclonal Antibody to Salivary Alpha Amylase (AMY1A) (MAB482Hu23)
Источник (хозяин): мышь
Реактивность подтвержденная: человек
Валидировано для: IHC, WB
Реактивность подтвержденная: человек
Валидировано для: IHC, WB
Monoclonal Antibody to Salivary Alpha Amylase (AMY1A) (MAB482Hu22)
Источник (хозяин): мышь
Реактивность подтвержденная: человек
Валидировано для: WB
Реактивность подтвержденная: человек
Валидировано для: WB
Polyclonal Antibody to Peptidoglycan Recognition Protein 1 (PGLYRP1) (PAD937Mu01)
Источник (хозяин): кролик
Реактивность подтвержденная: мышь
Валидировано для: WB
Реактивность подтвержденная: мышь
Валидировано для: WB

